Suppr超能文献

免疫母鸡蛋黄中提取的免疫球蛋白Y(IgY)对幽门螺杆菌的作用。

Anti-Helicobacter pylori effects of IgY from egg york of immunized hens.

作者信息

Yang Yun-Hui, Park Dongsun, Yang Goeun, Lee Sun Hee, Bae Dae Kwon, Kyung Jangbeen, Kim Dajeong, Choi Ehn-Kyoung, Son Jae-Cheol, Hwang Seock-Yeon, Kim Yun-Bae

机构信息

College of Veterinary Medicine, Chungbuk National University, Cheongju, Korea.

出版信息

Lab Anim Res. 2012 Mar;28(1):55-60. doi: 10.5625/lar.2012.28.1.55. Epub 2012 Mar 21.

Abstract

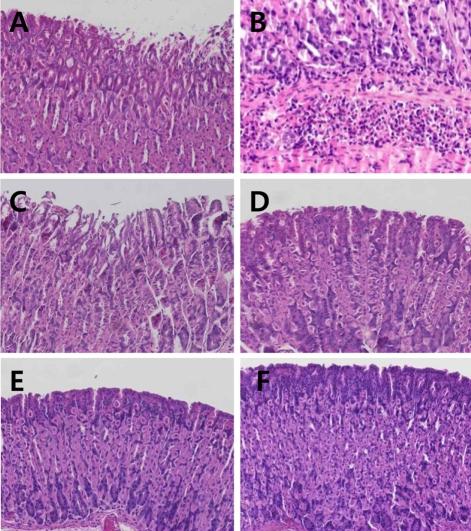
Effects of egg york containing IgY specific for Helicobacter pylori on the bacterial growth and intragastric infection were investigated in comparison with a proton-pump inhibitor pantoprazole. For in vitro anti-bacterial activity test, H. pylori (1×10(8) CFU/mL) was incubated with a serially diluted IgY for 3 days. As a result, IgY fully inhibited the bacterial growth at 16 mg/mL, which was determined to a minimal inhibitory concentration. In vivo elimination study, male C57BL/6 mice were infected with the bacteria by intragastric inoculation (1×10(8) CFU/mouse) 3 times at 2-day intervals, and 2 weeks later, orally treated twice a day with 50, 100, 200 or 500 mg/kg IgY for 18 days. After the final administration, biopsy sample of the gastric mucosa was assayed for the bacterial identification via urease, oxidase, catalase, nitrate reduction and H(2)S tests in addition to microscopic examination for mucosal inflammation. In CLO kit test, 75, 50, 12.5 and 12.5% of the animals revealed positive reaction following treatment with 50, 100, 200 and 500 mg/kg IgY, respectively, resulting in a superior efficacy at 200 mg/kg than 30 mg/kg pantoprazole that displayed 75% elimination. The CLO test results were confirmed by bacterial identification. Microscopic examination revealed that H. pylori infection caused severe gastric mucosal inflammation, which were not observed in the CLO-negative mice following treatment with IgY or pantoprazole. Taken together, IgY inhibited the growth of H. pylori, and improved gastritis and villi injuries by eliminating the bacteria from the stomach. The results indicate that IgY could be a good candidate overcoming tolerance of antibiotics for the treatment of H. pylori-mediated gastric ulcers.

摘要

将含抗幽门螺杆菌特异性IgY的蛋黄与质子泵抑制剂泮托拉唑进行比较,研究其对细菌生长和胃内感染的影响。在体外抗菌活性试验中,将幽门螺杆菌(1×10⁸CFU/mL)与系列稀释的IgY孵育3天。结果,IgY在16mg/mL时完全抑制细菌生长,该浓度被确定为最低抑菌浓度。在体内清除研究中,雄性C57BL/6小鼠每隔2天经胃内接种(1×10⁸CFU/小鼠)感染细菌3次,2周后,每天口服50、100、200或500mg/kg IgY,持续18天。末次给药后,除了对胃黏膜活检样本进行显微镜检查以观察黏膜炎症外,还通过尿素酶、氧化酶、过氧化氢酶、硝酸盐还原和H₂S试验进行细菌鉴定。在CLO试剂盒试验中,分别用50、100、200和500mg/kg IgY处理后,75%、50%、12.5%和12.5%的动物显示阳性反应,200mg/kg IgY的疗效优于30mg/kg泮托拉唑,后者的清除率为75%。CLO试验结果经细菌鉴定得到证实。显微镜检查显示,幽门螺杆菌感染导致严重的胃黏膜炎症,在用IgY或泮托拉唑治疗后的CLO阴性小鼠中未观察到这种炎症。综上所述,IgY抑制幽门螺杆菌的生长,并通过清除胃内细菌改善胃炎和绒毛损伤。结果表明,IgY可能是克服抗生素耐受性治疗幽门螺杆菌介导的胃溃疡的良好候选药物。

https://cdn.ncbi.nlm.nih.gov/pmc/blobs/4a08/3315199/3b682c0b5f55/lar-28-55-g001.jpg

文献检索

告别复杂PubMed语法,用中文像聊天一样搜索,搜遍4000万医学文献。AI智能推荐,让科研检索更轻松。

立即免费搜索

文件翻译

保留排版,准确专业,支持PDF/Word/PPT等文件格式,支持 12+语言互译。

免费翻译文档

深度研究

AI帮你快速写综述,25分钟生成高质量综述,智能提取关键信息,辅助科研写作。

立即免费体验