• 文献检索
  • 文档翻译
  • 深度研究
  • 学术资讯
  • Suppr Zotero 插件Zotero 插件
  • 邀请有礼
  • 套餐&价格
  • 历史记录
应用&插件
Suppr Zotero 插件Zotero 插件浏览器插件Mac 客户端Windows 客户端微信小程序
定价
高级版会员购买积分包购买API积分包
服务
文献检索文档翻译深度研究API 文档MCP 服务
关于我们
关于 Suppr公司介绍联系我们用户协议隐私条款
关注我们

Suppr 超能文献

核心技术专利:CN118964589B侵权必究
粤ICP备2023148730 号-1Suppr @ 2026

文献检索

告别复杂PubMed语法,用中文像聊天一样搜索,搜遍4000万医学文献。AI智能推荐,让科研检索更轻松。

立即免费搜索

文件翻译

保留排版,准确专业,支持PDF/Word/PPT等文件格式,支持 12+语言互译。

免费翻译文档

深度研究

AI帮你快速写综述,25分钟生成高质量综述,智能提取关键信息,辅助科研写作。

立即免费体验

小鼠铜绿假单胞菌实验性尿路感染

Experimental urinary tract infection with Pseudomonas aeruginosa in mice.

作者信息

Nishi T, Tsuchiya K

出版信息

Infect Immun. 1978 Nov;22(2):508-15. doi: 10.1128/iai.22.2.508-515.1978.

DOI:10.1128/iai.22.2.508-515.1978
PMID:103833
原文链接:https://pmc.ncbi.nlm.nih.gov/articles/PMC422185/
Abstract

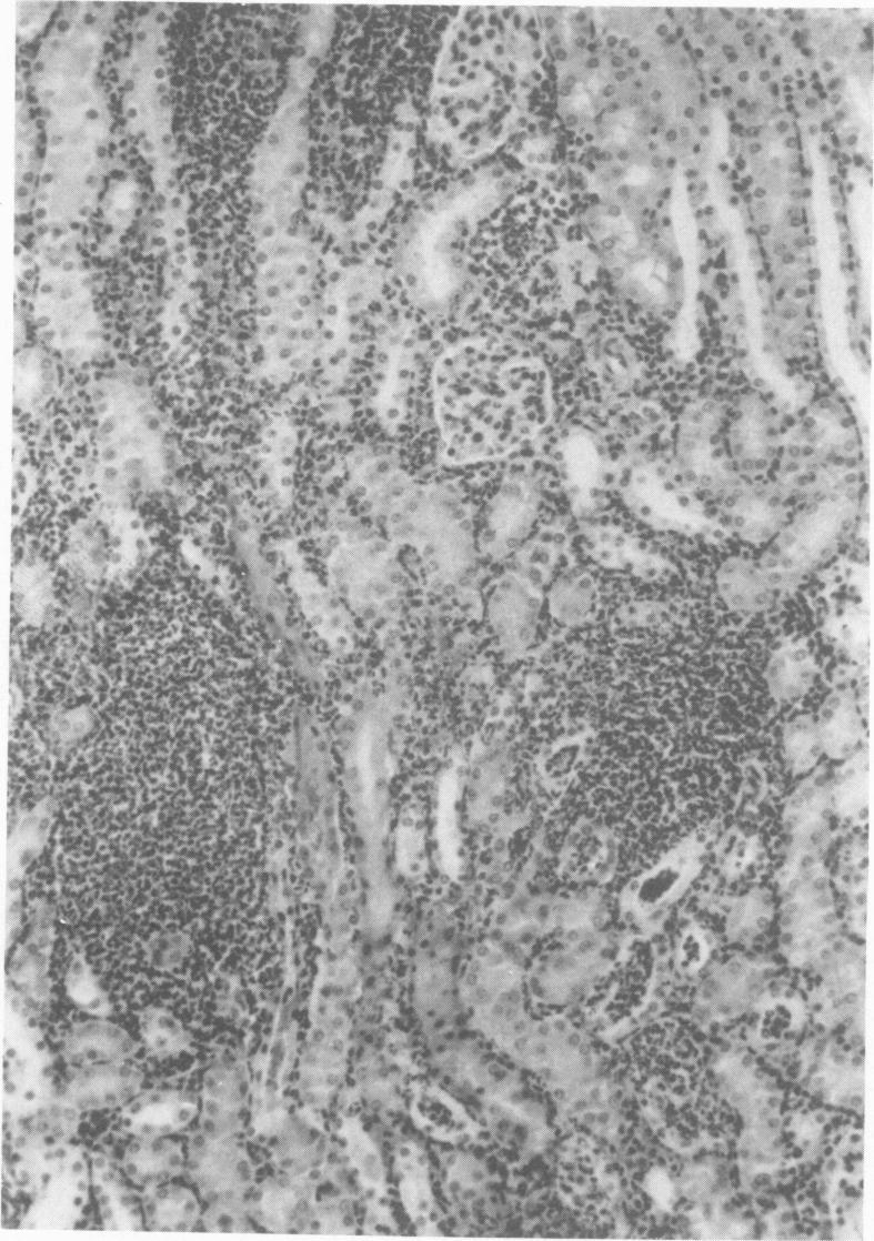
Urinary tract infection with Pseudomonas aeruginosa was induced in mice by transurethral inoculation of the organism into the bladder, followed by urethral obstruction for 6 h. The infection was mostly localized in the urinary organs. P. aeruginosa P9 was selected as the challenge organism from 10 laboratory strains of P. aeruginosa. After the inoculation of 10(7) colony-forming units of P. aeruginosa P9, transient bacteremia was observed in some of the mice from 6 h to 1 day after the inoculation. The number of organisms in the bladder tissue gradually decreased, whereas that in the kidneys increased to levels of 10(6) to 10(7) colony-forming units in 3 days, and these levels remained up to 2 weeks after the inoculation. The organisms gradually disappeared thereafter, and spontaneous recovery took place. The organisms could be recovered from the kidneys of 95% of the mice, and the gross lesions in the kidneys were observed in 77% of the mice 1 week after inoculation. The method developed here is simple and may be useful in the study of urinary tract infections due to P. aeruginosa and other species of bacteria.20

