Suppr超能文献

交叉支配的哺乳动物骨骼肌:组织化学、生理学及生物化学观察

Cross-innervated mammalian skeletal muscle: histochemical, physiological and biochemical observations.

作者信息

Dubowitz V

出版信息

J Physiol. 1967 Dec;193(3):481-496.3. doi: 10.1113/jphysiol.1967.sp008373.

Abstract
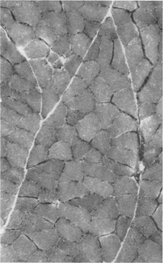
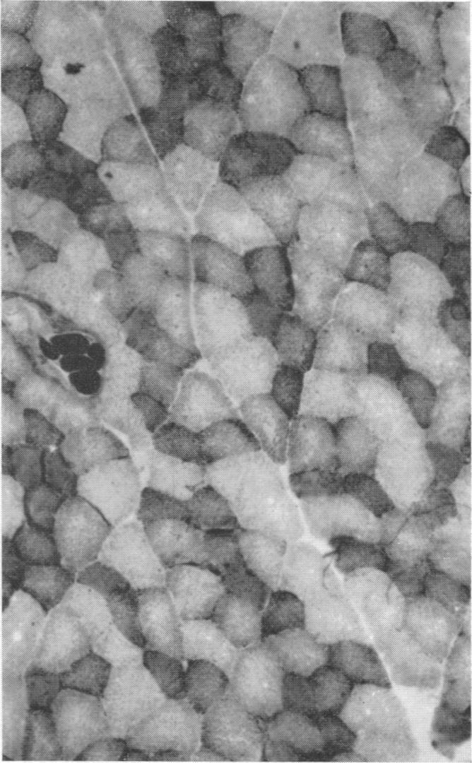
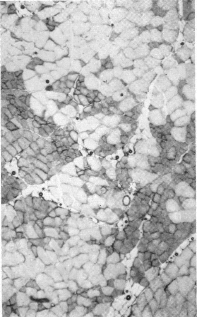
  1. Cross-innervation of the slow soleus and fast flexor hallucis longus or flexor digitorum longus muscles has been performed in new-born kittens and rabbits and in adult cats.2. The effects on the histochemical and structural properties of the muscle have been studied and compared with the changes in the contractile properties.3. Cross-innervation has produced a dramatic change in histochemical pattern in the fast muscles, with the development of areas of muscle fibres indistinguishable from normal soleus muscle. The converse change from the histochemical pattern of slow soleus to that of fast muscle has also occurred, but has been less consistent.4. It is concluded that the neural influence determining the contractile properties of fast and slow muscle also has a profound controlling influence on the structure and metabolic activity of the muscle fibres.5. No significant changes could be demonstrated biochemically in the ATPase activities of the fast and slow muscles following cross-innervation.
摘要
  1. 已在新生小猫、兔子以及成年猫身上进行了慢肌比目鱼肌与快肌拇长屈肌或趾长屈肌的交叉神经支配实验。

  2. 研究了其对肌肉组织化学和结构特性的影响,并与收缩特性的变化进行了比较。

  3. 交叉神经支配使快肌的组织化学模式发生了显著变化,出现了与正常比目鱼肌难以区分的肌纤维区域。从慢比目鱼肌的组织化学模式向快肌模式的相反变化也有发生,但不太一致。

  4. 得出的结论是,决定快肌和慢肌收缩特性的神经影响,对肌纤维的结构和代谢活动也具有深远的控制作用。

  5. 交叉神经支配后,快肌和慢肌的ATP酶活性在生化方面未显示出显著变化。

https://cdn.ncbi.nlm.nih.gov/pmc/blobs/0a1a/1365508/66bd024d9804/jphysiol01114-0018-a.jpg

文献检索

告别复杂PubMed语法,用中文像聊天一样搜索,搜遍4000万医学文献。AI智能推荐,让科研检索更轻松。

立即免费搜索

文件翻译

保留排版,准确专业,支持PDF/Word/PPT等文件格式,支持 12+语言互译。

免费翻译文档

深度研究

AI帮你快速写综述,25分钟生成高质量综述,智能提取关键信息,辅助科研写作。

立即免费体验