Suppr超能文献

图像微阵列(IMA):数字病理学缺失的工具。

Image microarrays (IMA): Digital pathology's missing tool.

作者信息

Hipp Jason, Cheng Jerome, Pantanowitz Liron, Hewitt Stephen, Yagi Yukako, Monaco James, Madabhushi Anant, Rodriguez-Canales Jaime, Hanson Jeffrey, Roy-Chowdhuri Sinchita, Filie Armando C, Feldman Michael D, Tomaszewski John E, Shih Natalie Nc, Brodsky Victor, Giaccone Giuseppe, Emmert-Buck Michael R, Balis Ulysses J

机构信息

Department of Pathology, University of Michigan, M4233A Medical Science I, 1301 Catherine, Ann Arbor, Michigan 48109-0602.

出版信息

J Pathol Inform. 2011;2:47. doi: 10.4103/2153-3539.86829. Epub 2011 Oct 29.

Abstract

INTRODUCTION

The increasing availability of whole slide imaging (WSI) data sets (digital slides) from glass slides offers new opportunities for the development of computer-aided diagnostic (CAD) algorithms. With the all-digital pathology workflow that these data sets will enable in the near future, literally millions of digital slides will be generated and stored. Consequently, the field in general and pathologists, specifically, will need tools to help extract actionable information from this new and vast collective repository.

METHODS

To address this limitation, we designed and implemented a tool (dCORE) to enable the systematic capture of image tiles with constrained size and resolution that contain desired histopathologic features.

RESULTS

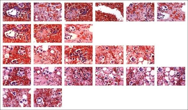
In this communication, we describe a user-friendly tool that will enable pathologists to mine digital slides archives to create image microarrays (IMAs). IMAs are to digital slides as tissue microarrays (TMAs) are to cell blocks. Thus, a single digital slide could be transformed into an array of hundreds to thousands of high quality digital images, with each containing key diagnostic morphologies and appropriate controls. Current manual digital image cut-and-paste methods that allow for the creation of a grid of images (such as an IMA) of matching resolutions are tedious.

CONCLUSION

The ability to create IMAs representing hundreds to thousands of vetted morphologic features has numerous applications in education, proficiency testing, consensus case review, and research. Lastly, in a manner analogous to the way conventional TMA technology has significantly accelerated in situ studies of tissue specimens use of IMAs has similar potential to significantly accelerate CAD algorithm development.

摘要

引言

从玻璃切片获得的全玻片成像(WSI)数据集(数字切片)日益增多,为计算机辅助诊断(CAD)算法的开发提供了新机遇。随着这些数据集在不久的将来将实现的全数字病理工作流程,将会生成并存储数以百万计的数字切片。因此,整个领域尤其是病理学家将需要工具来帮助从这个新的庞大集合库中提取可操作的信息。

方法

为解决这一限制,我们设计并实现了一个工具(dCORE),以系统地捕获具有受限大小和分辨率且包含所需组织病理学特征的图像块。

结果

在本交流中,我们描述了一种用户友好的工具,它将使病理学家能够挖掘数字切片档案以创建图像微阵列(IMA)。IMA之于数字切片,就如同组织微阵列(TMA)之于细胞块。因此,单个数字切片可以转化为数百到数千个高质量数字图像的阵列,每个图像都包含关键的诊断形态学特征和适当的对照。当前允许创建具有匹配分辨率的图像网格(如IMA)的手动数字图像剪切和粘贴方法很繁琐。

结论

创建代表数百到数千个经过审查的形态学特征的IMA的能力在教育、能力测试、共识病例审查和研究中有众多应用。最后,类似于传统TMA技术显著加速了组织标本原位研究的方式,IMA的使用也有类似潜力显著加速CAD算法的开发。

https://cdn.ncbi.nlm.nih.gov/pmc/blobs/de0f/3237063/52db3526c638/JPI-2-47-g001.jpg

文献检索

告别复杂PubMed语法,用中文像聊天一样搜索,搜遍4000万医学文献。AI智能推荐,让科研检索更轻松。

立即免费搜索

文件翻译

保留排版,准确专业,支持PDF/Word/PPT等文件格式,支持 12+语言互译。

免费翻译文档

深度研究

AI帮你快速写综述,25分钟生成高质量综述,智能提取关键信息,辅助科研写作。

立即免费体验