• 文献检索
  • 文档翻译
  • 深度研究
  • 学术资讯
  • Suppr Zotero 插件Zotero 插件
  • 邀请有礼
  • 套餐&价格
  • 历史记录
应用&插件
Suppr Zotero 插件Zotero 插件浏览器插件Mac 客户端Windows 客户端微信小程序
定价
高级版会员购买积分包购买API积分包
服务
文献检索文档翻译深度研究API 文档MCP 服务
关于我们
关于 Suppr公司介绍联系我们用户协议隐私条款
关注我们

Suppr 超能文献

核心技术专利:CN118964589B侵权必究
粤ICP备2023148730 号-1Suppr @ 2026

文献检索

告别复杂PubMed语法,用中文像聊天一样搜索,搜遍4000万医学文献。AI智能推荐,让科研检索更轻松。

立即免费搜索

文件翻译

保留排版,准确专业,支持PDF/Word/PPT等文件格式,支持 12+语言互译。

免费翻译文档

深度研究

AI帮你快速写综述,25分钟生成高质量综述,智能提取关键信息,辅助科研写作。

立即免费体验

眼部球孢菌病。

Ocular spherulocystosis.

作者信息

Kini U, Babu M K

机构信息

Department of Pathology, St John's Medical College, Bangalore, India.

出版信息

J Clin Pathol. 1996 Oct;49(10):857-8. doi: 10.1136/jcp.49.10.857.

DOI:10.1136/jcp.49.10.857
PMID:8943757
原文链接:https://pmc.ncbi.nlm.nih.gov/articles/PMC500785/
Abstract

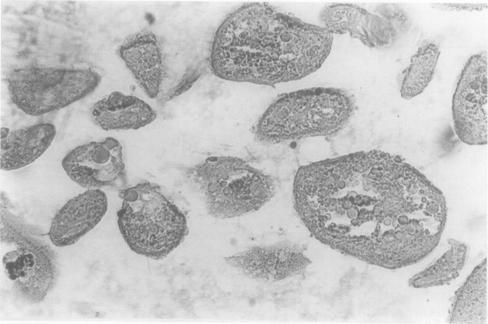
Spherulocystosis (myospherulosis), a rare entity, is characterised by histopathological changes of sac-like refractile structures in soft tissue and presents clinically as an inflammatory lesion. It is caused by trauma or is induced iatrogenically by the topical application of fat based ointments. A case of myospherulosis confined to the region of the lacrimal caruncle, which developed soon after topical antibiotic application for suspected conjunctivitis, in a 49 year old woman is reported. Though this lesion is uncommon, this report illustrates the importance of recognising this condition to avoid confusion with and treatment for fungal infection.

摘要

球囊囊肿病(肌球囊病)是一种罕见病症,其特征为软组织中出现囊状折光结构的组织病理学变化,临床症状表现为炎性病变。它由外伤引起,或因局部应用脂肪基软膏医源性诱发。本文报告了一例49岁女性患者,其肌球囊病局限于泪阜区域,在因疑似结膜炎局部应用抗生素后不久发病。尽管这种病变并不常见,但本报告说明了认识这种病症以避免与真菌感染混淆及进行正确治疗的重要性。

https://cdn.ncbi.nlm.nih.gov/pmc/blobs/0237/500785/33905406790b/jclinpath00247-0080-a.jpg
https://cdn.ncbi.nlm.nih.gov/pmc/blobs/0237/500785/4b651e4b94dd/jclinpath00247-0079-a.jpg
https://cdn.ncbi.nlm.nih.gov/pmc/blobs/0237/500785/33905406790b/jclinpath00247-0080-a.jpg
https://cdn.ncbi.nlm.nih.gov/pmc/blobs/0237/500785/4b651e4b94dd/jclinpath00247-0079-a.jpg
https://cdn.ncbi.nlm.nih.gov/pmc/blobs/0237/500785/33905406790b/jclinpath00247-0080-a.jpg

