Suppr超能文献

海瑟体外流量 XF24 分析用胚胎背根神经节神经元的综合培养方法。

Comprehensive Method for Culturing Embryonic Dorsal Root Ganglion Neurons for Seahorse Extracellular Flux XF24 Analysis.

机构信息

Department of Neurology, Mayo Clinic Rochester, MN, USA.

出版信息

Front Neurol. 2012 Dec 14;3:175. doi: 10.3389/fneur.2012.00175. eCollection 2012.

Abstract

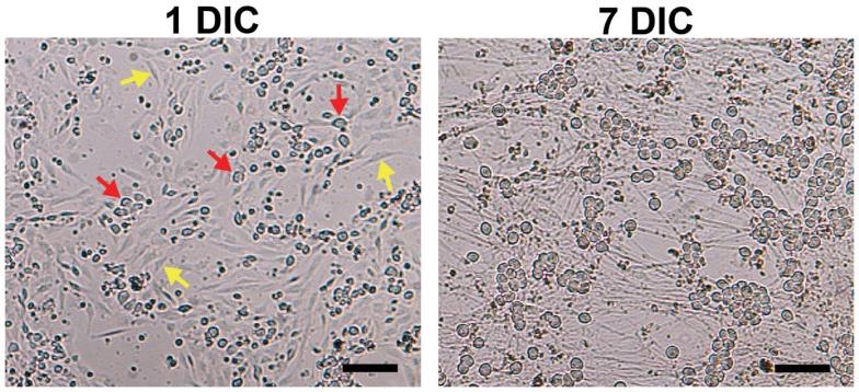
Changes in mitochondrial dynamics and function contribute to progression of multiple neurodegenerative diseases including peripheral neuropathies. The Seahorse Extracellular Flux XF24 analyzer provides a comprehensive assessment of the relative state of glycolytic and aerobic metabolism in live cells making this method instrumental in assessing mitochondrial function. One of the most important steps in the analysis of mitochondrial respiration using the Seahorse XF24 analyzer is plating a uniform monolayer of firmly attached cells. However, culturing of primary dorsal root ganglion (DRG) neurons is associated with multiple challenges, including their propensity to form clumps and detach from the culture plate. This could significantly interfere with proper analysis and interpretation of data. We have tested multiple cell culture parameters including coating substrates, culture medium, XF24 microplate plastics, and plating techniques in order to optimize plating conditions. Here we describe a highly reproducible method to obtain neuron-enriched monolayers of securely attached dissociated primary embryonic (E15) rat DRG neurons suitable for analysis with the Seahorse XF24 platform.

摘要

线粒体动态和功能的变化与多种神经退行性疾病的进展有关,包括周围神经病。 Seahorse 细胞外通量 XF24 分析仪可全面评估活细胞中糖酵解和有氧代谢的相对状态,使这种方法成为评估线粒体功能的重要工具。 使用 Seahorse XF24 分析仪分析线粒体呼吸的最重要步骤之一是在平板上接种均匀单层紧密附着的细胞。 然而,原代背根神经节 (DRG) 神经元的培养存在多种挑战,包括它们易于形成团块并从培养板上脱落。 这可能会严重干扰数据的正确分析和解释。 我们已经测试了多种细胞培养参数,包括涂层底物、培养基、XF24 微孔板塑料和接种技术,以优化接种条件。 在这里,我们描述了一种高度可重复的方法,可获得富含神经元的单层牢固附着的分离原代 (E15) 大鼠 DRG 神经元,适用于 Seahorse XF24 平台的分析。

https://cdn.ncbi.nlm.nih.gov/pmc/blobs/8a7c/3522103/7ab40cc2f37b/fneur-03-00175-g001.jpg

文献AI研究员

20分钟写一篇综述,助力文献阅读效率提升50倍。

立即体验

用中文搜PubMed

大模型驱动的PubMed中文搜索引擎

马上搜索

文档翻译

学术文献翻译模型,支持多种主流文档格式。

立即体验