• 文献检索
  • 文档翻译
  • 深度研究
  • 学术资讯
  • Suppr Zotero 插件Zotero 插件
  • 邀请有礼
  • 套餐&价格
  • 历史记录
应用&插件
Suppr Zotero 插件Zotero 插件浏览器插件Mac 客户端Windows 客户端微信小程序
定价
高级版会员购买积分包购买API积分包
服务
文献检索文档翻译深度研究API 文档MCP 服务
关于我们
关于 Suppr公司介绍联系我们用户协议隐私条款
关注我们

Suppr 超能文献

核心技术专利:CN118964589B侵权必究
粤ICP备2023148730 号-1Suppr @ 2026

文献检索

告别复杂PubMed语法,用中文像聊天一样搜索,搜遍4000万医学文献。AI智能推荐,让科研检索更轻松。

立即免费搜索

文件翻译

保留排版,准确专业,支持PDF/Word/PPT等文件格式,支持 12+语言互译。

免费翻译文档

深度研究

AI帮你快速写综述,25分钟生成高质量综述,智能提取关键信息,辅助科研写作。

立即免费体验

甲烷产生生物膜的光镜和电镜检查。

Light and electron microscopic examinations of methane-producing biofilms from anaerobic fixed-bed reactors.

机构信息

Departments of Microbiology and Cell Science and Agricultural Engineering, University of Florida, Gainesville, Florida 32611.

出版信息

Appl Environ Microbiol. 1984 Jul;48(1):127-36. doi: 10.1128/aem.48.1.127-136.1984.

DOI:10.1128/aem.48.1.127-136.1984
PMID:16346579
原文链接:https://pmc.ncbi.nlm.nih.gov/articles/PMC240336/
Abstract

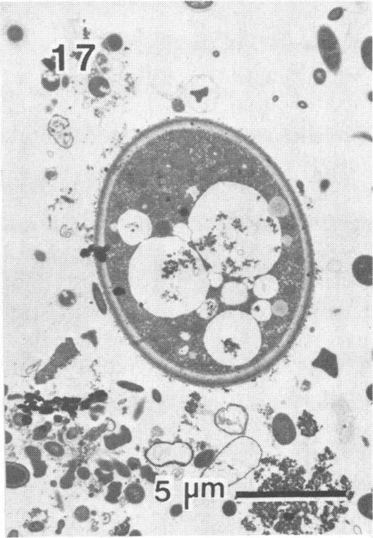
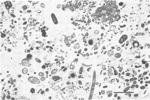
Ultrastructural examinations were performed on biofilms from eight anaerobic fixed-bed reactors filled with various packing materials and operated on fresh swine waste. By using light, UV, scanning, and transmission electron microscopy, the distribution of a diverse microbial population composed of bacteria and a few yeasts was determined. This is the first time that the ultrastructure of in situ anaerobic digestor biofilms has been reported. A large number of methanogenic bacteria were identified by their fluorescence under 420 nm of radiation. Of these, two morphologically distinct types were most prevalent in the films. Methanothrix spp. was present in high numbers at the film surface, whereas Methanosarcina spp. were commonly embedded in the lower regions of the film. Inhabitants of the film were surrounded by an exopolysaccharide matrix that was very dense toward the base. An extensive network of channels was observed throughout the matrix that may facilitate gas and nutrient exchange to the lower regions of the film.

