• 文献检索
  • 文档翻译
  • 深度研究
  • 学术资讯
  • Suppr Zotero 插件Zotero 插件
  • 邀请有礼
  • 套餐&价格
  • 历史记录
应用&插件
Suppr Zotero 插件Zotero 插件浏览器插件Mac 客户端Windows 客户端微信小程序
定价
高级版会员购买积分包购买API积分包
服务
文献检索文档翻译深度研究API 文档MCP 服务
关于我们
关于 Suppr公司介绍联系我们用户协议隐私条款
关注我们

Suppr 超能文献

核心技术专利:CN118964589B侵权必究
粤ICP备2023148730 号-1Suppr @ 2026

文献检索

告别复杂PubMed语法,用中文像聊天一样搜索,搜遍4000万医学文献。AI智能推荐,让科研检索更轻松。

立即免费搜索

文件翻译

保留排版,准确专业,支持PDF/Word/PPT等文件格式,支持 12+语言互译。

免费翻译文档

深度研究

AI帮你快速写综述,25分钟生成高质量综述,智能提取关键信息,辅助科研写作。

立即免费体验

非洲用作抗糖尿病药用植物的几种葫芦科植物种子中的降血糖球蛋白。

Anti-hyperglycaemic globulins from selected Cucurbitaceae seeds used as antidiabetic medicinal plants in Africa.

机构信息

Department of Biochemistry, Faculty of Science, Laboratory of Phytobiochemistry and Medicinal Plants Studies, University of Yaoundé I, PO Box 812, Yaoundé, Cameroon.

出版信息

BMC Complement Altern Med. 2013 Mar 18;13:63. doi: 10.1186/1472-6882-13-63.

DOI:10.1186/1472-6882-13-63
PMID:23506532
原文链接:https://pmc.ncbi.nlm.nih.gov/articles/PMC3618205/
Abstract

BACKGROUND

The recent epidemic of diabetes mellitus (DM) in Africa, coupled with rampant poverty, is an indication of the urgent need to develop new efficacious, cheaper and more available drugs to face this growing public health challenge. A number of plants products among which the protein-rich Cucurbitaceae seeds are commonly used in traditional medicine with increasing acclaimed efficacy against DM. The aim of this study was to analyse and evaluate the hypoglycaemic activity of storage proteins of five species of Cucurbitaceae, which include Telfairia occidentalis, Citrullus lanatus, Lagenaria siceraria, Cucumeropsis mannii and Cucurbita moschata.

METHODS

The different families of storage proteins were extracted following differential solubility, and their contents were estimated using the Bradford method. The analysis of these proteins was done by electrophoresis in non-denaturing and denaturing conditions. The evaluation of hypoglycaemic properties of various globulins extracted was performed on male Wistar rats by the oral glucose tolerance test.

RESULTS

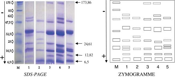
The results showed that among the proteins extracted, globulins constitute the most abundant class of storage proteins in all five species selected. Citrullus lanatus and Cucurbita moschata presented the highest levels of globulin (275.34 and 295.11 mg/g dry matter, respectively). The results of electrophoresis showed that all species possess acidic and neutrals albumins and globulins, with molecular weight of protein subunits ranging from 6.36-44.11 kDa for albumins, 6.5-173.86 kDa for globulins and 6.5-49.66 kDa for glutelins. The 6.36 kDa of albumin subunit protein and the 6.5 kDa of globulin subunit protein were present in all the species. The oral glucose tolerance test showed that the globulins of the seeds of all species except Cucumeropsis mannii caused significant drop in blood sugar (88 - 137.80%, compared to the controls, p<0.05).

CONCLUSIONS

These findings showed that the selected Cucurbitaceae seeds contained globulins with significant anti-hyperglycaemic activity. It is therefore highly encouraged to pursue investigations towards development of peptide-drugs and/or phytomedicines from these bioactive proteins which could be used as affordable alternative therapy against DM.

摘要

背景

近年来,非洲糖尿病(DM)的流行,加上猖獗的贫困,表明迫切需要开发新的有效、更便宜、更易得的药物来应对这一日益严重的公共卫生挑战。许多植物产品,包括富含蛋白质的葫芦科种子,在传统医学中被广泛使用,并对 DM 有着越来越高的疗效。本研究旨在分析和评估 5 种葫芦科植物的储存蛋白的降血糖活性,这 5 种植物包括 Telfairia occidentalis、Citrullus lanatus、Lagenaria siceraria、Cucumeropsis mannii 和 Cucurbita moschata。

方法

采用差异溶解度法提取不同的储存蛋白家族,并采用 Bradford 法估算其含量。通过非变性和变性条件下的电泳对这些蛋白质进行分析。通过口服葡萄糖耐量试验,在雄性 Wistar 大鼠上评价各种球蛋白提取物的降血糖特性。

