Singh Vivek P, Le Bao, Khode Renu, Baker Kenneth M, Kumar Rajesh
Division of Molecular Cardiology, Department of Medicine, Texas A&M Health Science Center, College of Medicine, Scott & White, Central Texas Veterans Health Care System, Temple, TX, USA.
Diabetes. 2008 Dec;57(12):3297-306. doi: 10.2337/db08-0805. Epub 2008 Oct 1.
Many of the effects of angiotensin (Ang) II are mediated through specific plasma membrane receptors. However, Ang II also elicits biological effects from the interior of the cell (intracrine), some of which are not inhibited by Ang receptor blockers (ARBs). Recent in vitro studies have identified high glucose as a potent stimulus for the intracellular synthesis of Ang II, the production of which is mainly chymase dependent. In the present study, we determined whether hyperglycemia activates the cardiac intracellular renin-Ang system (RAS) in vivo and whether ARBs, ACE, or renin inhibitors block synthesis and effects of intracellular Ang II (iAng II).
Diabetes was induced in adult male rats by streptozotocin. Diabetic rats were treated with insulin, candesartan (ARB), benazepril (ACE inhibitor), or aliskiren (renin inhibitor).
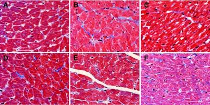
One week of diabetes significantly increased iAng II levels in cardiac myocytes, which were not normalized by candesartan, suggesting that Ang II was synthesized intracellularly, not internalized through AT(1) receptor. Increased intracellular levels of Ang II, angiotensinogen, and renin were observed by confocal microscopy. iAng II synthesis was blocked by aliskiren but not by benazepril. Diabetes-induced superoxide production and cardiac fibrosis were partially inhibited by candesartan and benazepril, whereas aliskiren produced complete inhibition. Myocyte apoptosis was partially inhibited by all three agents.
Diabetes activates the cardiac intracellular RAS, which increases oxidative stress and cardiac fibrosis. Renin inhibition has a more pronounced effect than ARBs and ACE inhibitors on these diabetes complications and may be clinically more efficacious.
血管紧张素(Ang)II的许多作用是通过特定的质膜受体介导的。然而,Ang II也能从细胞内部引发生物学效应(自分泌),其中一些效应不受血管紧张素受体阻滞剂(ARB)的抑制。最近的体外研究已确定高血糖是细胞内合成Ang II的有效刺激因素,其产生主要依赖于糜酶。在本研究中,我们确定高血糖是否在体内激活心脏细胞内肾素-血管紧张素系统(RAS),以及ARB、ACE或肾素抑制剂是否能阻断细胞内Ang II(iAng II)的合成及其效应。
用链脲佐菌素诱导成年雄性大鼠患糖尿病。给糖尿病大鼠注射胰岛素、坎地沙坦(ARB)、贝那普利(ACE抑制剂)或阿利吉仑(肾素抑制剂)进行治疗。
糖尿病一周后,心肌细胞中的iAng II水平显著升高,坎地沙坦未能使其恢复正常,这表明Ang II是在细胞内合成的,而非通过AT(1)受体内化。通过共聚焦显微镜观察到细胞内Ang II、血管紧张素原和肾素水平升高。阿利吉仑可阻断iAng II的合成,而贝那普利则不能。坎地沙坦和贝那普利可部分抑制糖尿病诱导的超氧化物生成和心脏纤维化,而阿利吉仑则可完全抑制。这三种药物均可部分抑制心肌细胞凋亡。
糖尿病激活心脏细胞内RAS,增加氧化应激和心脏纤维化。在这些糖尿病并发症方面,肾素抑制比ARB和ACE抑制剂具有更显著的作用,可能在临床上更有效。