摘要

通过将铜绿假单胞菌经尿道接种到小鼠膀胱,随后进行6小时的尿道梗阻,诱导小鼠发生铜绿假单胞菌引起的尿路感染。感染主要局限于泌尿器官。从10株铜绿假单胞菌实验室菌株中选择铜绿假单胞菌P9作为攻击菌。接种10⁷个铜绿假单胞菌P9菌落形成单位后,部分小鼠在接种后6小时至1天出现短暂菌血症。膀胱组织中的菌数逐渐减少,而肾脏中的菌数在3天内增加到10⁶至10⁷个菌落形成单位水平,且这些水平在接种后持续2周。此后菌数逐渐消失,小鼠自发恢复。95%的小鼠肾脏中可检出该菌,接种1周后77%的小鼠肾脏出现肉眼可见病变。这里建立的方法简单,可能有助于研究由铜绿假单胞菌和其他细菌引起的尿路感染。

https://cdn.ncbi.nlm.nih.gov/pmc/blobs/9097/422185/a7374aca17a8/iai00203-0212-b.jpg
https://cdn.ncbi.nlm.nih.gov/pmc/blobs/9097/422185/ed22c528b67c/iai00203-0212-a.jpg
https://cdn.ncbi.nlm.nih.gov/pmc/blobs/9097/422185/a7374aca17a8/iai00203-0212-b.jpg
https://cdn.ncbi.nlm.nih.gov/pmc/blobs/9097/422185/ed22c528b67c/iai00203-0212-a.jpg
https://cdn.ncbi.nlm.nih.gov/pmc/blobs/9097/422185/a7374aca17a8/iai00203-0212-b.jpg

