Suppr超能文献

高血糖浓度在体外上调VI型胶原蛋白的表达。与糖尿病外周神经改变的相关性。

Hyperglycemic glucose concentrations up-regulate the expression of type VI collagen in vitro. Relevance to alterations of peripheral nerves in diabetes mellitus.

作者信息

Muona P, Jaakkola S, Zhang R Z, Pan T C, Pelliniemi L, Risteli L, Chu M L, Uitto J, Peltonen J

机构信息

Department of Medical Biochemistry, University of Turku, Finland.

出版信息

Am J Pathol. 1993 May;142(5):1586-97.

Abstract

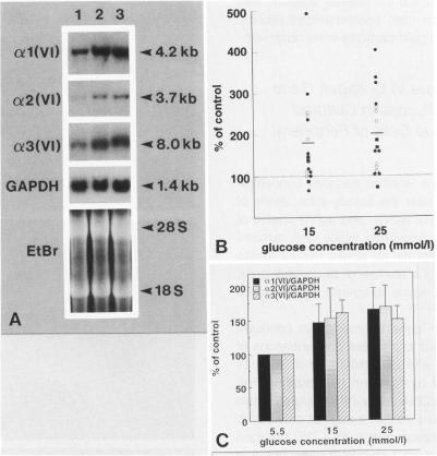
Electron microscopy of peripheral nerves obtained from two diabetic patients revealed large deposits of microfibrils and the presence of Luse bodies in the vicinity of perineurial cells. Microfibrils were found to accumulate also in the sciatic nerves of diabetic BB rats; these microfibrillar deposits were shown to contain type VI collagen by immunoelectron microscopy. Connective tissue cells cultured from rat sciatic nerves were exposed to high glucose concentrations. High glucose concentrations up-regulated the mRNA steady-state levels of alpha 1(VI), alpha 2(VI), and alpha 3(VI) chains of type VI collagen and caused accumulation of type VI collagen-containing fibrils in the cultures. Immunostaining and in situ hybridizations demonstrated that perineurial cells, Schwann cells, and fibroblasts expressed type VI collagen at the mRNA and protein levels. The results suggest that the turnover and supramolecular assembly of type VI collagen are perturbed in diabetic nerves and that glucose per se increases the expression of type VI collagen in vitro.

摘要

对两名糖尿病患者的外周神经进行电子显微镜检查发现,在神经束膜细胞附近有大量微原纤维沉积以及Luse小体的存在。在糖尿病BB大鼠的坐骨神经中也发现微原纤维有积累;免疫电子显微镜显示这些微原纤维沉积物含有VI型胶原。将从大鼠坐骨神经培养的结缔组织细胞暴露于高葡萄糖浓度下。高葡萄糖浓度上调了VI型胶原α1(VI)、α2(VI)和α3(VI)链的mRNA稳态水平,并导致培养物中含VI型胶原的原纤维积累。免疫染色和原位杂交表明,神经束膜细胞、雪旺细胞和成纤维细胞在mRNA和蛋白质水平上表达VI型胶原。结果表明,糖尿病神经中VI型胶原的周转和超分子组装受到干扰,并且葡萄糖本身在体外增加了VI型胶原的表达。

https://cdn.ncbi.nlm.nih.gov/pmc/blobs/0370/1886917/4dc6350ce275/amjpathol00077-0264-a.jpg

文献检索

告别复杂PubMed语法,用中文像聊天一样搜索,搜遍4000万医学文献。AI智能推荐,让科研检索更轻松。

立即免费搜索

文件翻译

保留排版,准确专业,支持PDF/Word/PPT等文件格式,支持 12+语言互译。

免费翻译文档

深度研究

AI帮你快速写综述,25分钟生成高质量综述,智能提取关键信息,辅助科研写作。

立即免费体验