• 文献检索
  • 文档翻译
  • 深度研究
  • 学术资讯
  • Suppr Zotero 插件Zotero 插件
  • 邀请有礼
  • 套餐&价格
  • 历史记录
应用&插件
Suppr Zotero 插件Zotero 插件浏览器插件Mac 客户端Windows 客户端微信小程序
定价
高级版会员购买积分包购买API积分包
服务
文献检索文档翻译深度研究API 文档MCP 服务
关于我们
关于 Suppr公司介绍联系我们用户协议隐私条款
关注我们

Suppr 超能文献

核心技术专利:CN118964589B侵权必究
粤ICP备2023148730 号-1Suppr @ 2026

文献检索

告别复杂PubMed语法,用中文像聊天一样搜索,搜遍4000万医学文献。AI智能推荐,让科研检索更轻松。

立即免费搜索

文件翻译

保留排版,准确专业,支持PDF/Word/PPT等文件格式,支持 12+语言互译。

免费翻译文档

深度研究

AI帮你快速写综述,25分钟生成高质量综述,智能提取关键信息,辅助科研写作。

立即免费体验

雾化纤维蛋白溶解剂可改善直接和间接性急性肺损伤大鼠模型中的肺纤维蛋白溶解,但不能改善炎症。

Nebulized fibrinolytic agents improve pulmonary fibrinolysis but not inflammation in rat models of direct and indirect acute lung injury.

机构信息

Laboratory of Experimental Intensive Care and Anesthesiology, Academic Medical Centre, University of Amsterdam, Amsterdam, The Netherlands.

出版信息

PLoS One. 2013;8(2):e55262. doi: 10.1371/journal.pone.0055262. Epub 2013 Feb 7.

DOI:10.1371/journal.pone.0055262
PMID:23408962
原文链接:https://pmc.ncbi.nlm.nih.gov/articles/PMC3567078/
Abstract

BACKGROUND

Critically ill patients frequently develop acute lung injury (ALI). Disturbed alveolar fibrin turnover, a characteristic feature of ALI, is the result of both activation of coagulation and inhibition of fibrinolysis. Nebulized fibrinolytic agents could exert lung-protective effects, via promotion of fibrinolysis as well as anti-inflammation.

METHODS

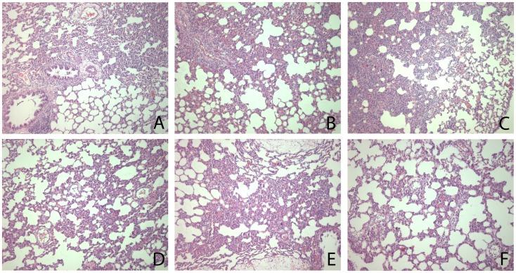
Rats were challenged intratracheally with Pseudomonas aeruginosa, resulting in pneumonia as a model for direct ALI, or received an intravenous bolus infusion of lipopolysaccharide, as a model for indirect ALI. Rats were randomized to nebulization of normal saline (placebo), recombinant tissue plasminogen activator (rtPA), or monoclonal antibodies against plasminogen activator inhibitor-type 1 (anti-PAI-1).

RESULTS

Nebulized rtPA or anti-PA1-1 enhanced the bronchoalveolar fibrinolytic system, as reflected by a significant reduction of PAI-1 activity levels in bronchoalveolar lavage fluid, and a consequent increase in plasminogen activator activity (PAA) levels to supranormal values. Both treatments also significantly affected systemic fibrinolysis as reflected by a significant increase in PAA levels in plasma to supranormal levels. Neither nebulized rtPA nor anti-PA1-1 affected pulmonary inflammation. Neither treatment affected bacterial clearance of P. aeruginosa from the lungs in case of pneumonia.

CONCLUSIONS

Local treatment with rtPA or anti-PA1-1 affects pulmonary fibrinolysis but not inflammation in models of direct or indirect ALI in rats.

摘要

背景

危重症患者常发生急性肺损伤(ALI)。肺泡纤维蛋白转化紊乱是 ALI 的一个特征,这是凝血激活和纤溶抑制共同作用的结果。雾化纤维蛋白溶解剂可通过促进纤溶和抗炎发挥肺保护作用。

方法

通过气管内滴注铜绿假单胞菌建立肺炎直接 ALI 模型,或静脉推注脂多糖建立间接 ALI 模型,对大鼠进行处理。大鼠随机接受生理盐水(安慰剂)、重组组织型纤溶酶原激活剂(rtPA)或纤溶酶原激活物抑制剂-1 单克隆抗体(抗-PAI-1)雾化治疗。

