Suppr超能文献

局限性硬皮病硬斑病型、白癜风、自身免疫性甲状腺功能减退症、肺炎、自身免疫性血小板减少性紫癜和中枢神经系统血管炎的罕见关联。病例报告。

A rare association of localized scleroderma type morphea, vitiligo, autoimmune hypothyroidism, pneumonitis, autoimmune thrombocytopenic purpura and central nervous system vasculitis. Case report.

作者信息

Bonilla-Abadía Fabio, Muñoz-Buitrón Evelyn, Ochoa Carlos D, Carrascal Edwin, Cañas Carlos A

机构信息

Rheumatology Unit, Fundación Valle del Lili, ICESI University, Avenida Simón Bolívar Cra,98, No,18-49, Cali, Colombia.

出版信息

BMC Res Notes. 2012 Dec 20;5:689. doi: 10.1186/1756-0500-5-689.

Abstract

BACKGROUND

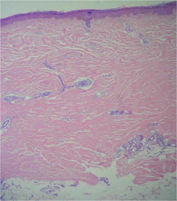
The localized scleroderma (LS) known as morphea, presents a variety of clinical manifestations that can include systemic involvement. Current classification schemes divide morphea into categories based solely on cutaneous morphology, without reference to systemic disease or autoimmune phenomena. This classification is likely incomplete. Autoimmune phenomena such as vitiligo and Hashimoto thyroiditis associated with LS have been reported in some cases suggesting an autoimmune basis. To our knowledge this is the first case of a morphea forming part of a multiple autoimmune syndrome (MAS) and presenting simultaneously with autoimmune thrombocytopenic purpura and central nervous system vasculitis.

CASE PRESENTATION

We report an uncommon case of a white 53 year old female patient with LS as part of a multiple autoimmune syndrome associated with pneumonitis, autoimmune thrombocytopenic purpura and central nervous system vasculitis presenting a favorable response with thrombopoietin receptor agonists, pulses of methylprednisolone and cyclophosphamide.

CONCLUSION

Is likely that LS have an autoimmune origin and in this case becomes part of MAS, which consist on the presence of three or more well-defined autoimmune diseases in a single patient.

摘要

背景

局限性硬皮病(LS)又称硬斑病,有多种临床表现,可包括全身受累。目前的分类方案仅根据皮肤形态将硬斑病分为不同类别,而未参考全身疾病或自身免疫现象。这种分类可能并不完整。在一些病例中已报告了与LS相关的自身免疫现象,如白癜风和桥本甲状腺炎,提示存在自身免疫基础。据我们所知,这是首例硬斑病作为多发性自身免疫综合征(MAS)的一部分,同时伴有自身免疫性血小板减少性紫癜和中枢神经系统血管炎的病例。

病例报告

我们报告了一例罕见病例,一名53岁白人女性患者,其局限性硬皮病是与肺炎、自身免疫性血小板减少性紫癜和中枢神经系统血管炎相关的多发性自身免疫综合征的一部分,使用血小板生成素受体激动剂、甲泼尼龙冲击治疗和环磷酰胺后反应良好。

结论

局限性硬皮病可能起源于自身免疫,在本病例中成为MAS的一部分,MAS是指在单一患者中存在三种或更多明确的自身免疫性疾病。

https://cdn.ncbi.nlm.nih.gov/pmc/blobs/0a84/3532086/3498d8fa9408/1756-0500-5-689-1.jpg

文献AI研究员

20分钟写一篇综述,助力文献阅读效率提升50倍。

立即体验

用中文搜PubMed

大模型驱动的PubMed中文搜索引擎

马上搜索

文档翻译

学术文献翻译模型,支持多种主流文档格式。

立即体验