Suppr超能文献

基于病毒感染细胞对中性红摄取增强的人巨细胞病毒空斑减少中和试验。

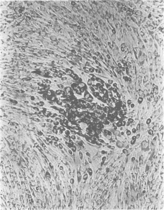
Plaque reduction neutralization test for human cytomegalovirus based upon enhanced uptake of neutral red by virus-infected cells.

作者信息

Schmidt N J, Dennis J, Lennette E H

出版信息

J Clin Microbiol. 1976 Jul;4(1):61-6. doi: 10.1128/jcm.4.1.61-66.1976.

Abstract

Foci of cells infected with human cytomegalovirus were noted to stain more intensely than uninfected cells with neutral red, and this provided the basis for development of a plaque assay and plaque reduction neutralization test for cytomegalovirus. Plaques demonstrable by neutral red staining could be counted at 8 days after infection; thus, results could be obtained earlier than for plaque assay systems based upon the viral cytopathic effect, a fewer manipulations were required for staining cell monolayers to demonstrate plaques. Certain variables affecting plaque size and numbers and antibody titers were defined. Addition of fresh guinea pig complement to the reaction mixtures markedly enhanced cytomegalovirus-neutralizing antibody titers of hyperimmune animal sera, but titers of human sera were enhanced only two-or fourfold.

摘要

有人指出,感染人巨细胞病毒的细胞灶用中性红染色时比未感染的细胞染色更深,这为巨细胞病毒蚀斑测定法和蚀斑减少中和试验的开发奠定了基础。感染8天后即可计数通过中性红染色显示的蚀斑;因此,与基于病毒细胞病变效应的蚀斑测定系统相比,可更早获得结果,而且染色细胞单层以显示蚀斑所需的操作更少。确定了某些影响蚀斑大小、数量和抗体效价的变量。向反应混合物中添加新鲜豚鼠补体可显著提高超免疫动物血清的巨细胞病毒中和抗体效价,但人血清的效价仅提高2倍或4倍。

https://cdn.ncbi.nlm.nih.gov/pmc/blobs/2fd3/274391/6a46298d92f7/jcm00216-0083-a.jpg

文献检索

告别复杂PubMed语法,用中文像聊天一样搜索,搜遍4000万医学文献。AI智能推荐,让科研检索更轻松。

立即免费搜索

文件翻译

保留排版,准确专业,支持PDF/Word/PPT等文件格式,支持 12+语言互译。

免费翻译文档

深度研究

AI帮你快速写综述,25分钟生成高质量综述,智能提取关键信息,辅助科研写作。

立即免费体验