Suppr超能文献

一名感染人类免疫缺陷病毒的女性患肺卡波西肉瘤:病例报告。

Pulmonary Kaposi sarcoma in a human immunodeficiency virus - infected woman: a case report.

作者信息

Cabral Rafael Ferracini, Marchiori Edson, Takayasu Tatiana Chinem, Cabral Fernanda Caseira, Batista Raquel Ribeiro, Zanetti Gláucia

机构信息

Department of Radiology, Faculty of Medicine, Federal University of Rio de Janeiro, Rio de Janeiro, Brazil.

出版信息

Cases J. 2009 Jan 2;2(1):5. doi: 10.1186/1757-1626-2-5.

Abstract

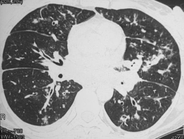
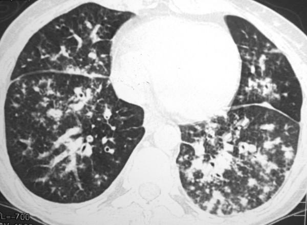
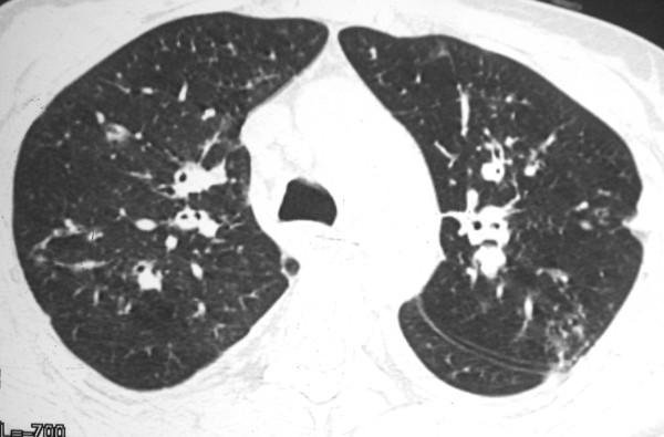
Approximately 90% to 95% of Kaposi sarcoma cases occur in human immunodeficiency virus - infected homosexual and bisexual men. Pulmonary Kaposi sarcoma is uncommon in women, and rarely considered as a potential cause of diffuse lung disease in women with acquired immunodeficiency syndrome. The disease is usually mistaken clinically for pulmonary infection. A 32-year-old woman was admitted with a 2-month history of dyspnea, evening fever, hemoptysis, weight loss, and generalized adenomegaly. Physical examination showed erythematous macules in the lower limbs. Skin and open lung biopsy demonstrated Kaposi sarcoma. Computerized tomography demonstrated peribronchovascular interstitial thickening. Although uncommon, pulmonary Kaposi sarcoma should be considered in the differential diagnosis of diffuse lung disease in women with AIDS.

摘要

约90%至95%的卡波西肉瘤病例发生于感染人类免疫缺陷病毒的同性恋和双性恋男性。肺卡波西肉瘤在女性中并不常见,在获得性免疫缺陷综合征女性患者中很少被视为弥漫性肺病的潜在病因。临床上该病通常被误诊为肺部感染。一名32岁女性因2个月的呼吸困难、午后发热、咯血、体重减轻及全身淋巴结肿大入院。体格检查发现下肢有红斑。皮肤及开放性肺活检显示为卡波西肉瘤。计算机断层扫描显示支气管血管周围间质增厚。尽管罕见,但在艾滋病女性患者弥漫性肺病的鉴别诊断中应考虑肺卡波西肉瘤。

https://cdn.ncbi.nlm.nih.gov/pmc/blobs/2780/2627819/a3d76c35cdc7/1757-1626-2-5-1.jpg

文献AI研究员

20分钟写一篇综述,助力文献阅读效率提升50倍。

立即体验

用中文搜PubMed

大模型驱动的PubMed中文搜索引擎

马上搜索

文档翻译

学术文献翻译模型,支持多种主流文档格式。

立即体验