摘要

对填充有各种包装材料并在新鲜猪粪上运行的八个厌氧固定床反应器中的生物膜进行了超微结构检查。通过使用光、紫外线、扫描和透射电子显微镜,确定了由细菌和一些酵母组成的多样化微生物种群的分布。这是首次报道原位厌氧消化器生物膜的超微结构。通过 420nm 辐射下的荧光,大量产甲烷菌被鉴定出来。其中,两种形态明显不同的类型在薄膜中最为普遍。在薄膜表面存在大量的 Methanothrix spp.,而 Methanosarcina spp. 则通常嵌入在薄膜的下部区域。薄膜中的生物被包裹在非常致密的胞外多糖基质中。在整个基质中观察到广泛的通道网络,这可能有利于气体和营养物质向薄膜的下部区域交换。

https://cdn.ncbi.nlm.nih.gov/pmc/blobs/b6f1/240336/798c84488f61/aem00152-0142-b.jpg
https://cdn.ncbi.nlm.nih.gov/pmc/blobs/b6f1/240336/06ca7f525a41/aem00152-0136-a.jpg
https://cdn.ncbi.nlm.nih.gov/pmc/blobs/b6f1/240336/75fd8d7e6f2a/aem00152-0136-b.jpg
https://cdn.ncbi.nlm.nih.gov/pmc/blobs/b6f1/240336/13342ff6aa78/aem00152-0136-c.jpg
https://cdn.ncbi.nlm.nih.gov/pmc/blobs/b6f1/240336/15ba8c3eaed7/aem00152-0136-d.jpg
https://cdn.ncbi.nlm.nih.gov/pmc/blobs/b6f1/240336/44152b1e0815/aem00152-0137-a.jpg
https://cdn.ncbi.nlm.nih.gov/pmc/blobs/b6f1/240336/fbe82a984683/aem00152-0137-b.jpg
https://cdn.ncbi.nlm.nih.gov/pmc/blobs/b6f1/240336/71ae6154fc8c/aem00152-0137-c.jpg
https://cdn.ncbi.nlm.nih.gov/pmc/blobs/b6f1/240336/9a476bd2d4f4/aem00152-0137-d.jpg
https://cdn.ncbi.nlm.nih.gov/pmc/blobs/b6f1/240336/cf0e727fb173/aem00152-0138-a.jpg
https://cdn.ncbi.nlm.nih.gov/pmc/blobs/b6f1/240336/5b7b4e89f6be/aem00152-0138-b.jpg
https://cdn.ncbi.nlm.nih.gov/pmc/blobs/b6f1/240336/7643fcb5874a/aem00152-0138-c.jpg
https://cdn.ncbi.nlm.nih.gov/pmc/blobs/b6f1/240336/f085fed02e67/aem00152-0138-d.jpg
https://cdn.ncbi.nlm.nih.gov/pmc/blobs/b6f1/240336/3446c6251688/aem00152-0140-a.jpg
https://cdn.ncbi.nlm.nih.gov/pmc/blobs/b6f1/240336/1a6447e9df50/aem00152-0140-b.jpg
https://cdn.ncbi.nlm.nih.gov/pmc/blobs/b6f1/240336/0fd02907d3d2/aem00152-0140-c.jpg
https://cdn.ncbi.nlm.nih.gov/pmc/blobs/b6f1/240336/c01f8200e480/aem00152-0140-d.jpg
https://cdn.ncbi.nlm.nih.gov/pmc/blobs/b6f1/240336/55eb57fcc0d5/aem00152-0140-e.jpg
https://cdn.ncbi.nlm.nih.gov/pmc/blobs/b6f1/240336/3a31fc8b2f2b/aem00152-0141-a.jpg
https://cdn.ncbi.nlm.nih.gov/pmc/blobs/b6f1/240336/609d0bf9018b/aem00152-0141-b.jpg