相似文献

1
Experimental urinary tract infection with Pseudomonas aeruginosa in mice.小鼠铜绿假单胞菌实验性尿路感染
Infect Immun. 1978 Nov;22(2):508-15. doi: 10.1128/iai.22.2.508-515.1978.
2
A non-surgical rat model of foreign body-associated urinary tract infection with Pseudomonas aeruginosa.
Microbiol Immunol. 2001;45(1):9-15. doi: 10.1111/j.1348-0421.2001.tb01268.x.
3
Enterococcus faecalis aggravates pyelonephritis caused by Pseudomonas aeruginosa in experimental ascending mixed urinary tract infection in mice.粪肠球菌会加重小鼠实验性上行性混合性尿路感染中由铜绿假单胞菌引起的肾盂肾炎。
Infect Immun. 1994 Oct;62(10):4534-41. doi: 10.1128/iai.62.10.4534-4541.1994.
4
Pseudomonas quinolone signalling system: a component of quorum sensing cascade is a crucial player in the acute urinary tract infection caused by Pseudomonas aeruginosa.铜绿假单胞菌喹诺酮信号系统:群体感应级联反应的一个组成部分是铜绿假单胞菌引起的急性尿路感染中的关键因素。
Int J Med Microbiol. 2014 Nov;304(8):1199-208. doi: 10.1016/j.ijmm.2014.08.013. Epub 2014 Sep 1.
5
Quorum sensing is necessary for the virulence of Pseudomonas aeruginosa during urinary tract infection.群体感应对于铜绿假单胞菌引起尿路感染的毒力是必需的。
Kidney Int. 2009 Aug;76(3):286-92. doi: 10.1038/ki.2009.183. Epub 2009 Jun 3.
6
Relationship of type 1 pilus expression in Escherichia coli to ascending urinary tract infections in mice.大肠杆菌1型菌毛表达与小鼠上行性尿路感染的关系。
Infect Immun. 1987 Feb;55(2):373-80. doi: 10.1128/iai.55.2.373-380.1987.
7
Correlation of tissue infection with bacteriuria.
J Infect Dis. 1982 Jun;145(6):917. doi: 10.1093/infdis/145.6.917.
8
Azithromycin-Ciprofloxacin-Impregnated Urinary Catheters Avert Bacterial Colonization, Biofilm Formation, and Inflammation in a Murine Model of Foreign-Body-Associated Urinary Tract Infections Caused by Pseudomonas aeruginosa.阿奇霉素-环丙沙星浸渍导尿管可预防铜绿假单胞菌引起的异物相关尿路感染小鼠模型中的细菌定植、生物膜形成和炎症。
Antimicrob Agents Chemother. 2017 Feb 23;61(3). doi: 10.1128/AAC.01906-16. Print 2017 Mar.
9
Complicated urinary tract infection caused by Pseudomonas aeruginosa in a single institution (1999-2003).某单一机构中由铜绿假单胞菌引起的复杂性尿路感染(1999 - 2003年)
Int J Urol. 2006 May;13(5):538-42. doi: 10.1111/j.1442-2042.2006.01359.x.
10
Nosocomial Pseudomonas aeruginosa urinary tract infections.医院获得性铜绿假单胞菌尿路感染
JAMA. 1982 Oct 1;248(13):1615-8.

引用本文的文献

1
Urinary tract infections and catheter-associated urinary tract infections caused by .由……引起的尿路感染及导尿管相关尿路感染。 (注:原文“caused by”后缺少具体内容)
Microbiol Mol Biol Rev. 2024 Dec 18;88(4):e0006622. doi: 10.1128/mmbr.00066-22. Epub 2024 Oct 21.
2
: Infections, Animal Modeling, and Therapeutics.感染、动物模型与治疗学
Cells. 2023 Jan 3;12(1):199. doi: 10.3390/cells12010199.
3
Noninvasive biophotonic imaging for monitoring of catheter-associated urinary tract infections and therapy in mice.用于监测小鼠导管相关性尿路感染及治疗的非侵入性生物光子成像技术

