Suppr超能文献

前列腺癌的化学预防:大豆异黄酮与姜黄素。

Chemoprevention of prostate cancer: soy isoflavones and curcumin.

作者信息

Horie Shigeo

机构信息

Department of Urology, Teikyo University School of Medicine, Tokyo, Japan.

出版信息

Korean J Urol. 2012 Oct;53(10):665-72. doi: 10.4111/kju.2012.53.10.665. Epub 2012 Oct 19.

Abstract

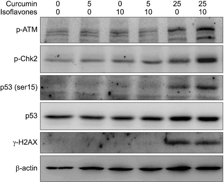
The burden of increasing morbidity and mortality due to prostate cancer imposes a need for new, effective measures of prevention in daily life. The influence of lifestyle on carcinogenesis in Asian men who migrate to Western cultures supports a causal role for dietary, environmental, and genetic factors in the epidemiology of prostate cancer. Chemoprevention, a prophylactic approach that uses nontoxic natural or synthetic compounds to reverse, inhibit, or prevent cancer by targeting specific steps in the carcinogenic pathway, is gaining traction among health care practitioners. Soy isoflavones and curcumin, staples of the Asian diet, have shown promise as functional factors for the chemoprevention of prostate cancer because of their ability to modulate multiple intracellular signaling pathways, including cellular proliferation, apoptosis, inflammation, and androgen receptor signaling. Recent evidence has revealed the DNA damage response (DDR) to be one of the earliest events in the multistep progression of human epithelial carcinomas to invasive malignancy. Soy isoflavones and curcumin activate the DDR, providing an opportunity and rationale for the clinical application of these nutraceuticals in the chemoprevention of prostate cancer.

摘要

前列腺癌导致的发病率和死亡率不断上升,这使得日常生活中需要新的有效预防措施。生活方式对移民到西方文化的亚洲男性致癌作用的影响,支持了饮食、环境和遗传因素在前列腺癌流行病学中的因果作用。化学预防是一种预防性方法,通过针对致癌途径中的特定步骤,使用无毒的天然或合成化合物来逆转、抑制或预防癌症,正受到医疗从业者的青睐。大豆异黄酮和姜黄素是亚洲饮食的主要成分,由于它们能够调节多种细胞内信号通路,包括细胞增殖、凋亡、炎症和雄激素受体信号通路,已显示出作为前列腺癌化学预防功能因子的潜力。最近的证据表明,DNA损伤反应(DDR)是人类上皮癌向侵袭性恶性肿瘤多步骤进展中最早发生的事件之一。大豆异黄酮和姜黄素激活DDR,为这些营养保健品在前列腺癌化学预防中的临床应用提供了机会和理论依据。

https://cdn.ncbi.nlm.nih.gov/pmc/blobs/4bf9/3490085/d1757454278e/kju-53-665-g001.jpg

文献AI研究员

20分钟写一篇综述,助力文献阅读效率提升50倍。

立即体验

用中文搜PubMed

大模型驱动的PubMed中文搜索引擎

马上搜索

文档翻译

学术文献翻译模型,支持多种主流文档格式。

立即体验