https://cdn.ncbi.nlm.nih.gov/pmc/blobs/b6f1/240336/b87dd68d8da3/aem00152-0142-a.jpg
https://cdn.ncbi.nlm.nih.gov/pmc/blobs/b6f1/240336/798c84488f61/aem00152-0142-b.jpg
https://cdn.ncbi.nlm.nih.gov/pmc/blobs/b6f1/240336/06ca7f525a41/aem00152-0136-a.jpg
https://cdn.ncbi.nlm.nih.gov/pmc/blobs/b6f1/240336/75fd8d7e6f2a/aem00152-0136-b.jpg
https://cdn.ncbi.nlm.nih.gov/pmc/blobs/b6f1/240336/13342ff6aa78/aem00152-0136-c.jpg
https://cdn.ncbi.nlm.nih.gov/pmc/blobs/b6f1/240336/15ba8c3eaed7/aem00152-0136-d.jpg
https://cdn.ncbi.nlm.nih.gov/pmc/blobs/b6f1/240336/44152b1e0815/aem00152-0137-a.jpg
https://cdn.ncbi.nlm.nih.gov/pmc/blobs/b6f1/240336/fbe82a984683/aem00152-0137-b.jpg
https://cdn.ncbi.nlm.nih.gov/pmc/blobs/b6f1/240336/71ae6154fc8c/aem00152-0137-c.jpg
https://cdn.ncbi.nlm.nih.gov/pmc/blobs/b6f1/240336/9a476bd2d4f4/aem00152-0137-d.jpg
https://cdn.ncbi.nlm.nih.gov/pmc/blobs/b6f1/240336/cf0e727fb173/aem00152-0138-a.jpg
https://cdn.ncbi.nlm.nih.gov/pmc/blobs/b6f1/240336/5b7b4e89f6be/aem00152-0138-b.jpg
https://cdn.ncbi.nlm.nih.gov/pmc/blobs/b6f1/240336/7643fcb5874a/aem00152-0138-c.jpg
https://cdn.ncbi.nlm.nih.gov/pmc/blobs/b6f1/240336/f085fed02e67/aem00152-0138-d.jpg
https://cdn.ncbi.nlm.nih.gov/pmc/blobs/b6f1/240336/3446c6251688/aem00152-0140-a.jpg
https://cdn.ncbi.nlm.nih.gov/pmc/blobs/b6f1/240336/1a6447e9df50/aem00152-0140-b.jpg
https://cdn.ncbi.nlm.nih.gov/pmc/blobs/b6f1/240336/0fd02907d3d2/aem00152-0140-c.jpg
https://cdn.ncbi.nlm.nih.gov/pmc/blobs/b6f1/240336/c01f8200e480/aem00152-0140-d.jpg
https://cdn.ncbi.nlm.nih.gov/pmc/blobs/b6f1/240336/55eb57fcc0d5/aem00152-0140-e.jpg
https://cdn.ncbi.nlm.nih.gov/pmc/blobs/b6f1/240336/3a31fc8b2f2b/aem00152-0141-a.jpg
https://cdn.ncbi.nlm.nih.gov/pmc/blobs/b6f1/240336/609d0bf9018b/aem00152-0141-b.jpg
https://cdn.ncbi.nlm.nih.gov/pmc/blobs/b6f1/240336/b87dd68d8da3/aem00152-0142-a.jpg
https://cdn.ncbi.nlm.nih.gov/pmc/blobs/b6f1/240336/798c84488f61/aem00152-0142-b.jpg

