Lee Sang Min, Park Jae-Jung, Sung Sun Hee, Kim Yookyung, Lee Kyoung Eun, Mun Yeung-Chul, Lee Soon Nam, Seong Chu Myong
Department of Internal Medicine, Inje University College of Medicine, Busan, Korea.
Korean J Intern Med. 2009 Jun;24(2):156-9. doi: 10.3904/kjim.2009.24.2.156. Epub 2009 Jun 8.
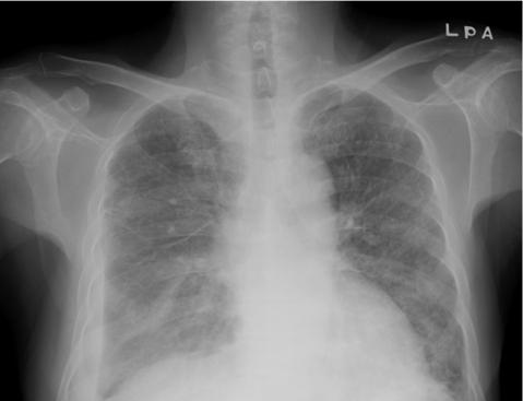
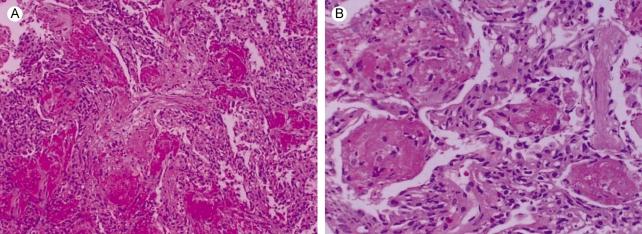
A 60-year-old man presented with cough, sputum, and dyspnea. He had a history of acute myeloid leukemia and hematopoietic stem cell transplantation with chronic renal failure. Chest CT scans showed miliary nodules and patchy consolidations. Histological examination revealed numerous fibrin balls within the alveoli and thickening of the alveolar septum, both of which are typical pathological features of acute fibrinous and organizing pneumonia (AFOP). We report the first case of AFOP following allogeneic hematopoietic stem cell transplantation.
一名60岁男性出现咳嗽、咳痰和呼吸困难症状。他有急性髓系白血病病史,并接受过造血干细胞移植,伴有慢性肾衰竭。胸部CT扫描显示粟粒样结节和斑片状实变。组织学检查发现肺泡内有大量纤维蛋白球以及肺泡间隔增厚,这两者均为急性纤维蛋白性机化性肺炎(AFOP)的典型病理特征。我们报告了首例异基因造血干细胞移植后发生AFOP的病例。