Suppr超能文献

乳腺原发性腺样囊性癌:病例报告及文献复习

Primary adenoid cystic carcinoma of the breast: case report and review of the literature.

作者信息

Muslimani Alaa A, Ahluwalia Manmeet S, Clark Christopher T, Daw Hamed A

机构信息

Department of Internal Medicine, Fairview Hospital, 18101 Lorain Avenue, Cleveland, OH, USA.

出版信息

Int Semin Surg Oncol. 2006 Jun 30;3:17. doi: 10.1186/1477-7800-3-17.

Abstract

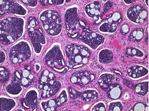
Adenoid cystic carcinoma (ACC) of the breast is a rare neoplasm accounting for 0.1% of all breast carcinomas, and presenting most commonly as a painful breast mass. In contrast to the aggressive nature of ACC at other sites, ACC of the breast has a favorable prognosis, lymph node involvement or distant metastases seldom occur. Treatment is basically of simple mastectomy. Chemotherapy, radiation and hormonal treatment have been infrequently used and evaluated. We report a case of ACC of the breast managed with mastectomy and review the literature.

摘要

乳腺腺样囊性癌(ACC)是一种罕见的肿瘤,占所有乳腺癌的0.1%,最常见的表现是乳房疼痛性肿块。与其他部位ACC的侵袭性不同,乳腺ACC预后良好,很少发生淋巴结受累或远处转移。治疗基本采用单纯乳房切除术。化疗、放疗和激素治疗很少使用和评估。我们报告一例采用乳房切除术治疗的乳腺ACC病例并复习相关文献。

https://cdn.ncbi.nlm.nih.gov/pmc/blobs/6f56/1526742/7552358755b7/1477-7800-3-17-1.jpg

文献AI研究员

20分钟写一篇综述,助力文献阅读效率提升50倍。

立即体验

用中文搜PubMed

大模型驱动的PubMed中文搜索引擎

马上搜索

文档翻译

学术文献翻译模型,支持多种主流文档格式。

立即体验