Suppr超能文献

使用禽源细小病毒分离株诱导金刚鹦鹉发生前胃扩张症。

Use of avian bornavirus isolates to induce proventricular dilatation disease in conures.

机构信息

Texas A&M University, College Station, Texas 77843-4467, USA.

出版信息

Emerg Infect Dis. 2010 Mar;16(3):473-9. doi: 10.3201/eid1603.091257.

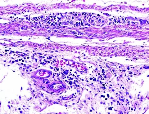
Abstract

Avian bornavirus (ABV) is a newly discovered member of the family Bornaviridae that has been associated with the development of a lethal neurologic syndrome in birds, termed proventricular dilatation disease (PDD). We successfully isolated and characterized ABV from the brains of 8 birds with confirmed PDD. One isolate was passed 6 times in duck embryo fibroblasts, and the infected cells were then injected intramuscularly into 2 healthy Patagonian conures (Cyanoliseus patagonis). Clinical PDD developed in both birds by 66 days postinfection. PDD was confirmed by necropsy and histopathologic examination. Reverse transcription-PCR showed that the inoculated ABV was in the brains of the 2 infected birds. A control bird that received uninfected tissue culture cells remained healthy until it was euthanized at 77 days. Necropsy and histopathologic examinations showed no abnormalities; PCR did not indicate ABV in its brain tissues.

摘要

禽源博尔纳病毒(ABV)是刚发现的博尔纳病毒科的一个新成员,与鸟类致命性神经系统疾病——又称前胃扩张病(PDD)的发生有关。我们从 8 只确诊患有 PDD 的病鸟脑中成功分离并鉴定出 ABV。其中一个分离株在鸭胚成纤维细胞中传代 6 次,然后将感染的细胞肌肉内注射到 2 只健康的巴塔戈尼亚鹦鹉(Cyanoliseus patagonis)中。感染后第 66 天,2 只鸟均出现临床 PDD。剖检和组织病理学检查证实了 PDD。反转录-PCR 显示接种的 ABV 存在于 2 只感染鸟的大脑中。接种未感染的组织培养细胞的对照鸟直到 77 天被安乐死时仍保持健康。剖检和组织病理学检查未显示任何异常;PCR 也未在其脑组织中检测到 ABV。

https://cdn.ncbi.nlm.nih.gov/pmc/blobs/c05d/3322028/f85bc2b1247b/09-1257-F1.jpg

文献检索

告别复杂PubMed语法,用中文像聊天一样搜索,搜遍4000万医学文献。AI智能推荐,让科研检索更轻松。

立即免费搜索

文件翻译

保留排版,准确专业,支持PDF/Word/PPT等文件格式,支持 12+语言互译。

免费翻译文档

深度研究

AI帮你快速写综述,25分钟生成高质量综述,智能提取关键信息,辅助科研写作。

立即免费体验