结果

雾化 rtPA 或抗-PAI-1 增强了支气管肺泡内的纤维蛋白溶解系统,表现为支气管肺泡灌洗液中 PAI-1 活性水平显著降低,纤溶酶原激活物活性(PAA)水平升高至超正常值。两种治疗方法均显著影响全身纤溶,表现为血浆中 PAA 水平升高至超正常值。雾化 rtPA 或抗-PAI-1 均不影响肺部炎症。在肺炎模型中,两种治疗方法均不影响 P. aeruginosa 从肺部的清除。

结论

局部应用 rtPA 或抗-PAI-1 可影响大鼠直接或间接 ALI 模型中的肺纤维蛋白溶解,但不影响炎症。

https://cdn.ncbi.nlm.nih.gov/pmc/blobs/55d7/3567078/58c8e93af326/pone.0055262.g007.jpg
https://cdn.ncbi.nlm.nih.gov/pmc/blobs/55d7/3567078/d532fe6ac720/pone.0055262.g001.jpg
https://cdn.ncbi.nlm.nih.gov/pmc/blobs/55d7/3567078/cc7bcc125e2a/pone.0055262.g002.jpg
https://cdn.ncbi.nlm.nih.gov/pmc/blobs/55d7/3567078/72a99c13ed78/pone.0055262.g003.jpg
https://cdn.ncbi.nlm.nih.gov/pmc/blobs/55d7/3567078/ca2282ac1c1e/pone.0055262.g004.jpg
https://cdn.ncbi.nlm.nih.gov/pmc/blobs/55d7/3567078/786d1afe6669/pone.0055262.g005.jpg
https://cdn.ncbi.nlm.nih.gov/pmc/blobs/55d7/3567078/ee3b076eafa5/pone.0055262.g006.jpg
https://cdn.ncbi.nlm.nih.gov/pmc/blobs/55d7/3567078/58c8e93af326/pone.0055262.g007.jpg
https://cdn.ncbi.nlm.nih.gov/pmc/blobs/55d7/3567078/d532fe6ac720/pone.0055262.g001.jpg
https://cdn.ncbi.nlm.nih.gov/pmc/blobs/55d7/3567078/cc7bcc125e2a/pone.0055262.g002.jpg
https://cdn.ncbi.nlm.nih.gov/pmc/blobs/55d7/3567078/72a99c13ed78/pone.0055262.g003.jpg
https://cdn.ncbi.nlm.nih.gov/pmc/blobs/55d7/3567078/ca2282ac1c1e/pone.0055262.g004.jpg
https://cdn.ncbi.nlm.nih.gov/pmc/blobs/55d7/3567078/786d1afe6669/pone.0055262.g005.jpg
https://cdn.ncbi.nlm.nih.gov/pmc/blobs/55d7/3567078/ee3b076eafa5/pone.0055262.g006.jpg
https://cdn.ncbi.nlm.nih.gov/pmc/blobs/55d7/3567078/58c8e93af326/pone.0055262.g007.jpg

