Suppr超能文献

核 S100A7 与头颈部癌症的预后不良相关。

Nuclear S100A7 is associated with poor prognosis in head and neck cancer.

机构信息

Department of Biochemistry, All India Institute of Medical Sciences, New Delhi, India.

出版信息

PLoS One. 2010 Aug 3;5(8):e11939. doi: 10.1371/journal.pone.0011939.

Abstract

BACKGROUND

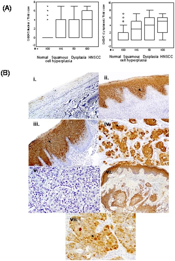
Tissue proteomic analysis of head and neck squamous cell carcinoma (HNSCC) and normal oral mucosa using iTRAQ (isobaric tag for relative and absolute quantitation) labeling and liquid chromatography-mass spectrometry, led to the identification of a panel of biomarkers including S100A7. In the multi-step process of head and neck tumorigenesis, the presence of dysplastic areas in the epithelium is proposed to be associated with a likely progression to cancer; however there are no established biomarkers to predict their potential of malignant transformation. This study aimed to determine the clinical significance of S100A7 overexpression in HNSCC.

METHODOLOGY

Immunohistochemical analysis of S100A7 expression in HNSCC (100 cases), oral lesions (166 cases) and 100 histologically normal tissues was carried out and correlated with clinicopathological parameters and disease prognosis over 7 years for HNSCC patients. Overexpression of S100A7 protein was significant in oral lesions (squamous cell hyperplasia/dysplasia) and sustained in HNSCC in comparison with oral normal mucosa (p(trend)<0.001). Significant increase in nuclear S100A7 was observed in HNSCC as compared to dysplastic lesions (p = 0.005) and associated with well differentiated squamous cell carcinoma (p = 0.031). Notably, nuclear accumulation of S100A7 also emerged as an independent predictor of reduced disease free survival (p = 0.006, Hazard ratio (HR = 7.6), 95% CI = 1.3-5.1) in multivariate analysis underscoring its relevance as a poor prognosticator of HNSCC patients.

CONCLUSIONS

Our study demonstrated nuclear accumulation of S100A7 may serve as predictor of poor prognosis in HNSCC patients. Further, increased nuclear accumulation of S100A7 in HNSCC as compared to dysplastic lesions warrants a large-scale longitudinal study of patients with dysplasia to evaluate its potential as a determinant of increased risk of transformation of oral premalignant lesions.

摘要

背景

采用 iTRAQ(相对和绝对定量的同位素标记)标记和液相色谱-质谱联用技术对头颈鳞状细胞癌(HNSCC)和正常口腔黏膜进行组织蛋白质组学分析,鉴定出包括 S100A7 在内的一组生物标志物。在头颈肿瘤发生的多步过程中,上皮异型增生区域的存在被认为与癌症进展相关;然而,目前尚无确定的生物标志物来预测其恶变潜能。本研究旨在确定 S100A7 在 HNSCC 中的过度表达的临床意义。

方法

对 100 例 HNSCC、166 例口腔病变和 100 例组织学正常的 S100A7 表达进行免疫组织化学分析,并与 HNSCC 患者 7 年的临床病理参数和疾病预后相关。与口腔正常黏膜相比,S100A7 蛋白在口腔病变(鳞状细胞增生/异型增生)和 HNSCC 中过度表达(趋势检验 p<0.001)。与异型增生病变相比,在 HNSCC 中观察到核 S100A7 显著增加(p=0.005),并与分化良好的鳞状细胞癌相关(p=0.031)。值得注意的是,核 S100A7 的积累也成为无病生存时间降低的独立预测因素(p=0.006,风险比(HR)=7.6,95%CI=1.3-5.1),这在多变量分析中强调了其作为 HNSCC 患者不良预后预测因子的相关性。

结论

本研究表明,S100A7 的核积累可能是 HNSCC 患者预后不良的预测因子。此外,与异型增生病变相比,HNSCC 中 S100A7 的核积累增加表明需要对异型增生患者进行大规模的纵向研究,以评估其作为口腔癌前病变恶变风险增加的决定因素的潜力。

https://cdn.ncbi.nlm.nih.gov/pmc/blobs/3465/2914786/43def7d0eda7/pone.0011939.g001.jpg

文献AI研究员

20分钟写一篇综述,助力文献阅读效率提升50倍。

立即体验

用中文搜PubMed

大模型驱动的PubMed中文搜索引擎

马上搜索

文档翻译

学术文献翻译模型,支持多种主流文档格式。

立即体验