Suppr超能文献

头皮皮脂腺癌伴增生性外毛根鞘囊肿

Sebaceous carcinoma of scalp with proliferating trichilemmal cyst.

作者信息

Chikhalkar Siddhi, Garg Gaurav, Gutte Rameshwar, Khopkar Uday

机构信息

Department of Dermatology, Seth G.S. Medical College and KEM Hospital, Parel, Mumbai, India.

出版信息

Indian Dermatol Online J. 2012 May;3(2):138-40. doi: 10.4103/2229-5178.96718.

Abstract

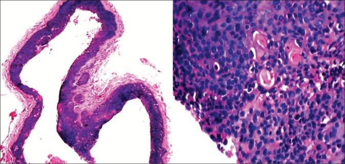
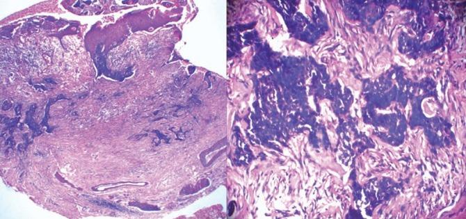
Sebaceous carcinoma is a rare neoplasm of the sebaceous gland. It is diagnosed mainly on histopathology and, clinically, it may mimic other neoplasms like squamous or basal cell carcinoma. We came across a patient presenting with a non-healing ulcer over the left temporo-parietal region of the scalp since 4 years and a single asymptomatic nodule over the occipital region since 3 years. Histopathology from an ulcer was pathognomonic of sebaceous carcinoma and that from a nodule was suggestive of proliferating trichilemmal cyst. The patient was screened for Muir Torre syndrome. We referred the patient to the oncologist for further management, where the patient was advised complete excision of the lesion.

摘要

皮脂腺癌是一种罕见的皮脂腺肿瘤。其诊断主要依靠组织病理学,在临床上,它可能会与其他肿瘤相似,如鳞状细胞癌或基底细胞癌。我们遇到一位患者,其头皮左颞顶区有一个4年未愈合的溃疡,枕部有一个3年的无症状结节。溃疡部位的组织病理学表现为皮脂腺癌的特征性表现,结节部位的组织病理学提示为增生性外毛根鞘囊肿。对该患者进行了穆尔-托里综合征的筛查。我们将患者转诊给肿瘤学家进行进一步治疗,肿瘤学家建议对病变进行完整切除。

https://cdn.ncbi.nlm.nih.gov/pmc/blobs/10df/3481867/dc6ff218b355/IDOJ-3-138-g001.jpg

文献AI研究员

20分钟写一篇综述,助力文献阅读效率提升50倍。

立即体验

用中文搜PubMed

大模型驱动的PubMed中文搜索引擎

马上搜索

文档翻译

学术文献翻译模型,支持多种主流文档格式。

立即体验