相似文献

1
Nebulized fibrinolytic agents improve pulmonary fibrinolysis but not inflammation in rat models of direct and indirect acute lung injury.雾化纤维蛋白溶解剂可改善直接和间接性急性肺损伤大鼠模型中的肺纤维蛋白溶解,但不能改善炎症。
PLoS One. 2013;8(2):e55262. doi: 10.1371/journal.pone.0055262. Epub 2013 Feb 7.
2
Nebulized Recombinant Human Tissue Factor Pathway Inhibitor Attenuates Coagulation and Exerts Modest Anti-inflammatory Effects in Rat Models of Lung Injury.雾化重组人组织因子途径抑制剂可减轻凝血并在大鼠肺损伤模型中发挥适度的抗炎作用。
J Aerosol Med Pulm Drug Deliv. 2017 Apr;30(2):91-99. doi: 10.1089/jamp.2016.1317. Epub 2016 Dec 15.
3
Nebulized anticoagulants limit coagulopathy but not inflammation in pseudomonas aeruginosa-induced pneumonia in rats.雾化抗凝剂可限制肺炎克雷伯菌诱导的大鼠肺炎中的凝血异常,但不能减轻炎症。
Shock. 2011 Oct;36(4):417-23. doi: 10.1097/SHK.0b013e31822bcef0.
4
Nebulized Heparin Attenuates Pulmonary Coagulopathy and Inflammation through Alveolar Macrophages in a Rat Model of Acute Lung Injury.雾化肝素通过肺泡巨噬细胞减轻急性肺损伤大鼠的肺凝血功能障碍和炎症。
Thromb Haemost. 2017 Nov;117(11):2125-2134. doi: 10.1160/TH17-05-0347. Epub 2017 Nov 30.
5
Inhaled unfractionated heparin improves abnormalities of alveolar coagulation, fibrinolysis and inflammation in endotoxemia-induced lung injury rats.吸入未分级肝素可改善内毒素血症诱导的肺损伤大鼠肺泡内凝血、纤溶和炎症的异常。
Chin Med J (Engl). 2013 Jan;126(2):318-24.
6
Intravenous administration of activated protein C in Pseudomonas-induced lung injury: impact on lung fluid balance and the inflammatory response.在铜绿假单胞菌诱导的肺损伤中静脉注射活化蛋白C:对肺液体平衡和炎症反应的影响。
Respir Res. 2006 Mar 22;7(1):41. doi: 10.1186/1465-9921-7-41.
7
Nebulized antithrombin limits bacterial outgrowth and lung injury in Streptococcus pneumoniae pneumonia in rats.雾化抗凝血酶可限制肺炎链球菌肺炎大鼠的细菌过度生长和肺损伤。
Crit Care. 2009;13(5):R145. doi: 10.1186/cc8040. Epub 2009 Sep 9.
8
Effects of nebulized antithrombin and heparin on inflammatory and coagulation alterations in an acute lung injury model in rats.雾化抗凝酶和肝素对大鼠急性肺损伤模型中炎症和凝血改变的影响。
J Thromb Haemost. 2020 Mar;18(3):571-583. doi: 10.1111/jth.14685. Epub 2019 Dec 16.
9
Nebulized anticoagulants limit pulmonary coagulopathy, but not inflammation, in a model of experimental lung injury.雾化抗凝剂可限制实验性肺损伤模型中的肺凝血功能障碍,但不能抑制炎症。
J Aerosol Med Pulm Drug Deliv. 2010 Apr;23(2):105-11. doi: 10.1089/jamp.2009.0779.
10
Recombinant human activated protein C inhibits local and systemic activation of coagulation without influencing inflammation during Pseudomonas aeruginosa pneumonia in rats.重组人活化蛋白C在大鼠铜绿假单胞菌肺炎期间可抑制凝血的局部和全身激活,而不影响炎症反应。
Crit Care Med. 2007 May;35(5):1362-8. doi: 10.1097/01.CCM.0000261888.32654.6D.

引用本文的文献

1
Nebulized Recombinant Tissue Plasminogen Activator (rt-PA) for Acute COVID-19-Induced Respiratory Failure: An Exploratory Proof-of-Concept Trial.雾化重组组织型纤溶酶原激活剂(rt-PA)治疗新型冠状病毒肺炎(COVID-19)所致急性呼吸衰竭:一项探索性概念验证试验
J Clin Med. 2023 Sep 8;12(18):5848. doi: 10.3390/jcm12185848.
2
COVID-19 coagulopathy - what should we treat?COVID-19 相关凝血功能障碍——我们应该治疗什么?
Exp Physiol. 2022 Jul;107(7):749-758. doi: 10.1113/EP089404. Epub 2022 Jun 22.
3
Inhaled Placental Mesenchymal Stromal Cell Secretome from Two- and Three-Dimensional Cell Cultures Promotes Survival and Regeneration in Acute Lung Injury Model in Mice.

