Suppr超能文献

伴有双侧同时性对侧肾上腺转移的肾细胞癌

Renal cell carcinoma with double synchronous contralateral adrenal metastases.

作者信息

Ishida Masanori, Kojima Kaoru, Ohtomo Kuni

机构信息

Department of Radiology, University of Tokyo Hospital, Tokyo, Japan.

出版信息

Korean J Urol. 2010 Dec;51(12):879-81. doi: 10.4111/kju.2010.51.12.879. Epub 2010 Dec 21.

Abstract

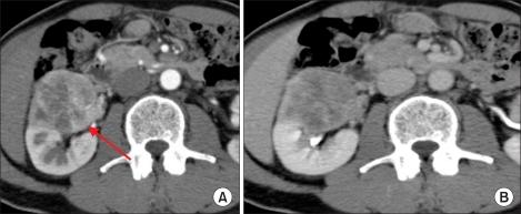
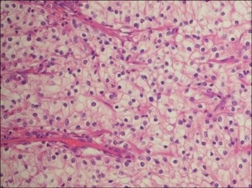
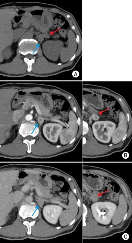
A 63-year-old male patient visited our hospital with a right incidental renal tumor, which was found by ultrasonography for the follow-up study of chronic hepatitis B virus infection and diabetes mellitus. Consecutive computed tomography revealed a right renal tumor and two left adrenal tumors. Further systemic imaging study and hormonal examination suggested one right renal cell carcinoma and left adrenal metastases. We performed right nephrectomy and left adrenalectomy. The pathological diagnoses of all resected tumors were renal cell carcinoma. The patient has been in good health without any recurrence for 12 months since the operation. In patients with renal cell carcinoma, contralateral adrenal metastasis is usually associated with multiple metastases to other organs. There are a few cases of solitary and synchronous contralateral adrenal metastasis in the English literature. To our knowledge, this is the first report of a case of renal cell carcinoma with double synchronous contralateral adrenal metastases.

摘要

一名63岁男性患者因右肾偶然发现的肿瘤前来我院就诊,该肿瘤是在对慢性乙型肝炎病毒感染和糖尿病进行超声随访检查时发现的。连续的计算机断层扫描显示右肾有一个肿瘤以及两个左肾上腺肿瘤。进一步的全身影像学检查和激素检查提示为右肾细胞癌伴左肾上腺转移。我们实施了右肾切除术和左肾上腺切除术。所有切除肿瘤的病理诊断均为肾细胞癌。自手术以来,患者已健康存活12个月,无任何复发迹象。在肾细胞癌患者中,对侧肾上腺转移通常与其他器官的多发转移相关。英文文献中仅有少数孤立性和同步性对侧肾上腺转移的病例报道。据我们所知,这是首例双发性同步对侧肾上腺转移肾细胞癌病例的报告。

https://cdn.ncbi.nlm.nih.gov/pmc/blobs/5db1/3016436/390acd23c1a8/kju-51-879-g001.jpg

文献AI研究员

20分钟写一篇综述,助力文献阅读效率提升50倍。

立即体验

用中文搜PubMed

大模型驱动的PubMed中文搜索引擎

马上搜索

文档翻译

学术文献翻译模型,支持多种主流文档格式。

立即体验