相似文献

1
Light and electron microscopic examinations of methane-producing biofilms from anaerobic fixed-bed reactors.甲烷产生生物膜的光镜和电镜检查。
Appl Environ Microbiol. 1984 Jul;48(1):127-36. doi: 10.1128/aem.48.1.127-136.1984.
2
Upflow anaerobic sludge blanket reactor--a review.上流式厌氧污泥床反应器——综述
Indian J Environ Health. 2001 Apr;43(2):1-82.
3
Microbial populations associated with fixed- and floating-bed reactors during a two-stage anaerobic process.两阶段厌氧过程中与固定床和流化床反应器相关的微生物群落。
Int Microbiol. 2007 Dec;10(4):245-51.
4
Methanogenesis in a Thermophilic (58 degrees C) Anaerobic Digestor: Methanothrix sp. as an Important Aceticlastic Methanogen.嗜热(58°C)厌氧消化器中的产甲烷作用: Methanothrix sp. 作为一种重要的乙酸营养型产甲烷菌。
Appl Environ Microbiol. 1984 Apr;47(4):796-807. doi: 10.1128/aem.47.4.796-807.1984.
5
Effects of nickel, cobalt, and molybdenum on performance of methanogenic fixed-film reactors.镍、钴和钼对甲烷生成固定膜反应器性能的影响。
Appl Environ Microbiol. 1981 Sep;42(3):502-5. doi: 10.1128/aem.42.3.502-505.1981.
6
Biofilm development in down flow anaerobic fluidised bed reactors under transient conditions.瞬态条件下下流式厌氧流化床反应器中的生物膜形成
Water Sci Technol. 2002;46(1-2):253-6.
7
Advanced start-up of anaerobic attached film expanded bed reactor by pre-aeration of biofilm carrier.通过对生物膜载体进行预曝气实现厌氧附着膜膨胀床反应器的快速启动
Bioresour Technol. 2005 Jan;96(1):115-9. doi: 10.1016/j.biortech.2003.03.002.
8
Enhancing anaerobic digestion in anaerobic integrated floating fixed-film activated sludge (An-IFFAS) system using novel electron mediator suspended biofilm carriers.利用新型电子介体悬浮生物膜载体增强厌氧集成浮动固定膜活性污泥(An-IFFAS)系统中的厌氧消化。
Water Res. 2020 May 15;175:115697. doi: 10.1016/j.watres.2020.115697. Epub 2020 Mar 7.
9
Methanogenic activity and structural characteristics of the microbial biofilm on a needle-punched polyester support.针刺聚酯毡上微生物生物膜的产甲烷活性和结构特征。
Appl Environ Microbiol. 1984 Sep;48(3):633-8. doi: 10.1128/aem.48.3.633-638.1984.
10
Phenotypic properties and microbial diversity of methanogenic granules from a full-scale upflow anaerobic sludge bed reactor treating brewery wastewater.处理啤酒厂废水的全尺寸上流式厌氧污泥床反应器中产甲烷颗粒的表型特性及微生物多样性
Appl Environ Microbiol. 2006 Jul;72(7):4942-9. doi: 10.1128/AEM.02985-05.

引用本文的文献

1
Mimicking biofilm formation and development: Recent progress in and biofilm models.模拟生物膜的形成与发展:生物膜模型的最新进展
iScience. 2021 Apr 17;24(5):102443. doi: 10.1016/j.isci.2021.102443. eCollection 2021 May 21.
2
Minimization of extracellular space as a driving force in prokaryote association and the origin of eukaryotes.细胞外空间的最小化作为原核生物关联和真核生物起源的驱动力。
Biol Direct. 2014 Nov 18;9(1):24. doi: 10.1186/1745-6150-9-24.
3
Comparison of diffusion and reaction rates in anaerobic microbial aggregates.

