Suppr超能文献

一种基于水平集和均值滤波的前列腺活检分割全自动方法。

A fully automated approach to prostate biopsy segmentation based on level-set and mean filtering.

作者信息

Vidal Juan, Bueno Gloria, Galeotti John, García-Rojo Marcial, Relea Fernanda, Déniz Oscar

机构信息

VISILAB - Intelligent Systems and Computer Vision Group, University of Castilla la Mancha, Ciudad Real, Spain.

出版信息

J Pathol Inform. 2011;2:S5. doi: 10.4103/2153-3539.92032. Epub 2012 Jan 19.

Abstract

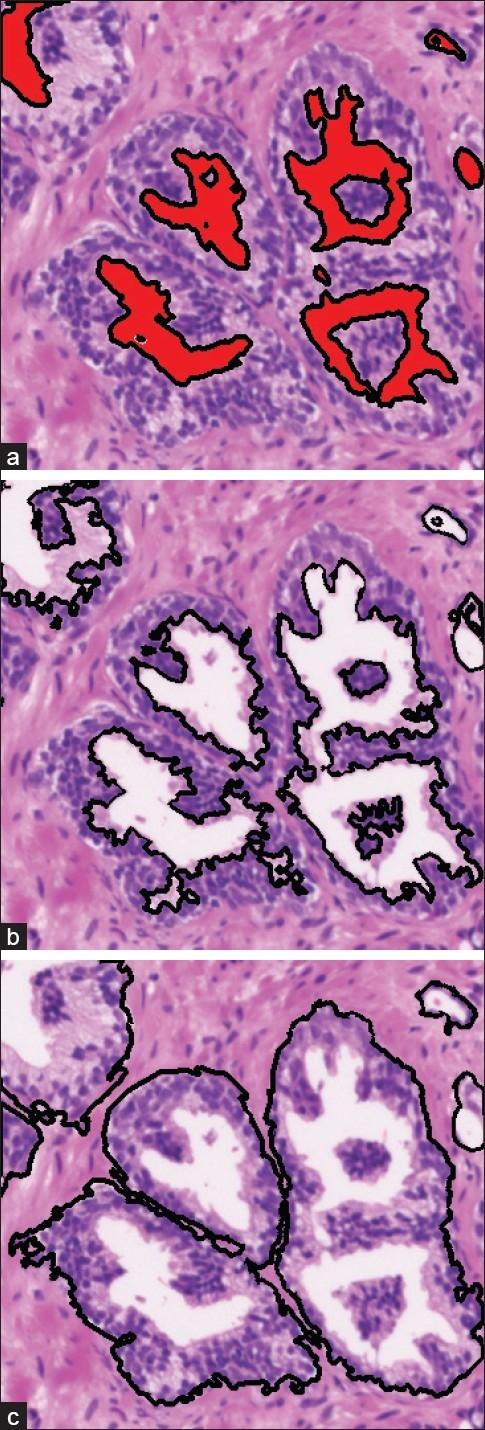
With modern automated microscopes and digital cameras, pathologists no longer have to examine samples looking through microscope binoculars. Instead, the slide is digitized to an image, which can then be examined on a screen. This creates the possibility for computers to analyze the image. In this work, a fully automated approach to region of interest (ROI) segmentation in prostate biopsy images is proposed. This will allow the pathologists to focus on the most important areas of the image. The method proposed is based on level-set and mean filtering techniques for lumen centered expansion and cell density localization respectively. The novelty of the technique lies in the ability to detect complete ROIs, where a ROI is composed by the conjunction of three different structures, that is, lumen, cytoplasm, and cells, as well as regions with a high density of cells. The method is capable of dealing with full biopsies digitized at different magnifications. In this paper, results are shown with a set of 100 H and E slides, digitized at 5×, and ranging from 12 MB to 500 MB. The tests carried out show an average specificity above 99% across the board and average sensitivities of 95% and 80%, respectively, for the lumen centered expansion and cell density localization. The algorithms were also tested with images at 10× magnification (up to 1228 MB) obtaining similar results.

摘要

借助现代自动化显微镜和数码相机,病理学家无需再通过显微镜双筒目镜来检查样本。取而代之的是,载玻片被数字化成图像,然后可以在屏幕上进行检查。这为计算机分析图像创造了可能性。在这项工作中,提出了一种用于前列腺活检图像中感兴趣区域(ROI)分割的全自动方法。这将使病理学家能够专注于图像中最重要的区域。所提出的方法分别基于水平集和均值滤波技术,用于以管腔为中心的扩展和细胞密度定位。该技术的新颖之处在于能够检测完整的ROI,其中一个ROI由三种不同结构的结合组成,即管腔、细胞质和细胞,以及细胞高密度区域。该方法能够处理以不同放大倍数数字化的完整活检样本。在本文中,展示了对一组100张苏木精和伊红(H&E)染色切片的结果,这些切片以5倍放大倍数数字化,大小从12MB到500MB不等。所进行的测试表明,总体平均特异性高于99%,以管腔为中心的扩展和细胞密度定位的平均敏感性分别为95%和80%。该算法还用10倍放大倍数的图像(高达1228MB)进行了测试,获得了相似的结果。

https://cdn.ncbi.nlm.nih.gov/pmc/blobs/86ce/3312711/f3ba14fa095d/JPI-2-5-g001.jpg

文献AI研究员

20分钟写一篇综述,助力文献阅读效率提升50倍。

立即体验

用中文搜PubMed

大模型驱动的PubMed中文搜索引擎

马上搜索

文档翻译

学术文献翻译模型,支持多种主流文档格式。

立即体验