本文引用的文献

1
EXPERIMENTAL PYELONEPHRITIS: OBSERVATIONS ON MIXED INFECTION.实验性肾盂肾炎:关于混合感染的观察
Yale J Biol Med. 1965 Feb;37(4):313-8.
2
THE FATE OF PSEUDOMONAS AERUGINOSA, PROTEUS MIRABILIS AND ESCHERICHIA COLI IN THE MOUSE KIDNEY.铜绿假单胞菌、奇异变形杆菌和大肠杆菌在小鼠肾脏中的命运
J Pathol Bacteriol. 1965 Jan;89:81-8. doi: 10.1002/path.1700890110.
3
EXPERIMENTAL PYELONEPHRITIS. ASCENDING INFECTION OF THE RAT KIDNEY BY ORGANISMS RESIDING IN THE URETHRA.实验性肾盂肾炎。尿道内细菌上行感染大鼠肾脏
Infect Immun. 2005 Jul;73(7):3878-87. doi: 10.1128/IAI.73.7.3878-3887.2005.
4
Therapeutic effect of cefozopran (SCE-2787), a new parenteral cephalosporin, against experimental infections in mice.新型胃肠外头孢菌素头孢唑兰(SCE - 2787)对小鼠实验性感染的治疗效果
Antimicrob Agents Chemother. 1993 Jan;37(1):100-5. doi: 10.1128/AAC.37.1.100.
5
Urethral obstruction of 6 hours or less causes bacteriuria, bacteremia, and pyelonephritis in mice challenged with "nonuropathogenic" Escherichia coli.在受到“非尿路致病性”大肠杆菌攻击的小鼠中,6小时或更短时间的尿道梗阻会导致菌尿症、菌血症和肾盂肾炎。
Infect Immun. 1993 Aug;61(8):3422-8. doi: 10.1128/iai.61.8.3422-3428.1993.
6
Enterococcus faecalis aggravates pyelonephritis caused by Pseudomonas aeruginosa in experimental ascending mixed urinary tract infection in mice.粪肠球菌会加重小鼠实验性上行性混合性尿路感染中由铜绿假单胞菌引起的肾盂肾炎。
Infect Immun. 1994 Oct;62(10):4534-41. doi: 10.1128/iai.62.10.4534-4541.1994.
7
Pseudomonas urinary tract infection in mice.小鼠的假单胞菌尿路感染
Infect Immun. 1980 Jul;29(1):267-70. doi: 10.1128/iai.29.1.267-270.1980.
8
Comparative activities of cefotiam and cefazolin against urinary tract infections with Proteus mirabilis in mice.头孢替安和头孢唑林对小鼠奇异变形杆菌所致尿路感染的比较活性
Antimicrob Agents Chemother. 1980 Aug;18(2):257-63. doi: 10.1128/AAC.18.2.257.
9
Ascending, unobstructed urinary tract infection in mice caused by pyelonephritogenic Escherichia coli of human origin.由人类源肾盂肾炎致病性大肠杆菌引起的小鼠上行性、无梗阻性尿路感染。
Infect Immun. 1983 Apr;40(1):273-83. doi: 10.1128/iai.40.1.273-283.1983.
10
Impairment of cell-mediated immunity in Pseudomonas aeruginosa pyelonephritis: lack of suppressor cell activity in vivo.
Med Microbiol Immunol. 1982;171(3):123-33. doi: 10.1007/BF02123620.
Br J Exp Pathol. 1964 Aug;45(4):436-41.
4
EXPERIMENTAL PYELONEPHRITIS IN THE MOUSE PRODUCED BY ESCHERICHIA COLI, PSEUDOMONAS AERUGINOSA AND PROTEUS MIRABILIS.由大肠杆菌、铜绿假单胞菌和奇异变形杆菌引起的小鼠实验性肾盂肾炎
J Pathol Bacteriol. 1964 Jan;87:79-87. doi: 10.1002/path.1700870112.
5
Pyelitis, an important factor in the pathogenesis of retrograde pyelonephritis.肾盂炎是逆行性肾盂肾炎发病机制中的一个重要因素。
J Exp Med. 1961 Sep 1;114(3):375-84. doi: 10.1084/jem.114.3.375.
6
Two simple media for the demonstration of pyocyanin and fluorescin.两种用于展示绿脓菌素和荧光素的简单培养基。
J Lab Clin Med. 1954 Aug;44(2):301-7.
7
Bacterial localisation in the kidney with particular reference to Pseudomonas pyocyanea.细菌在肾脏中的定位,特别提及绿脓杆菌。
J Pathol Bacteriol. 1952 Oct;64(4):857-64. doi: 10.1002/path.1700640417.
8
Experimental pyelonephritis in rats with a glass bead in the bladder.
J Pathol Bacteriol. 1965 Oct;90(2):668-72. doi: 10.1002/path.1700900240.
9
Experimental infection with Pseudomonas aeruginosa in mice. II. The fate of highly and low virulent strains in the peritoneal cavity and organs of mice.小鼠铜绿假单胞菌实验性感染。II. 高毒力和低毒力菌株在小鼠腹腔和器官中的命运。
Jpn J Microbiol. 1971 Jul;15(4):301-7.
10
Effect of prior bacterial immunization on the pathogenesis of retrograde pyelonephritis.
J Urol. 1966 Apr;95(4):476-84. doi: 10.1016/S0022-5347(17)63481-5.