本文引用的文献

1
Light and electron microscopic studies of microorganisms growing in rotating biological contactor biofilms.在旋转生物接触器生物膜中生长的微生物的光学和电子显微镜研究。
Appl Environ Microbiol. 1983 May;45(5):1659-69. doi: 10.1128/aem.45.5.1659-1669.1983.
2
Isolation and Characterization of a Methylotrophic Marine Methanogen, Methanococcoides methylutens gen. nov., sp. nov.一株甲醇营养型海洋甲烷菌的分离与鉴定,甲烷球菌 Methylococcoides methylutens 属,新种。
Appl Environ Microbiol. 1983 Feb;45(2):684-90. doi: 10.1128/aem.45.2.684-690.1983.
3
PLASTIC EMBEDDING MIXTURES FOR USE IN ELECTRON MICROSCOPY.
厌氧微生物聚集体中扩散和反应速率的比较。
Microb Ecol. 1991 Dec;22(1):161-74. doi: 10.1007/BF02540221.
4
Dinosaurian soft tissues interpreted as bacterial biofilms.被解释为细菌生物膜的恐龙软组织。
PLoS One. 2008 Jul 30;3(7):e2808. doi: 10.1371/journal.pone.0002808.
5
Methods for observing microbial biofilms directly on leaf surfaces and recovering them for isolation of culturable microorganisms.观察叶片表面微生物生物膜并回收以分离可培养微生物的方法。
Appl Environ Microbiol. 1997 Apr;63(4):1570-6. doi: 10.1128/aem.63.4.1570-1576.1997.
6
Examination of bacterial characteristics of anaerobic membrane bioreactors in three pilot-scale plants for treating low-strength wastewater by application of the colony-forming-curve analysis method.应用集落形成曲线分析法研究 3 座处理低浓度废水的中试规模厌氧膜生物反应器中细菌特性。
Appl Environ Microbiol. 1992 Sep;58(9):2751-7. doi: 10.1128/aem.58.9.2751-2757.1992.
7
Hydrophobicities and electrophoretic mobilities of anaerobic bacterial isolates from methanogenic granular sludge.产甲烷颗粒污泥中厌氧细菌分离物的疏水性和电泳迁移率。
Appl Environ Microbiol. 1992 Mar;58(3):1054-6. doi: 10.1128/aem.58.3.1054-1056.1992.
8
Quantitative microbiological analysis of bacterial community shifts in a high-rate anaerobic bioreactor treating sulfite evaporator condensate.高负荷厌氧生物反应器处理亚硫酸盐蒸发器冷凝物中细菌群落变化的定量微生物分析。
Appl Environ Microbiol. 1990 Aug;56(8):2389-98. doi: 10.1128/aem.56.8.2389-2398.1990.
9
Direct characterization of methanogens in two high-rate anaerobic biological reactors.直接描述两个高效厌氧生物反应器中的产甲烷菌。
Appl Environ Microbiol. 1988 Mar;54(3):693-8. doi: 10.1128/aem.54.3.693-698.1988.
10
Quantitative immunologic analysis of the methanogenic flora of digestors reveals a considerable diversity.定量免疫分析消化器中产甲烷菌群揭示了相当大的多样性。
Appl Environ Microbiol. 1988 Jan;54(1):79-86. doi: 10.1128/aem.54.1.79-86.1988.
用于电子显微镜检查的塑料包埋混合物
Stain Technol. 1964 Mar;39:111-4.
4
The formation of microcolonies by rumen bacteria.瘤胃细菌形成微菌落。
Can J Microbiol. 1980 Sep;26(9):1104-13. doi: 10.1139/m80-183.
5
Observations of fouling biofilm formation.生物污垢膜形成的观察
Can J Microbiol. 1981 Sep;27(9):910-7. doi: 10.1139/m81-143.
6
Electron microscopic examination of wastewater biofilm formation and structural components.废水生物膜形成及结构成分的电子显微镜检查。
Appl Environ Microbiol. 1983 Jun;45(6):1921-31. doi: 10.1128/aem.45.6.1921-1931.1983.
7
Characterization of an acetate-decarboxylating, non-hydrogen-oxidizing methane bacterium.一株乙酸脱羧、非氢氧化产甲烷菌的特性研究
Arch Microbiol. 1980 Jan;124(1):1-11. doi: 10.1007/BF00407022.
8
Kinetics of acetate metabolism during sludge digestion.污泥消化过程中乙酸盐代谢的动力学
Appl Microbiol. 1966 May;14(3):368-71. doi: 10.1128/am.14.3.368-371.1966.
9
Electron microscopic study of a slime layer.黏液层的电子显微镜研究。
J Bacteriol. 1969 Jul;99(1):316-25. doi: 10.1128/jb.99.1.316-325.1969.
10
Isolation and properties of a fluorescent compound, factor 420 , from Methanobacterium strain M.o.H.从甲烷杆菌M.o.H.菌株中分离出荧光化合物420因子及其特性
J Bacteriol. 1972 Oct;112(1):527-31. doi: 10.1128/jb.112.1.527-531.1972.