• 文献检索
  • 文档翻译
  • 深度研究
  • 学术资讯
  • Suppr Zotero 插件Zotero 插件
  • 邀请有礼
  • 套餐&价格
  • 历史记录
应用&插件
Suppr Zotero 插件Zotero 插件浏览器插件Mac 客户端Windows 客户端微信小程序
定价
高级版会员购买积分包购买API积分包
服务
文献检索文档翻译深度研究API 文档MCP 服务
关于我们
关于 Suppr公司介绍联系我们用户协议隐私条款
关注我们

Suppr 超能文献

核心技术专利:CN118964589B侵权必究
粤ICP备2023148730 号-1Suppr @ 2026

文献检索

告别复杂PubMed语法,用中文像聊天一样搜索,搜遍4000万医学文献。AI智能推荐,让科研检索更轻松。

立即免费搜索

文件翻译

保留排版,准确专业,支持PDF/Word/PPT等文件格式,支持 12+语言互译。

免费翻译文档

深度研究

AI帮你快速写综述,25分钟生成高质量综述,智能提取关键信息,辅助科研写作。

立即免费体验

胰腺囊性肿瘤。67例患者的新临床、放射学及病理学观察

Cystic tumors of the pancreas. New clinical, radiologic, and pathologic observations in 67 patients.

作者信息

Warshaw A L, Compton C C, Lewandrowski K, Cardenosa G, Mueller P R

机构信息

Surgical Services, Massachusetts General Hospital, Boston 02114.

出版信息

Ann Surg. 1990 Oct;212(4):432-43; discussion 444-5. doi: 10.1097/00000658-199010000-00006.

DOI:10.1097/00000658-199010000-00006
PMID:2171441
原文链接:https://pmc.ncbi.nlm.nih.gov/articles/PMC1358274/
Abstract

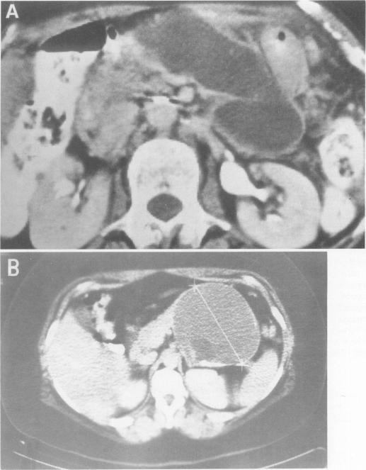
Within a 12-year period we treated 67 patients (49 women, 18 men; mean age, 61 years) with cystic neoplasms of the pancreas, including 18 serous cystic adenomas, 15 benign mucinous cystic neoplasms, 27 mucinous cystadenocarcinomas, 3 papillary cystic tumors, 2 cystic islet cell tumors, and 2 cases of mucinous ductal ectasia. Mean tumor size was 6 cm (2 to 16 cm). In 39% the patients had no symptoms, and in 37% the lesions had been misdiagnosed as a pseudocyst. Computed tomography was useful for detection, for distinguishing the microcystic subgroup of serous cystadenoma, and for showing rim calcification (all 7 cases were malignant) but was not reliable for distinguishing neoplasm from pseudocyst, serous from mucinous tumors, or benign from malignant. Arteriography showed hypervascularity in 4 of 10 serous adenomas, 3 of 11 mucinous carcinomas, and 1 of 1 papillary cystic tumors. Endoscopic pancreatography showed no communication with the cyst cavity in 37 of 37 cases of cystic neoplasms but opacified the ectatic ducts in 2 of 2 cases of mucinous ductal ectasia. Stenosis or obstruction of the pancreatic duct indicated cancer. The tumor was resected by distal pancreatectomy in 25 patients, by proximal resection in 29, and by total pancreatectomy in one, with no operative deaths. Forty-four per cent of the tumors were malignant. In 10 cases the tumor was unresectable because of local extension or distant metastases, and those patients died at a mean of 4 months. Seventy-five per cent of those resected for cure are alive without evident recurrence. Because the epithelial lining of the tumor was partially (5% to 98%) absent in 40% to 72% of cases of the major tumor types, and the mucinous component comprised only about 65% of mucinous cystadenoma lining, misdiagnoses on frozen and even permanent sections were made. Mitoses and histologic solid growth correlated with malignancy. Neuroendocrine elements were seen in 87% of benign and 47% of malignant mucinous tumors. It is recommended that the terms macrocystic and microcystic be abandoned in favor of the histologic designations serous and mucinous. Incomplete examination of the cyst wall can be misleading, however. It is suggested that mucinous ductal ectasia be recognized separately from cystic tumors and that all of these lesions be resected, with the possible exception of asymptomatic confirmed serous cystadenomas.

