Suppr超能文献

小鼠中的博尔纳病病毒:疾病表现的宿主特异性差异。

Borna disease virus in mice: host-specific differences in disease expression.

作者信息

Rubin S A, Waltrip R W, Bautista J R, Carbone K M

机构信息

Department of Medicine, Johns Hopkins University School of Medicine, Baltimore, Maryland 21205.

出版信息

J Virol. 1993 Jan;67(1):548-52. doi: 10.1128/JVI.67.1.548-552.1993.

Abstract

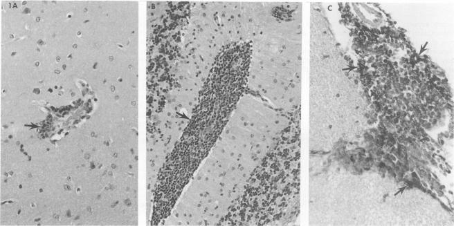
We developed a mouse model of Borna disease to facilitate immunopathogenesis research by adaptation of Borna disease virus to mice through serial passage in mouse brain tissue. Borna disease virus replication, antibody production, inflammation, and Borna disease expression in several different strains of mice were examined.

摘要

我们通过在小鼠脑组织中连续传代,使博尔纳病病毒适应小鼠,从而建立了一种博尔纳病小鼠模型,以促进免疫发病机制的研究。我们检测了几种不同品系小鼠体内博尔纳病病毒的复制、抗体产生、炎症反应以及博尔纳病的表现。

https://cdn.ncbi.nlm.nih.gov/pmc/blobs/7795/237392/e4d8efb049d9/jvirol00022-0573-a.jpg

文献AI研究员

20分钟写一篇综述,助力文献阅读效率提升50倍。

立即体验

用中文搜PubMed

大模型驱动的PubMed中文搜索引擎

马上搜索

文档翻译

学术文献翻译模型,支持多种主流文档格式。

立即体验