• 文献检索
  • 文档翻译
  • 深度研究
  • 学术资讯
  • Suppr Zotero 插件Zotero 插件
  • 邀请有礼
  • 套餐&价格
  • 历史记录
应用&插件
Suppr Zotero 插件Zotero 插件浏览器插件Mac 客户端Windows 客户端微信小程序
定价
高级版会员购买积分包购买API积分包
服务
文献检索文档翻译深度研究API 文档MCP 服务
关于我们
关于 Suppr公司介绍联系我们用户协议隐私条款
关注我们

Suppr 超能文献

核心技术专利:CN118964589B侵权必究
粤ICP备2023148730 号-1Suppr @ 2026

文献检索

告别复杂PubMed语法,用中文像聊天一样搜索,搜遍4000万医学文献。AI智能推荐,让科研检索更轻松。

立即免费搜索

文件翻译

保留排版,准确专业,支持PDF/Word/PPT等文件格式,支持 12+语言互译。

免费翻译文档

深度研究

AI帮你快速写综述,25分钟生成高质量综述,智能提取关键信息,辅助科研写作。

立即免费体验

通过免疫荧光和免疫电子显微镜在体外和体内获得的白色念珠菌C3d受体表达的证据。

Evidence for expression of the C3d receptor of Candida albicans in vitro and in vivo obtained by immunofluorescence and immunoelectron microscopy.

作者信息

Kanbe T, Li R K, Wadsworth E, Calderone R A, Cutler J E

机构信息

Department of Microbiology, Montana State University, Bozeman 59717.

出版信息

Infect Immun. 1991 May;59(5):1832-8. doi: 10.1128/iai.59.5.1832-1838.1991.

DOI:10.1128/iai.59.5.1832-1838.1991
PMID:1826896
原文链接:https://pmc.ncbi.nlm.nih.gov/articles/PMC257923/
Abstract

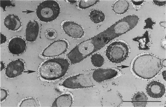
The complement conversion product C3d binds to a receptor on the cell surface of Candida albicans. While the function of this receptor is still uncertain, we investigated whether it is expressed during a murine infection. Rabbit antiserum raised against purified receptor was used in conjunction with immunofluorescence microscopy and immunocolloidal gold electron microscopy to examine kidney tissue and peritoneal lavages from infected mice for receptor expression by C. albicans in vivo. Specificity of the antiserum was indicated by reactivity with purified receptor (55 to 60 kDa) and with a protein of similar molecular mass from whole hyphal extracts in Western blots (immunoblots). In vitro analysis by immunofluorescence microscopy showed that the antiserum reacted with both yeast and pseudohyphal forms of the organism, but reactivity was strongest with pseudohyphae. Immunocolloidal gold electron microscopy of fungal cells from peritoneal lavages revealed intense staining of mother cells of germinative forms, germ tubes, and pseudohyphae. Staining of the mother cells was heaviest at the innermost layers of the cell wall but only scant on the cell surface. In contrast, staining was observed throughout the cell walls of germ tubes and pseudohyphae. In kidney, expression of the C3d receptor was found primarily on the cell walls of hyphae and pseudohyphae, although some staining was observed in the cytoplasm. These data support that the C3d receptor of C. albicans is expressed in vivo.

摘要

补体转化产物C3d与白色念珠菌细胞表面的一种受体结合。虽然该受体的功能仍不确定,但我们研究了它在小鼠感染过程中是否表达。用针对纯化受体产生的兔抗血清结合免疫荧光显微镜和免疫胶体金电子显微镜,检查感染小鼠的肾脏组织和腹腔灌洗液,以检测白色念珠菌在体内的受体表达情况。抗血清的特异性通过与纯化受体(55至60 kDa)以及免疫印迹(蛋白质印迹)中来自全菌丝提取物的相似分子量蛋白质的反应性来表明。免疫荧光显微镜的体外分析表明,抗血清与该生物体的酵母和假菌丝形式均有反应,但与假菌丝的反应性最强。对腹腔灌洗液中的真菌细胞进行免疫胶体金电子显微镜检查发现,发芽形式的母细胞、芽管和假菌丝有强烈染色。母细胞的染色在细胞壁的最内层最重,但在细胞表面仅很少。相比之下,在芽管和假菌丝的整个细胞壁中均观察到染色。在肾脏中,虽然在细胞质中观察到一些染色,但C3d受体的表达主要在菌丝和假菌丝的细胞壁上。这些数据支持白色念珠菌的C3d受体在体内表达。