摘要

在12年期间,我们治疗了67例胰腺囊性肿瘤患者(49例女性,18例男性;平均年龄61岁),其中包括18例浆液性囊腺瘤、15例良性黏液性囊性肿瘤、27例黏液性囊腺癌、3例乳头状囊性肿瘤、2例囊性胰岛细胞瘤以及2例黏液性导管扩张症。肿瘤平均大小为6 cm(2至16 cm)。39%的患者无症状,37%的病变曾被误诊为假性囊肿。计算机断层扫描(CT)有助于检测、区分浆液性囊腺瘤的微囊性亚组以及显示边缘钙化(所有7例均为恶性),但在区分肿瘤与假性囊肿、浆液性肿瘤与黏液性肿瘤或良性与恶性方面并不可靠。动脉造影显示,10例浆液性腺瘤中有4例、11例黏液性癌中有3例以及1例乳头状囊性肿瘤中有1例表现为血管增多。内镜胰胆管造影显示(37例囊性肿瘤中的)37例囊肿腔与胰管不相通,但(2例黏液性导管扩张症中的)2例扩张导管显影。胰管狭窄或阻塞提示癌症。25例患者行胰体尾切除术,29例行胰头切除术,1例行全胰切除术,无手术死亡病例。44%的肿瘤为恶性。10例患者因局部侵犯或远处转移无法切除肿瘤,这些患者平均4个月后死亡。75%接受根治性切除的患者存活且无明显复发。由于在主要肿瘤类型的40%至72%病例中肿瘤上皮衬里部分(5%至98%)缺失,且黏液性成分仅占黏液性囊腺瘤衬里的约65%,因此在冷冻切片甚至永久切片上都出现了误诊。有丝分裂和组织学实性生长与恶性相关。在87%的良性和47%的恶性黏液性肿瘤中可见神经内分泌成分。建议摒弃“大囊性”和“微囊性”术语,而采用组织学名称“浆液性”和“黏液性”。然而,对囊肿壁检查不完整可能会产生误导。建议将黏液性导管扩张症与囊性肿瘤分开识别,并且除无症状的确诊浆液性囊腺瘤外,所有这些病变均应切除。

https://cdn.ncbi.nlm.nih.gov/pmc/blobs/b21b/1358274/cae06327b57c/annsurg00164-0073-a.jpg
https://cdn.ncbi.nlm.nih.gov/pmc/blobs/b21b/1358274/aa716d68feb9/annsurg00164-0066-a.jpg
https://cdn.ncbi.nlm.nih.gov/pmc/blobs/b21b/1358274/c851ef8c5e31/annsurg00164-0067-a.jpg
https://cdn.ncbi.nlm.nih.gov/pmc/blobs/b21b/1358274/7e7804df6ed9/annsurg00164-0068-a.jpg
https://cdn.ncbi.nlm.nih.gov/pmc/blobs/b21b/1358274/2d90cb7b5cfd/annsurg00164-0069-a.jpg
https://cdn.ncbi.nlm.nih.gov/pmc/blobs/b21b/1358274/cf3f88543b60/annsurg00164-0070-a.jpg
https://cdn.ncbi.nlm.nih.gov/pmc/blobs/b21b/1358274/5af9cc4ae879/annsurg00164-0071-a.jpg
https://cdn.ncbi.nlm.nih.gov/pmc/blobs/b21b/1358274/57cf0dc14ac2/annsurg00164-0072-a.jpg
https://cdn.ncbi.nlm.nih.gov/pmc/blobs/b21b/1358274/ab7ccba22e5f/annsurg00164-0072-b.jpg
https://cdn.ncbi.nlm.nih.gov/pmc/blobs/b21b/1358274/cae06327b57c/annsurg00164-0073-a.jpg
https://cdn.ncbi.nlm.nih.gov/pmc/blobs/b21b/1358274/aa716d68feb9/annsurg00164-0066-a.jpg
https://cdn.ncbi.nlm.nih.gov/pmc/blobs/b21b/1358274/c851ef8c5e31/annsurg00164-0067-a.jpg
https://cdn.ncbi.nlm.nih.gov/pmc/blobs/b21b/1358274/7e7804df6ed9/annsurg00164-0068-a.jpg
https://cdn.ncbi.nlm.nih.gov/pmc/blobs/b21b/1358274/2d90cb7b5cfd/annsurg00164-0069-a.jpg
https://cdn.ncbi.nlm.nih.gov/pmc/blobs/b21b/1358274/cf3f88543b60/annsurg00164-0070-a.jpg
https://cdn.ncbi.nlm.nih.gov/pmc/blobs/b21b/1358274/5af9cc4ae879/annsurg00164-0071-a.jpg
https://cdn.ncbi.nlm.nih.gov/pmc/blobs/b21b/1358274/57cf0dc14ac2/annsurg00164-0072-a.jpg
https://cdn.ncbi.nlm.nih.gov/pmc/blobs/b21b/1358274/ab7ccba22e5f/annsurg00164-0072-b.jpg
https://cdn.ncbi.nlm.nih.gov/pmc/blobs/b21b/1358274/cae06327b57c/annsurg00164-0073-a.jpg

