Suppr超能文献

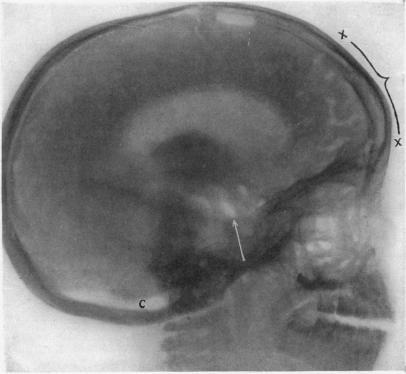
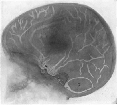
RONTGENOGRAPHY OF THE BRAIN AFTER THE INJECTION OF AIR INTO THE SPINAL CANAL.

作者信息

Dandy W E

出版信息

Ann Surg. 1919 Oct;70(4):397-403. doi: 10.1097/00000658-191910000-00004.

Abstract
摘要
https://cdn.ncbi.nlm.nih.gov/pmc/blobs/e121/1410386/7baf60ab723a/annsurg00743-0017-a.jpg

文献检索

告别复杂PubMed语法,用中文像聊天一样搜索,搜遍4000万医学文献。AI智能推荐,让科研检索更轻松。

立即免费搜索

文件翻译

保留排版,准确专业,支持PDF/Word/PPT等文件格式,支持 12+语言互译。

免费翻译文档

深度研究

AI帮你快速写综述,25分钟生成高质量综述,智能提取关键信息,辅助科研写作。

立即免费体验