https://cdn.ncbi.nlm.nih.gov/pmc/blobs/d84d/257923/6ef23e27b090/iai00041-0261-a.jpg
https://cdn.ncbi.nlm.nih.gov/pmc/blobs/d84d/257923/b2aac9c3c4a6/iai00041-0257-a.jpg
https://cdn.ncbi.nlm.nih.gov/pmc/blobs/d84d/257923/ded16fa5c83e/iai00041-0258-a.jpg
https://cdn.ncbi.nlm.nih.gov/pmc/blobs/d84d/257923/7fcc731b8eae/iai00041-0259-a.jpg
https://cdn.ncbi.nlm.nih.gov/pmc/blobs/d84d/257923/0123839bab58/iai00041-0260-a.jpg
https://cdn.ncbi.nlm.nih.gov/pmc/blobs/d84d/257923/6ef23e27b090/iai00041-0261-a.jpg
https://cdn.ncbi.nlm.nih.gov/pmc/blobs/d84d/257923/b2aac9c3c4a6/iai00041-0257-a.jpg
https://cdn.ncbi.nlm.nih.gov/pmc/blobs/d84d/257923/ded16fa5c83e/iai00041-0258-a.jpg
https://cdn.ncbi.nlm.nih.gov/pmc/blobs/d84d/257923/7fcc731b8eae/iai00041-0259-a.jpg
https://cdn.ncbi.nlm.nih.gov/pmc/blobs/d84d/257923/0123839bab58/iai00041-0260-a.jpg
https://cdn.ncbi.nlm.nih.gov/pmc/blobs/d84d/257923/6ef23e27b090/iai00041-0261-a.jpg

相似文献

1
Evidence for expression of the C3d receptor of Candida albicans in vitro and in vivo obtained by immunofluorescence and immunoelectron microscopy.通过免疫荧光和免疫电子显微镜在体外和体内获得的白色念珠菌C3d受体表达的证据。
Infect Immun. 1991 May;59(5):1832-8. doi: 10.1128/iai.59.5.1832-1838.1991.
2
Purification and characterization of the extracellular C3d-binding protein of Candida albicans.白色念珠菌细胞外C3d结合蛋白的纯化与鉴定
Infect Immun. 1990 Feb;58(2):309-14. doi: 10.1128/iai.58.2.309-314.1990.
3
Reduced expression of the functionally active complement receptor for iC3b but not for C3d on an avirulent mutant of Candida albicans.在白色念珠菌无毒力突变体上,iC3b功能活性补体受体的表达降低,但C3d的补体受体表达未降低。
Infect Immun. 1990 Apr;58(4):909-13. doi: 10.1128/iai.58.4.909-913.1990.
4
Expression of the C3d-binding protein (CR2) from Candida albicans during experimental candidiasis as measured by lymphoblastogenesis.通过淋巴细胞生成法测定白色念珠菌实验性念珠菌病期间白色念珠菌C3d结合蛋白(CR2)的表达。
Infect Immun. 1992 Jan;60(1):8-12. doi: 10.1128/iai.60.1.8-12.1992.
5
Identification of C3d receptors on Candida albicans.白色念珠菌上C3d受体的鉴定。
Infect Immun. 1988 Jan;56(1):252-8. doi: 10.1128/iai.56.1.252-258.1988.
6
Candida albicans C3d receptor, isolated by using a monoclonal antibody.白色念珠菌C3d受体,通过使用单克隆抗体分离得到。
Infect Immun. 1988 Aug;56(8):1981-6. doi: 10.1128/iai.56.8.1981-1986.1988.
7
Tissue distribution of the C3d/EBV-receptor: CD21 monoclonal antibodies reactive with a variety of epithelial cells, medullary thymocytes, and peripheral T-cells.C3d/EBV受体:CD21单克隆抗体的组织分布,该抗体可与多种上皮细胞、胸腺髓质细胞及外周T细胞发生反应。
Histochemistry. 1991;95(6):605-11. doi: 10.1007/BF00266748.
8
Isolation of avirulent clones of Candida albicans with reduced ability to recognize the CR2 ligand C3d.分离识别CR2配体C3d能力降低的白色念珠菌无毒克隆。
Infect Immun. 1993 Jun;61(6):2662-9. doi: 10.1128/iai.61.6.2662-2669.1993.
9
Analysis of mannoproteins from blastoconidia and hyphae of Candida albicans with a common epitope recognized by anti-complement receptor type 2 antibodies.白色念珠菌芽生孢子和菌丝体中甘露糖蛋白的分析,该甘露糖蛋白具有被抗2型补体受体抗体识别的共同表位。
Infect Immun. 1993 Nov;61(11):4675-81. doi: 10.1128/iai.61.11.4675-4681.1993.
10
Identification of a 58-kilodalton cell surface fibrinogen-binding mannoprotein from Candida albicans.从白色念珠菌中鉴定出一种58千道尔顿的细胞表面纤维蛋白原结合甘露糖蛋白。
Infect Immun. 1992 Oct;60(10):4221-9. doi: 10.1128/iai.60.10.4221-4229.1992.

