• 文献检索
  • 文档翻译
  • 深度研究
  • 学术资讯
  • Suppr Zotero 插件Zotero 插件
  • 邀请有礼
  • 套餐&价格
  • 历史记录
应用&插件
Suppr Zotero 插件Zotero 插件浏览器插件Mac 客户端Windows 客户端微信小程序
定价
高级版会员购买积分包购买API积分包
服务
文献检索文档翻译深度研究API 文档MCP 服务
关于我们
关于 Suppr公司介绍联系我们用户协议隐私条款
关注我们

Suppr 超能文献

核心技术专利:CN118964589B侵权必究
粤ICP备2023148730 号-1Suppr @ 2026

文献检索

告别复杂PubMed语法,用中文像聊天一样搜索,搜遍4000万医学文献。AI智能推荐,让科研检索更轻松。

立即免费搜索

文件翻译

保留排版,准确专业,支持PDF/Word/PPT等文件格式,支持 12+语言互译。

免费翻译文档

深度研究

AI帮你快速写综述,25分钟生成高质量综述,智能提取关键信息,辅助科研写作。

立即免费体验

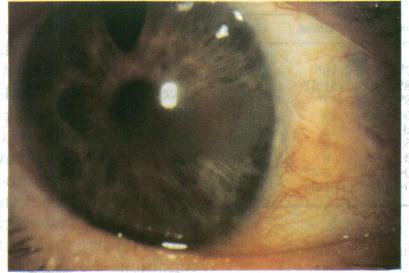
Primary lipid keratopathy: a morphological and biochemical assessment.

作者信息

Silva-Araújo A, Tavares M A, Lemos M M, Soares M I, Castro-Correia J, Salgado-Borges J

机构信息

Department of Ophthalmology, Medical School of Porto/Hospital, São João, Portugal.

出版信息

Br J Ophthalmol. 1993 Apr;77(4):248-50. doi: 10.1136/bjo.77.4.248.

DOI:10.1136/bjo.77.4.248
PMID:8494863
原文链接:https://pmc.ncbi.nlm.nih.gov/articles/PMC504491/
Abstract
摘要
https://cdn.ncbi.nlm.nih.gov/pmc/blobs/fcad/504491/e41557fe1156/brjopthal00040-0054-c.jpg
https://cdn.ncbi.nlm.nih.gov/pmc/blobs/fcad/504491/61cb5b83313c/brjopthal00040-0052-a.jpg
https://cdn.ncbi.nlm.nih.gov/pmc/blobs/fcad/504491/50cd44e5ad38/brjopthal00040-0053-a.jpg
https://cdn.ncbi.nlm.nih.gov/pmc/blobs/fcad/504491/fec2cd8cfa50/brjopthal00040-0054-a.jpg
https://cdn.ncbi.nlm.nih.gov/pmc/blobs/fcad/504491/27369fe8a5fe/brjopthal00040-0054-b.jpg
https://cdn.ncbi.nlm.nih.gov/pmc/blobs/fcad/504491/e41557fe1156/brjopthal00040-0054-c.jpg
https://cdn.ncbi.nlm.nih.gov/pmc/blobs/fcad/504491/61cb5b83313c/brjopthal00040-0052-a.jpg
https://cdn.ncbi.nlm.nih.gov/pmc/blobs/fcad/504491/50cd44e5ad38/brjopthal00040-0053-a.jpg
https://cdn.ncbi.nlm.nih.gov/pmc/blobs/fcad/504491/fec2cd8cfa50/brjopthal00040-0054-a.jpg
https://cdn.ncbi.nlm.nih.gov/pmc/blobs/fcad/504491/27369fe8a5fe/brjopthal00040-0054-b.jpg
https://cdn.ncbi.nlm.nih.gov/pmc/blobs/fcad/504491/e41557fe1156/brjopthal00040-0054-c.jpg