相似文献

1
Cystic tumors of the pancreas. New clinical, radiologic, and pathologic observations in 67 patients.胰腺囊性肿瘤。67例患者的新临床、放射学及病理学观察
Ann Surg. 1990 Oct;212(4):432-43; discussion 444-5. doi: 10.1097/00000658-199010000-00006.
2
[Cystic pancreatic tumors].[胰腺囊性肿瘤]
Langenbecks Arch Chir. 1993;378(5):281-7. doi: 10.1007/BF00183965.
3
Cystadenomas and cystadenocarcinomas of the pancreas: a multiinstitutional retrospective study of 398 cases. French Surgical Association.胰腺囊腺瘤与囊腺癌:一项对398例病例的多机构回顾性研究。法国外科学会
Ann Surg. 1999 Aug;230(2):152-61. doi: 10.1097/00000658-199908000-00004.
4
Presentation and management of cystic neoplasms of the pancreas.胰腺囊性肿瘤的临床表现与管理
J Gastrointest Surg. 1998 Nov-Dec;2(6):504-8. doi: 10.1016/s1091-255x(98)80049-8.
5
[Cystic tumors of the pancreas].[胰腺囊性肿瘤]
Rev Gastroenterol Mex. 1997 Jul-Sep;62(3):218-26.
6
Cyst fluid analysis in the differential diagnosis of pancreatic cysts. A comparison of pseudocysts, serous cystadenomas, mucinous cystic neoplasms, and mucinous cystadenocarcinoma.胰腺囊肿鉴别诊断中的囊液分析。假性囊肿、浆液性囊腺瘤、黏液性囊性肿瘤及黏液性囊腺癌的比较。
Ann Surg. 1993 Jan;217(1):41-7. doi: 10.1097/00000658-199301000-00008.
7
[Mucinous cystadenomas and cystadenocarcinomas of the pancreas--the pancreaticoscopy as a new device for endoscopic and histological diagnosis].[胰腺黏液性囊腺瘤和囊腺癌——胰镜作为内镜及组织学诊断的新设备]
Z Gastroenterol. 1994 Mar;32(3):165-9.
8
[Cystic tumors of the pancreas].[胰腺囊性肿瘤]
Chirurg. 1996 Jul;67(7):719-24.
9
Pancreatic serous oligocystic adenomas: clinicopathologic features and a comparison with serous microcystic adenomas and mucinous cystic neoplasms.胰腺浆液性寡囊性腺瘤:临床病理特征及与浆液性微囊性腺瘤和黏液性囊性肿瘤的比较
World J Surg. 2006 Aug;30(8):1553-9. doi: 10.1007/s00268-005-0749-7.
10
Mucinous cystadenoma of the pancreas associated with acute pancreatitis and concurrent pancreatic pseudocyst.胰腺黏液性囊腺瘤伴急性胰腺炎及并发胰腺假性囊肿
Am Surg. 2005 Apr;71(4):292-7.

引用本文的文献

1
A 39 year-old woman with a mucinous cystadenocarcinoma of pancreas in the left upper abdomen and right lung: A case report.一名39岁女性,左上腹及右肺患有胰腺黏液性囊腺癌:病例报告。
Int J Surg Case Rep. 2025 Sep;134:111813. doi: 10.1016/j.ijscr.2025.111813. Epub 2025 Aug 15.
2
Giant hemorrhagic pancreatic pseudocyst with suspected cystic pancreatic tumor: a case report.巨大出血性胰腺假性囊肿合并疑似胰腺囊性肿瘤:一例报告
J Surg Case Rep. 2024 Jun 3;2024(6):rjae393. doi: 10.1093/jscr/rjae393. eCollection 2024 Jun.
3
Solid Pseudopapillary Neoplasm - Case Series and Review of Literature.