本文引用的文献

1
Plasminogen activator inhibitor type-1 deficiency exaggerates LPS-induced acute lung injury through enhancing Toll-like receptor 4 signaling pathway.纤溶酶原激活物抑制剂-1缺乏通过增强Toll样受体4信号通路加重脂多糖诱导的急性肺损伤。
Blood Coagul Fibrinolysis. 2011 Sep;22(6):480-6. doi: 10.1097/MBC.0b013e328346ef56.
2
Depletion of tissue plasminogen activator attenuates lung ischemia-reperfusion injury via inhibition of neutrophil extravasation.组织型纤溶酶原激活物耗竭通过抑制中性粒细胞渗出减轻肺缺血再灌注损伤。
Am J Physiol Lung Cell Mol Physiol. 2011 May;300(5):L718-29. doi: 10.1152/ajplung.00227.2010. Epub 2011 Mar 4.
3
吸入胎盘间充质基质细胞分泌组液,促进二维和三维细胞培养物在急性肺损伤模型小鼠中的存活和再生。
Int J Mol Sci. 2022 Mar 22;23(7):3417. doi: 10.3390/ijms23073417.
4
A Prospective Study of Specialized Coagulation Parameters in Admitted COVID-19 Patients and Their Correlation With Acute Respiratory Distress Syndrome and Outcome.新冠肺炎住院患者特殊凝血参数的前瞻性研究及其与急性呼吸窘迫综合征和预后的相关性
Cureus. 2021 Aug 26;13(8):e17463. doi: 10.7759/cureus.17463. eCollection 2021 Aug.
5
Pathological findings in organs and tissues of patients with COVID-19: A systematic review.COVID-19 患者器官和组织的病理学发现:系统评价。
PLoS One. 2021 Apr 28;16(4):e0250708. doi: 10.1371/journal.pone.0250708. eCollection 2021.
6
Therapeutic Potential of Targeting Plasminogen Activator Inhibitor-1 in COVID-19.靶向纤溶酶原激活物抑制剂-1在 COVID-19 中的治疗潜力。
Trends Pharmacol Sci. 2021 Jun;42(6):431-433. doi: 10.1016/j.tips.2021.03.006. Epub 2021 Mar 26.
7
Plasma tissue plasminogen activator and plasminogen activator inhibitor-1 in hospitalized COVID-19 patients.住院 COVID-19 患者的血浆组织型纤溶酶原激活物和纤溶酶原激活物抑制剂-1。
Sci Rep. 2021 Jan 15;11(1):1580. doi: 10.1038/s41598-020-80010-z.
8
Targeting coagulation activation in severe COVID-19 pneumonia: lessons from bacterial pneumonia and sepsis.靶向严重 COVID-19 肺炎的凝血激活:细菌性肺炎和脓毒症的经验教训。
Eur Respir Rev. 2020 Oct 1;29(157). doi: 10.1183/16000617.0240-2020. Print 2020 Sep 30.
9
Fibrinolysis and COVID-19: A plasmin paradox.纤溶与 COVID-19:纤溶酶悖论。
J Thromb Haemost. 2020 Sep;18(9):2118-2122. doi: 10.1111/jth.14960. Epub 2020 Jul 15.
10
Meta-Analysis of Preclinical Studies of Fibrinolytic Therapy for Acute Lung Injury.急性肺损伤纤溶治疗的临床前研究的荟萃分析。
Front Immunol. 2018 Aug 20;9:1898. doi: 10.3389/fimmu.2018.01898. eCollection 2018.
Nebulized heparin is associated with fewer days of mechanical ventilation in critically ill patients: a randomized controlled trial.
雾化肝素与危重症患者机械通气时间减少相关:一项随机对照试验。
Crit Care. 2010;14(5):R180. doi: 10.1186/cc9286. Epub 2010 Oct 11.
4
Nebulized anticoagulants limit pulmonary coagulopathy, but not inflammation, in a model of experimental lung injury.雾化抗凝剂可限制实验性肺损伤模型中的肺凝血功能障碍,但不能抑制炎症。
J Aerosol Med Pulm Drug Deliv. 2010 Apr;23(2):105-11. doi: 10.1089/jamp.2009.0779.
5
Neither fibrin nor plasminogen activator inhibitor-1 deficiency protects lung function in a mouse model of acute lung injury.在急性肺损伤小鼠模型中,纤维蛋白原和纤溶酶原激活物抑制剂-1缺乏均不能保护肺功能。
Am J Physiol Lung Cell Mol Physiol. 2009 Mar;296(3):L277-85. doi: 10.1152/ajplung.90475.2008. Epub 2008 Dec 5.
6
A phase 1 trial of nebulised heparin in acute lung injury.雾化肝素治疗急性肺损伤的1期试验。
Crit Care. 2008;12(3):R64. doi: 10.1186/cc6894. Epub 2008 May 6.
7
Transgenic tissue-type plasminogen activator expression improves host defense during Klebsiella pneumonia.转基因组织型纤溶酶原激活剂的表达可改善肺炎克雷伯菌肺炎期间的宿主防御能力。
J Thromb Haemost. 2008 Apr;6(4):660-8. doi: 10.1111/j.1538-7836.2008.02892.x. Epub 2008 Jan 9.
8
Antithrombin inhibits bronchoalveolar activation of coagulation and limits lung injury during Streptococcus pneumoniae pneumonia in rats.抗凝血酶可抑制大鼠肺炎链球菌肺炎期间支气管肺泡内的凝血激活,并限制肺损伤。
Crit Care Med. 2008 Jan;36(1):204-10. doi: 10.1097/01.CCM.0000292012.87482.F4.
9
Natural anticoagulants limit lipopolysaccharide-induced pulmonary coagulation but not inflammation.天然抗凝剂可限制脂多糖诱导的肺凝血,但不能限制炎症。
Eur Respir J. 2007 Sep;30(3):423-8. doi: 10.1183/09031936.00165606. Epub 2007 May 30.
10
Recombinant human activated protein C inhibits local and systemic activation of coagulation without influencing inflammation during Pseudomonas aeruginosa pneumonia in rats.重组人活化蛋白C在大鼠铜绿假单胞菌肺炎期间可抑制凝血的局部和全身激活,而不影响炎症反应。
Crit Care Med. 2007 May;35(5):1362-8. doi: 10.1097/01.CCM.0000261888.32654.6D.