Suppr超能文献

鉴定在油橄榄花粉发育过程中表达的钙结合蛋白。

Characterization of a caleosin expressed during olive (Olea europaea L.) pollen ontogeny.

机构信息

Department of Biochemistry, Cellular and Molecular Biology of Plants, Estación Experimental del Zaidín, Consejo Superior de Investigaciones Científicas, Profesor Albareda 1, 18008, Granada, Spain.

出版信息

BMC Plant Biol. 2011 Aug 31;11:122. doi: 10.1186/1471-2229-11-122.

Abstract

BACKGROUND

The olive tree is an oil-storing species, with pollen being the second most active site in storage lipid biosynthesis. Caleosins are proteins involved in storage lipid mobilization during seed germination. Despite the existence of different lipidic structures in the anther, there are no data regarding the presence of caleosins in this organ to date. The purpose of the present work was to characterize a caleosin expressed in the olive anther over different key stages of pollen ontogeny, as a first approach to unravel its biological function in reproduction.

RESULTS

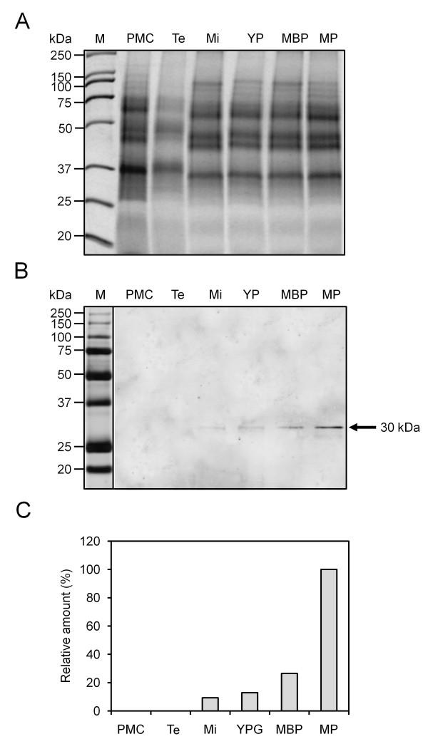
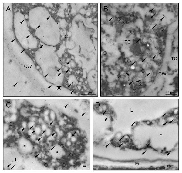
A 30 kDa caleosin was identified in the anther tissues by Western blot analysis. Using fluorescence and transmission electron microscopic immunolocalization methods, the protein was first localized in the tapetal cells at the free microspore stage. Caleosins were released to the anther locule and further deposited onto the sculptures of the pollen exine. As anthers developed, tapetal cells showed the presence of structures constituted by caleosin-containing lipid droplets closely packed and enclosed by ER-derived cisternae and vesicles. After tapetal cells lost their integrity, the caleosin-containing remnants of the tapetum filled the cavities of the mature pollen exine, forming the pollen coat. In developing microspores, this caleosin was initially detected on the exine sculptures. During pollen maturation, caleosin levels progressively increased in the vegetative cell, concurrently with the number of oil bodies. The olive pollen caleosin was able to bind calcium in vitro. Moreover, PEGylation experiments supported the structural conformation model suggested for caleosins from seed oil bodies.

CONCLUSIONS

In the olive anther, a caleosin is expressed in both the tapetal and germ line cells, with its synthesis independently regulated. The pollen oil body-associated caleosin is synthesized by the vegetative cell, whereas the protein located on the pollen exine and its coating has a sporophytic origin. The biological significance of the caleosin in the reproductive process in species possessing lipid-storing pollen might depend on its subcellular emplacement. The pollen inner caleosin may be involved in OB biogenesis during pollen maturation. The protein located on the outside might rather play a function in pollen-stigma interaction during pollen hydration and germination.

摘要

背景

油橄榄是一种富含油脂的物种,花粉是储存脂质生物合成中第二活跃的部位。钙调素结合蛋白参与种子萌发过程中储存脂质的动员。尽管花药中存在不同的脂质结构,但迄今为止,尚无关于该器官中钙调素存在的相关数据。本研究旨在对不同花粉发生关键阶段的油橄榄花药中表达的钙调素进行鉴定,作为揭示其在生殖过程中生物学功能的初步尝试。

结果

通过 Western blot 分析,在花药组织中鉴定出 30 kDa 的钙调素。利用荧光和透射电子显微镜免疫定位方法,该蛋白最初定位于游离小孢子阶段的绒毡层细胞中。钙调素被释放到花药腔室中,并进一步沉积在花粉外壁的雕纹上。随着花药的发育,绒毡层细胞呈现出由富含钙调素的脂滴组成的结构,这些脂滴紧密堆积并被内质网衍生的小泡和小囊所包围。当绒毡层细胞失去完整性时,富含钙调素的残余物填满了成熟花粉外壁的腔室,形成花粉外壁。在发育中的小孢子中,最初在花粉外壁的雕纹上检测到这种钙调素。在花粉成熟过程中,钙调素的水平在营养细胞中逐渐增加,同时油体的数量也在增加。橄榄花粉钙调素能够在体外结合钙。此外,PEGylation 实验支持了从种子油体中钙调素提出的结构构象模型。

结论

在油橄榄花药中,钙调素在绒毡层和生殖细胞中均有表达,其合成独立调控。花粉油体相关钙调素由营养细胞合成,而位于花粉外壁及其涂层上的蛋白则具有孢子体的起源。在富含油脂的花粉物种的生殖过程中,钙调素的生物学意义可能取决于其亚细胞定位。花粉内部的钙调素可能参与花粉成熟过程中 OB 的发生。位于外部的蛋白可能在花粉水合和萌发过程中与柱头相互作用中发挥作用。

https://cdn.ncbi.nlm.nih.gov/pmc/blobs/efba/3180362/e7e504f337a2/1471-2229-11-122-1.jpg

文献检索

告别复杂PubMed语法,用中文像聊天一样搜索,搜遍4000万医学文献。AI智能推荐,让科研检索更轻松。

立即免费搜索

文件翻译

保留排版,准确专业,支持PDF/Word/PPT等文件格式,支持 12+语言互译。

免费翻译文档

深度研究

AI帮你快速写综述,25分钟生成高质量综述,智能提取关键信息,辅助科研写作。

立即免费体验