本文引用的文献

1
CYSTADENOMA AND CYSTADENOCARCINOMA OF THE PANCREAS.胰腺囊腺瘤与囊腺癌
Ann Surg. 1965 Jun;161(6):845-63. doi: 10.1097/00000658-196506000-00005.
2
Angiography in cystadenoma and cystadenocarcinoma of the pancreas.胰腺囊腺瘤与囊腺癌的血管造影检查
Acta Radiol Diagn (Stockh). 1980;21(2A):189-95. doi: 10.1177/028418518002102a08.
3
Cystadenocarcinoma of the pancreas.胰腺囊腺癌
实性假乳头状肿瘤——病例系列及文献综述
Indian J Surg Oncol. 2022 Dec;13(4):765-775. doi: 10.1007/s13193-022-01560-4. Epub 2022 Jun 4.
4
MR quantitative 3D shape analysis helps to distinguish mucinous cystic neoplasm from serous oligocystic adenoma.磁共振定量 3D 形态分析有助于鉴别黏液性囊腺瘤和浆液性微囊性腺瘤。
Diagn Interv Radiol. 2022 May;28(3):193-199. doi: 10.5152/dir.2022.20738.
5
SEROUS CYSTADENOMA OF PANCREAS: WHY THERE IS LOW ACCURACY IN IMAGING EXAMS?胰腺浆液性囊腺瘤:影像学检查为何准确性低?
Arq Bras Cir Dig. 2022 Jan 31;34(4):e1640. doi: 10.1590/0102-672020210002e1640. eCollection 2022.
6
The rare case of a cystic pancreatic neuroendocrine tumor.一例罕见的胰腺囊性神经内分泌肿瘤病例。
Autops Case Rep. 2020 Jun 5;10(3):e2020171. doi: 10.4322/acr.2020.171.
7
Differentiating benign from malignant pancreatic cysts on computed tomography.在计算机断层扫描上鉴别胰腺良性囊肿与恶性囊肿
Eur J Radiol Open. 2020 Nov 1;7:100278. doi: 10.1016/j.ejro.2020.100278. eCollection 2020.
8
Surveillance and management for serous cystic neoplasms of the pancreas based on total hazards-a multi-center retrospective study from China.基于总风险的胰腺浆液性囊性肿瘤的监测与管理——一项来自中国的多中心回顾性研究
Ann Transl Med. 2019 Dec;7(24):807. doi: 10.21037/atm.2019.12.70.
9
Preoperative contrast-enhanced computed tomographic characterisation of pancreatic cystic lesions: A prospective study.胰腺囊性病变的术前对比增强计算机断层扫描特征:一项前瞻性研究。
SA J Radiol. 2019 Jun 10;23(1):1727. doi: 10.4102/sajr.v23i1.1727. eCollection 2019.
10
Mucinous cystadenoma of pancreas with honeycombing appearance: Radiological-Pathological correlation.具有蜂窝状表现的胰腺黏液性囊腺瘤:影像学与病理学相关性
Indian J Radiol Imaging. 2018 Jul-Sep;28(3):327-329. doi: 10.4103/ijri.IJRI_469_17.
Am J Surg. 1980 Feb;139(2):265-7. doi: 10.1016/0002-9610(80)90270-6.
4
Cystic neoplasms of the pancreas.胰腺囊性肿瘤
Am J Surg. 1981 Jul;142(1):30-5. doi: 10.1016/s0002-9610(81)80007-4.
5
Ultrasonically guided percutaneous puncture and analysis of aspirated material of cystic pancreatic lesions.超声引导下经皮穿刺及胰腺囊性病变抽吸物分析
Digestion. 1981;21(4):184-92. doi: 10.1159/000198561.
6
Pancreatic cystadenoma in Von Hippel-Lindau disease: an unusual cause of pancreatic and common bile duct obstruction.冯·希佩尔-林道病中的胰腺囊腺瘤:胰腺和胆总管梗阻的罕见病因
J Clin Gastroenterol. 1982 Dec;4(6):537-40. doi: 10.1097/00004836-198212000-00011.
7
Solid and papillary neoplasm of the pancreas. A potentially curable surgical lesion.胰腺实性假乳头状肿瘤。一种潜在可治愈的外科病变。
Ann Surg. 1983 Mar;197(3):272-5. doi: 10.1097/00000658-198303000-00005.
8
Papillary-cystic neoplasm of the pancreas. Report of two cases and review of the literature.胰腺乳头状囊性肿瘤。两例报告并文献复习。
Cancer. 1984 Aug 15;54(4):780-4. doi: 10.1002/1097-0142(1984)54:4<780::aid-cncr2820540433>3.0.co;2-4.
9
Pancreatic cystadenoma and cystadenocarcinoma.胰腺囊腺瘤和囊腺癌。
Br J Surg. 1984 Jun;71(6):449-51. doi: 10.1002/bjs.1800710614.
10
Mucinous cystic neoplasm of the pancreas with latent malignancy.胰腺黏液性囊性肿瘤伴潜在恶性
Am Surg. 1984 Apr;50(4):225-9.