相似文献

1
Primary lipid keratopathy: a morphological and biochemical assessment.原发性脂质角膜病变:形态学与生物化学评估
Br J Ophthalmol. 1993 Apr;77(4):248-50. doi: 10.1136/bjo.77.4.248.
2
Idiopathic bilateral lipid keratopathy.特发性双侧脂质角膜病变。
Br J Ophthalmol. 1988 May;72(5):338-43. doi: 10.1136/bjo.72.5.338.
3
Amiodarone keratopathy: drug-induced lipid storage disease.
Arch Ophthalmol. 1981 Feb;99(2):257-61. doi: 10.1001/archopht.1981.03930010259007.
4
Unusual idiopathic lipid keratopathy: a newly recognized entity?罕见特发性脂质角膜病变:一种新发现的疾病实体?
Arch Ophthalmol. 2005 Oct;123(10):1435-8. doi: 10.1001/archopht.123.10.1435.
5
[The electron microscopic findings of the anterior portion of the cornea of band keratopathy (author's transl)].带状角膜病变角膜前部的电子显微镜检查结果(作者译)
Nippon Ganka Gakkai Zasshi. 1977 Dec 10;81(12):1858-69.
6
[Primary bilateral lipid keratopathy].[原发性双侧脂质角膜病变]
Arch Soc Esp Oftalmol. 2009 May;84(5):263-5. doi: 10.4321/s0365-66912009000500008.
7
Circumferential nodulocystic keratopathy. A case report.
Graefes Arch Clin Exp Ophthalmol. 1988;226(6):505-9. doi: 10.1007/BF02169196.
8
[Band keratopathy. Symptomatological value based on 23 cases].
J Fr Ophtalmol. 1992;15(11):579-86.
9
Treatment of lipid keratopathy with the argon laser.氩激光治疗脂质角膜病变
Br J Ophthalmol. 1982 Feb;66(2):127-35. doi: 10.1136/bjo.66.2.127.
10
Proteoglycan distribution in the corneas of individuals with bullous keratopathy.大疱性角膜病变患者角膜中蛋白聚糖的分布
Biochem Soc Trans. 1990 Oct;18(5):958. doi: 10.1042/bst0180958.

引用本文的文献

1
Lipid Keratopathy: A Review of Pathophysiology, Differential Diagnosis, and Management.脂质角膜病变:病理生理学、鉴别诊断及治疗综述
Ophthalmol Ther. 2020 Dec;9(4):833-852. doi: 10.1007/s40123-020-00309-y. Epub 2020 Oct 15.
2
Neovascularization of coronary tunica intima (DIT) is the cause of coronary atherosclerosis. Lipoproteins invade coronary intima via neovascularization from adventitial vasa vasorum, but not from the arterial lumen: a hypothesis.冠状动脉内膜新生血管形成(DIT)是冠状动脉粥样硬化的病因。脂蛋白通过来自外膜血管滋养管的新生血管形成侵入冠状动脉内膜,而非从动脉腔侵入:一种假说。
Theor Biol Med Model. 2012 Apr 10;9:11. doi: 10.1186/1742-4682-9-11.
3

本文引用的文献

1
Cholesterol keratopathy.胆固醇性角膜病变
Am J Ophthalmol. 1969 Mar;67(3):372-5. doi: 10.1016/0002-9394(69)92047-9.
2
Primary lipoidal degeneration of the cornea.角膜原发性脂质变性
Am J Ophthalmol. 1974 Jul;78(1):12-23. doi: 10.1016/0002-9394(74)90004-x.
3
Two procedures to remove polar contaminants from a crude brain lipid extract by using prepacked reversed-phase columns.
Lipids. 1987 Apr;22(4):274-7. doi: 10.1007/BF02533991.
Quantitative analysis of lipid deposits from Schnyder's corneal dystrophy.
施奈德角膜营养不良脂质沉积的定量分析。
Br J Ophthalmol. 1998 Apr;82(4):444-7. doi: 10.1136/bjo.82.4.444.
4
Idiopathic bilateral lipid keratopathy.特发性双侧脂质角膜病变。
Br J Ophthalmol. 1988 May;72(5):338-43. doi: 10.1136/bjo.72.5.338.
5
Idiopathic lipid corneal degeneration.特发性脂质角膜变性
Cornea. 1991 Mar;10(2):166-9. doi: 10.1097/00003226-199103000-00013.
6
Bilateral central lipid infiltrates of the cornea.角膜双侧中央脂质浸润。
Am J Ophthalmol. 1977 Dec;84(6):781-7. doi: 10.1016/0002-9394(77)90496-2.
7
Lipid keratopathy following corneal hydrops.角膜水肿后的脂质角膜病变
Arch Ophthalmol. 1977 Mar;95(3):456-8. doi: 10.1001/archopht.1977.04450030098013.