Suppr超能文献

美国与哈密瓜相关的李斯特菌病暴发涉及的单增李斯特菌菌株的基因组特征

Genomic characterization of Listeria monocytogenes strains involved in a multistate listeriosis outbreak associated with cantaloupe in US.

机构信息

Center for Food Safety and Applied Nutrition, FDA, Laurel, Maryland, United States of America.

出版信息

PLoS One. 2012;7(7):e42448. doi: 10.1371/journal.pone.0042448. Epub 2012 Jul 31.

Abstract

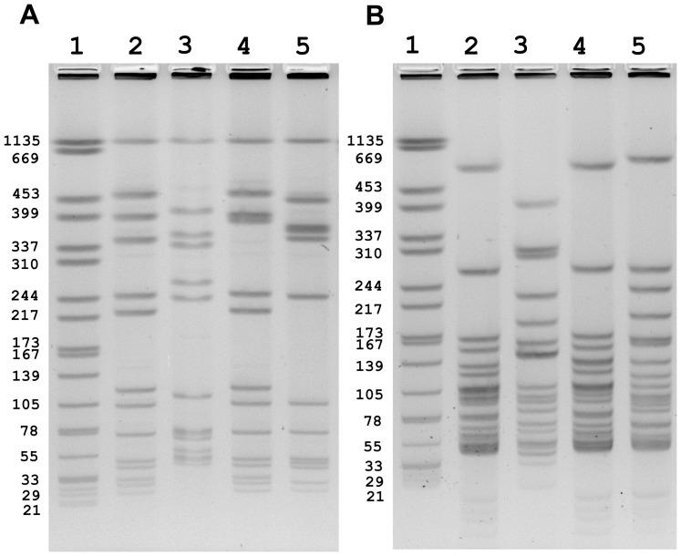
A multistate listeriosis outbreak associated with cantaloupe consumption was reported in the United States in September, 2011. The outbreak investigation recorded a total of 146 invasive illnesses, 30 deaths and one miscarriage. Subtyping of the outbreak associated clinical, food and environmental isolates revealed two serotypes (1/2a and 1/2b) and four pulsed-field gel electrophoresis two-enzyme pattern combinations I, II, III, and IV, including one rarely seen before this outbreak. A DNA-microarray, Listeria GeneChip®, developed by FDA from 24 Listeria monocytogenes genome sequences, was used to further characterize a representative sample of the outbreak isolates. The microarray data (in the form of present or absent calls of specific DNA sequences) separated the isolates into two distinct groups as per their serotypes. The gene content of the outbreak-associated isolates was distinct from that of the previously-reported outbreak strains belonging to the same serotypes. Although the 1/2b outbreak associated isolates are closely related to each other, the 1/2a isolates could be further divided into two distinct genomic groups, one represented by pattern combination I strains and the other represented by highly similar pattern combinations III and IV strains. Gene content analysis of these groups revealed unique genomic sequences associated with these two 1/2a genovars. This work underscores the utility of multiple approaches, such as serotyping, PFGE and DNA microarray analysis to characterize the composition of complex polyclonal listeriosis outbreaks.

摘要

2011 年 9 月,美国报道了一起与食用哈密瓜有关的多州李斯特菌病暴发。暴发调查记录了总共 146 例侵袭性疾病、30 例死亡和 1 例流产。对暴发相关临床、食品和环境分离株的分型揭示了两个血清型(1/2a 和 1/2b)和四个脉冲场凝胶电泳双酶模式组合 I、II、III 和 IV,包括一种在此次暴发前很少见的血清型。美国 FDA 从 24 株李斯特菌基因组序列中开发了一种 DNA 微阵列,李斯特菌基因芯片®,用于进一步表征暴发分离株的代表性样本。微阵列数据(以特定 DNA 序列存在或不存在的形式)根据血清型将分离株分为两组。暴发相关分离株的基因组成与属于同一血清型的先前报告的暴发菌株明显不同。虽然 1/2b 型暴发相关分离株彼此密切相关,但 1/2a 分离株可以进一步分为两个不同的基因组群,一个由模式组合 I 菌株代表,另一个由高度相似的模式组合 III 和 IV 菌株代表。这些组的基因内容分析揭示了与这两个 1/2a 基因型相关的独特基因组序列。这项工作强调了多种方法(如血清分型、PFGE 和 DNA 微阵列分析)的实用性,可用于表征复杂的多克隆李斯特菌病暴发的组成。

https://cdn.ncbi.nlm.nih.gov/pmc/blobs/9f7f/3409164/191805c1d43a/pone.0042448.g001.jpg

文献检索

告别复杂PubMed语法,用中文像聊天一样搜索,搜遍4000万医学文献。AI智能推荐,让科研检索更轻松。

立即免费搜索

文件翻译

保留排版,准确专业,支持PDF/Word/PPT等文件格式,支持 12+语言互译。

免费翻译文档

深度研究

AI帮你快速写综述,25分钟生成高质量综述,智能提取关键信息,辅助科研写作。

立即免费体验