Suppr超能文献

定量放射学标准在腰椎椎管狭窄症诊断中的应用:系统文献回顾。

Quantitative radiologic criteria for the diagnosis of lumbar spinal stenosis: a systematic literature review.

机构信息

Horten Centre for patient oriented research and knowledge transfer, University Zurich, Raemistrasse 100, CH 8091 Zurich, Switzerland.

出版信息

BMC Musculoskelet Disord. 2011 Jul 28;12:175. doi: 10.1186/1471-2474-12-175.

Abstract

BACKGROUND

Beside symptoms and clinical signs radiological findings are crucial in the diagnosis of lumbar spinal stenosis (LSS). We investigate which quantitative radiological signs are described in the literature and which radiological criteria are used to establish inclusion criteria in clinical studies evaluating different treatments in patients with lumbar spinal stenosis.

METHODS

A literature search was performed in Medline, Embase and the Cochrane library to identify papers reporting on radiological criteria to describe LSS and systematic reviews investigating the effects of different treatment modalities.

RESULTS

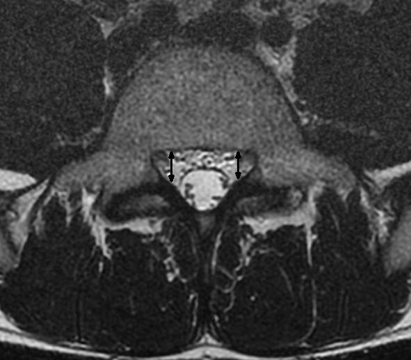
25 studies reporting on radiological signs of LSS and four systematic reviews related to the evaluation of different treatments were found. Ten different parameters were identified to quantify lumbar spinal stenosis. Most often reported measures for central stenosis were antero-posterior diameter (< 10 mm) and cross-sectional area (< 70 mm(2)) of spinal canal. For lateral stenosis height and depth of the lateral recess, and for foraminal stenosis the foraminal diameter were typically used. Only four of 63 primary studies included in the systematic reviews reported on quantitative measures for defining inclusion criteria of patients in prognostic studies.

CONCLUSIONS

There is a need for consensus on well-defined, unambiguous radiological criteria to define lumbar spinal stenosis in order to improve diagnostic accuracy and to formulate reliable inclusion criteria for clinical studies.

摘要

背景

除了症状和临床体征外,影像学发现对腰椎椎管狭窄症(LSS)的诊断至关重要。我们调查了文献中描述的哪些定量影像学征象,以及在评估不同治疗方法的临床研究中用于确定纳入标准的哪些影像学标准。

方法

在 Medline、Embase 和 Cochrane 图书馆中进行文献检索,以确定报告描述 LSS 的影像学标准的论文和系统评价不同治疗方式效果的系统评价。

结果

发现 25 篇报告 LSS 影像学征象的研究和 4 篇与评估不同治疗方法相关的系统评价。确定了 10 个不同的参数来量化腰椎椎管狭窄症。最常报道的中央狭窄测量值为椎管前后径(<10mm)和横截面积(<70mm²)。对于侧方狭窄,通常使用侧隐窝的高度和深度以及椎间孔狭窄的椎间孔直径。在纳入系统评价的 63 项主要研究中,仅有 4 项报告了用于确定预后研究患者纳入标准的定量测量值。

结论

需要就明确、明确的影像学标准达成共识,以定义腰椎椎管狭窄症,从而提高诊断准确性,并为临床研究制定可靠的纳入标准。

https://cdn.ncbi.nlm.nih.gov/pmc/blobs/ee27/3161920/31a92ac19fdb/1471-2474-12-175-1.jpg

文献检索

告别复杂PubMed语法,用中文像聊天一样搜索,搜遍4000万医学文献。AI智能推荐,让科研检索更轻松。

立即免费搜索

文件翻译

保留排版,准确专业,支持PDF/Word/PPT等文件格式,支持 12+语言互译。

免费翻译文档

深度研究

AI帮你快速写综述,25分钟生成高质量综述,智能提取关键信息,辅助科研写作。

立即免费体验