Suppr超能文献

阴囊胆汁肿和腹膜后胆汁瘤:表现为嵌顿性腹股沟疝的胆道系统自发性破裂。

Biliscrotum and retroperitoneal biloma: spontaneous rupture of the biliary system presenting as an incarcerated inguinal hernia.

作者信息

Brady R R W, McAteer E, Weir C D

机构信息

Craigavon Area Hospital Group Trust.

出版信息

Ulster Med J. 2006 Jan;75(1):85-7.

Abstract

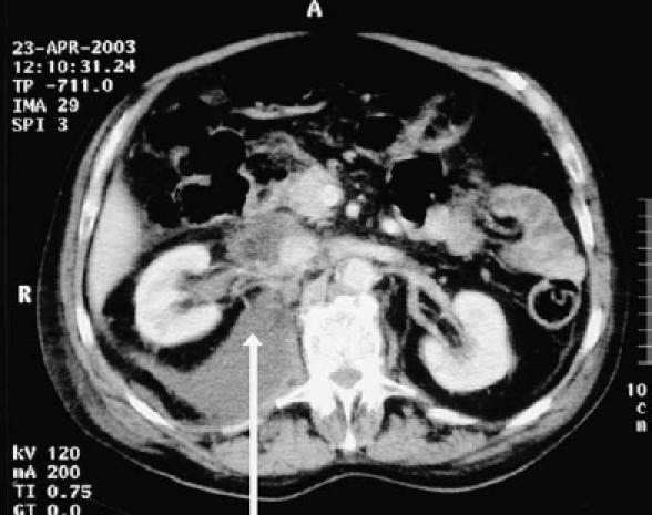
Spontaneous rupture of the biliary system is a well documented condition in infants but is rare in adults. We report the case of a 73-year-old gentleman who presented with clinical signs and symptoms mimicking that of a strangulated right inguinal hernia. At emergency operation the scrotum was found to contain bile. Following radiological imaging and exploratory surgery, a large retroperitoneal biloma was found. We discuss the clinical signs associated with biliscrotum and retroperitoneal biloma and describe our operative management of this patient. We review the previously reported cases of these rare clinical entities. We found that our case exhibited similarities in terms of the age of presentation and presence of distal common bile duct stones. This is, to our knowledge, the only reported case of a patient presenting with biliscrotum secondary to the assumed spontaneous rupture of the common bile duct and development of a retroperitoneal biloma.

摘要

胆道系统自发性破裂在婴儿中是一种有充分文献记载的病症,但在成人中罕见。我们报告一例73岁男性患者,其临床表现和体征酷似绞窄性右腹股沟疝。急诊手术时发现阴囊内有胆汁。经影像学检查和探查手术,发现一个巨大的腹膜后胆汁瘤。我们讨论了与阴囊胆汁和腹膜后胆汁瘤相关的临床体征,并描述了该患者的手术治疗情况。我们回顾了此前报道的这些罕见临床病例。我们发现,就发病年龄和胆总管远端结石的存在情况而言,我们的病例与之相似。据我们所知,这是唯一一例报告的因胆总管假定自发性破裂继发阴囊胆汁和腹膜后胆汁瘤形成的病例。

https://cdn.ncbi.nlm.nih.gov/pmc/blobs/5a12/1891787/2637bf7493b4/umj7501-085-f1.jpg

文献检索

告别复杂PubMed语法,用中文像聊天一样搜索,搜遍4000万医学文献。AI智能推荐,让科研检索更轻松。

立即免费搜索

文件翻译

保留排版,准确专业,支持PDF/Word/PPT等文件格式,支持 12+语言互译。

免费翻译文档

深度研究

AI帮你快速写综述,25分钟生成高质量综述,智能提取关键信息,辅助科研写作。

立即免费体验