相似文献

1
Ocular spherulocystosis.眼部球孢菌病。
J Clin Pathol. 1996 Oct;49(10):857-8. doi: 10.1136/jcp.49.10.857.
2
Topical chloramphenicol for eye infections.用于眼部感染的局部用氯霉素。
Hong Kong Med J. 2002 Feb;8(1):44-7.
3
Reaction or infection: topical chloramphenicol treatment.反应或感染:局部用氯霉素治疗。
Ann R Coll Surg Engl. 2013 Jan;95(1):e20-1. doi: 10.1308/rcsann.2013.95.6.e20a.
4
Ocular chloramphenicol and aplastic anaemia. Is there a link?眼部使用氯霉素与再生障碍性贫血。二者有关联吗?
Drug Saf. 1996 May;14(5):273-6. doi: 10.2165/00002018-199614050-00001.
5
[A case of suspected drug-induced ocular pemphigoid].[疑似药物性眼类天疱疮1例]
Nippon Ganka Gakkai Zasshi. 2001 Mar;105(3):189-92.
6
Management of acute infective conjunctivitis.急性感染性结膜炎的管理
Drug Ther Bull. 2011 Jul;49(7):78-81. doi: 10.1136/dtb.2011.02.0043. Epub 2011 Jul 6.
7
What type of eye drops should be given to a toddler with conjunctivitis?
Br J Community Nurs. 2003 Aug;8(8):364-8. doi: 10.12968/bjcn.2003.8.8.11566.
8
Topical chloramphenicol: use or abuse?局部用氯霉素:是合理使用还是滥用?
Eye (Lond). 1995;9 ( Pt 4):vii-viii. doi: 10.1038/eye.1995.97.
9
[Harmful effects of common drugs on the visual apparatus. Anti-infective drugs. B. Antibiotics].[常用药物对视觉器官的有害影响。抗感染药物。B.抗生素]
Bull Soc Belge Ophtalmol. 1972;160(1):390-421.
10
Topical administration of chloramphenicol can induce acute hepatitis.局部应用氯霉素可诱发急性肝炎。
BMJ. 2009 Jun 12;338:b1699. doi: 10.1136/bmj.b1699.

引用本文的文献

1
Clinical and histopathological profile of primary caruncular lesions.原发性肉阜病变的临床和组织病理学特征。
Indian J Ophthalmol. 2022 Jun;70(6):1975-1981. doi: 10.4103/ijo.IJO_2724_21.
2
Myospherulosis of the Mandible Presenting as a Multilocular Lesion: A Case Report and Review of the Literature.表现为多房性病变的下颌骨肌球虫病:一例报告及文献复习
Head Neck Pathol. 2016 Jun;10(2):221-4. doi: 10.1007/s12105-015-0641-1. Epub 2015 Jul 10.
3
Intravitreal haemoglobin spherulosis: an unusual sequela of intraocular haemorrhage.

本文引用的文献

1
Experimental study of the cause of myospherulosis.肌球小体病病因的实验研究
Am J Clin Pathol. 1993 Mar;99(3):249-56. doi: 10.1093/ajcp/99.3.249.
2
Dermal spherulosis (myospherulosis) after topical treatment for psoriasis.银屑病局部治疗后的皮肤球状体病(肌球状体病)
J Am Acad Dermatol. 1994 Feb;30(2 Pt 1):265-7. doi: 10.1016/s0190-9622(08)81923-8.
3
Intracranial myospherulosis.颅内肌球虫病。
玻璃体内血红蛋白球形体病:眼内出血的一种罕见后遗症。
Int Ophthalmol. 2011 Dec;31(6):477-9. doi: 10.1007/s10792-011-9465-5. Epub 2011 Oct 13.
4
Hepatic myospherulosis complicating portal vein embolisation.肝肌球状体病并发门静脉栓塞
J Clin Pathol. 2004 Feb;57(2):155-8. doi: 10.1136/jcp.2003.11965.
Hum Pathol. 1982 Jun;13(6):596-7. doi: 10.1016/s0046-8177(82)80279-7.
4
Myospherulosis: a previously unreported disease?球形肌病:一种此前未被报道的疾病?
Am J Clin Pathol. 1969 Jun;51(6):699-704. doi: 10.1093/ajcp/51.6.699.
5
Myospherulosis. Fine needle aspiration cytologic findings in 19 cases.肌球孢子菌病。19例细针穿刺细胞学检查结果
Acta Cytol. 1991 Mar-Apr;35(2):225-8.
6
Myospherulosis of the paranasal sinuses, nose and middle ear. A possible iatrogenic disease.
Am J Clin Pathol. 1977 Feb;67(2):118-30. doi: 10.1093/ajcp/67.2.118.
7
The nature of myospherulosis of the upper respiratory tract.上呼吸道肌球孢子菌病的本质
Am J Clin Pathol. 1978 May;69(5):475-81. doi: 10.1093/ajcp/69.5.475.