引用本文的文献

1
Oral candidiasis.口腔念珠菌病
Postgrad Med J. 2002 Aug;78(922):455-9. doi: 10.1136/pmj.78.922.455.
2
Expression of the complement-binding protein (MP60) of Candida albicans in experimental vaginitis.白色念珠菌补体结合蛋白(MP60)在实验性阴道炎中的表达
Mycopathologia. 1998;144(3):147-52. doi: 10.1023/a:1007017012547.
3
Cell wall and secreted proteins of Candida albicans: identification, function, and expression.白色念珠菌的细胞壁和分泌蛋白:鉴定、功能及表达

本文引用的文献

1
Filament ring formation in the dimorphic yeast Candida albicans.二态性酵母白色念珠菌中的丝状环形成。
J Cell Biol. 1983 Feb;96(2):486-93. doi: 10.1083/jcb.96.2.486.
2
Variability in expression of a cell surface determinant on Candida albicans as evidenced by an agglutinating monoclonal antibody.一种凝集性单克隆抗体所证实的白色念珠菌细胞表面决定簇表达的变异性。
Infect Immun. 1984 Mar;43(3):966-72. doi: 10.1128/iai.43.3.966-972.1984.
3
Periodate-lysine-paraformaldehyde fixative. A new fixation for immunoelectron microscopy.高碘酸盐-赖氨酸-多聚甲醛固定剂。一种用于免疫电子显微镜的新型固定剂。
Microbiol Mol Biol Rev. 1998 Mar;62(1):130-80. doi: 10.1128/MMBR.62.1.130-180.1998.
4
Serologic response to cell wall mannoproteins and proteins of Candida albicans.对白念珠菌细胞壁甘露糖蛋白和蛋白质的血清学反应。
Clin Microbiol Rev. 1998 Jan;11(1):121-41. doi: 10.1128/CMR.11.1.121.
5
History of medical mycology in the united states.美国医学真菌学的历史。
Clin Microbiol Rev. 1996 Apr;9(2):235-72. doi: 10.1128/CMR.9.2.235.
6
Complex interaction between different proteinaceous components within the cell-wall structure of Candida albicans.白色念珠菌细胞壁结构中不同蛋白质成分之间的复杂相互作用。
Mycopathologia. 1995 Nov;132(2):87-93. doi: 10.1007/BF01103780.
7
Isolation of avirulent clones of Candida albicans with reduced ability to recognize the CR2 ligand C3d.分离识别CR2配体C3d能力降低的白色念珠菌无毒克隆。
Infect Immun. 1993 Jun;61(6):2662-9. doi: 10.1128/iai.61.6.2662-2669.1993.
8
Evidence that mannans of Candida albicans are responsible for adherence of yeast forms to spleen and lymph node tissue.白色念珠菌的甘露聚糖是酵母形式黏附于脾脏和淋巴结组织的原因的证据。
Infect Immun. 1993 Jun;61(6):2578-84. doi: 10.1128/iai.61.6.2578-2584.1993.
9
Characterization of Candida albicans cell wall antigens with monoclonal antibodies.用单克隆抗体对白色念珠菌细胞壁抗原进行表征
Infect Immun. 1993 Nov;61(11):4842-7. doi: 10.1128/iai.61.11.4842-4847.1993.
10
Heterogeneous surface distribution of the fibrinogen-binding protein on Candida albicans.白色念珠菌上纤维蛋白原结合蛋白的异质表面分布。
Infect Immun. 1994 Feb;62(2):709-12. doi: 10.1128/iai.62.2.709-712.1994.
J Histochem Cytochem. 1974 Dec;22(12):1077-83. doi: 10.1177/22.12.1077.
4
Antigenic variability of Candida albicans.白色念珠菌的抗原变异性。
Crit Rev Microbiol. 1985;12(3):223-70. doi: 10.3109/10408418509104430.
5
Variability in expression of cell surface antigens of Candida albicans during morphogenesis.白色念珠菌形态发生过程中细胞表面抗原表达的变异性。
Infect Immun. 1986 Jan;51(1):337-43. doi: 10.1128/iai.51.1.337-343.1986.
6
Ultrastructural and biochemical studies of two dynamically expressed cell surface determinants on Candida albicans.白色念珠菌上两个动态表达的细胞表面决定簇的超微结构和生化研究。
Infect Immun. 1986 Jan;51(1):327-36. doi: 10.1128/iai.51.1.327-336.1986.
7
Variable expression of a surface determinant during proliferation of Candida albicans.白色念珠菌增殖过程中一种表面决定簇的可变表达。
Infect Immun. 1988 Feb;56(2):302-9. doi: 10.1128/iai.56.2.302-309.1988.
8
Binding of plasma proteins to Candida species in vitro.血浆蛋白与念珠菌属在体外的结合。
J Gen Microbiol. 1988 Oct;134(10):2693-702. doi: 10.1099/00221287-134-10-2693.
9
Candida albicans C3d receptor, isolated by using a monoclonal antibody.白色念珠菌C3d受体,通过使用单克隆抗体分离得到。
Infect Immun. 1988 Aug;56(8):1981-6. doi: 10.1128/iai.56.8.1981-1986.1988.
10
An iC3b receptor on Candida albicans: structure, function, and correlates for pathogenicity.白色念珠菌上的iC3b受体:结构、功能及与致病性的关联
J Infect Dis. 1988 Jan;157(1):38-46. doi: 10.1093/infdis/157.1.38.