结果

结果表明,在所选择的 5 种植物中,球蛋白是所有植物中最丰富的储存蛋白。Citrullus lanatus 和 Cucurbita moschata 球蛋白含量最高(分别为 275.34 和 295.11mg/g 干物质)。电泳结果表明,所有物种都含有酸性和中性白蛋白和球蛋白,白蛋白亚基的蛋白质分子量范围为 6.36-44.11kDa,球蛋白为 6.5-173.86kDa,谷蛋白为 6.5-49.66kDa。所有物种都存在 6.36kDa 的白蛋白亚基蛋白和 6.5kDa 的球蛋白亚基蛋白。口服葡萄糖耐量试验表明,除 Cucumeropsis mannii 外,所有物种的种子球蛋白均显著降低血糖(与对照组相比,88-137.80%,p<0.05)。

结论

这些发现表明,所选葫芦科种子含有具有显著降血糖活性的球蛋白。因此,强烈鼓励进一步研究从这些具有生物活性的蛋白质中开发肽类药物和/或植物药,作为治疗糖尿病的负担得起的替代疗法。

https://cdn.ncbi.nlm.nih.gov/pmc/blobs/12e7/3618205/06c1a79a3c5f/1472-6882-13-63-4.jpg
https://cdn.ncbi.nlm.nih.gov/pmc/blobs/12e7/3618205/94c43ceb4cad/1472-6882-13-63-1.jpg
https://cdn.ncbi.nlm.nih.gov/pmc/blobs/12e7/3618205/74dcd7fdd72f/1472-6882-13-63-2.jpg
https://cdn.ncbi.nlm.nih.gov/pmc/blobs/12e7/3618205/0a90b12f8af6/1472-6882-13-63-3.jpg
https://cdn.ncbi.nlm.nih.gov/pmc/blobs/12e7/3618205/06c1a79a3c5f/1472-6882-13-63-4.jpg
https://cdn.ncbi.nlm.nih.gov/pmc/blobs/12e7/3618205/94c43ceb4cad/1472-6882-13-63-1.jpg
https://cdn.ncbi.nlm.nih.gov/pmc/blobs/12e7/3618205/74dcd7fdd72f/1472-6882-13-63-2.jpg
https://cdn.ncbi.nlm.nih.gov/pmc/blobs/12e7/3618205/0a90b12f8af6/1472-6882-13-63-3.jpg
https://cdn.ncbi.nlm.nih.gov/pmc/blobs/12e7/3618205/06c1a79a3c5f/1472-6882-13-63-4.jpg

相似文献

1
Anti-hyperglycaemic globulins from selected Cucurbitaceae seeds used as antidiabetic medicinal plants in Africa.非洲用作抗糖尿病药用植物的几种葫芦科植物种子中的降血糖球蛋白。
BMC Complement Altern Med. 2013 Mar 18;13:63. doi: 10.1186/1472-6882-13-63.
2
Selected Species of the Cucurbitaceae Family Used in Mexico for the Treatment of Diabetes Mellitus.墨西哥用于治疗糖尿病的葫芦科植物的选定物种。
Molecules. 2022 May 26;27(11):3440. doi: 10.3390/molecules27113440.
3
Hypoglycemic effect of the seed extract of Telfairia occidentalis in rat.西非油瓜种子提取物对大鼠的降血糖作用
Pak J Biol Sci. 2007 Feb 1;10(3):498-501. doi: 10.3923/pjbs.2007.498.501.
4
D-chiro-inositol found in Cucurbita ficifolia (Cucurbitaceae) fruit extracts plays the hypoglycaemic role in streptozocin-diabetic rats.在黑籽南瓜(葫芦科)果实提取物中发现的D-手性肌醇对链脲佐菌素诱导的糖尿病大鼠具有降血糖作用。
J Pharm Pharmacol. 2006 Nov;58(11):1527-32. doi: 10.1211/jpp.58.10.0014.
5
Chemical composition of kernels from some species of Cucurbitaceae grown in Nigeria.尼日利亚种植的一些葫芦科物种种子的化学成分。
Plant Foods Hum Nutr. 1991 Jan;41(1):35-44. doi: 10.1007/BF02196380.
6
Amino acid profiling and antimicrobial activity of Cucurbita moschata and Lagenaria siceraria seed protein hydrolysates.南瓜和瓠瓜种子蛋白水解物的氨基酸分析及抗菌活性
Nat Prod Res. 2018 Sep;32(17):2050-2053. doi: 10.1080/14786419.2017.1359174. Epub 2017 Aug 8.
7
Complementary and comparative study on hypoglycemic and antihyperglycemic activity of various extracts of Eugenia jambolana seed, Momordica charantia fruits, Gymnema sylvestre, and Trigonella foenum graecum seeds in rats.比较研究不同提取物对糖尿病大鼠的降血糖和抗高血糖作用:余甘子种子、苦瓜果实、匙羹藤和胡芦巴种子的比较。
Appl Biochem Biotechnol. 2010 Apr;160(8):2388-400. doi: 10.1007/s12010-009-8799-1. Epub 2009 Nov 11.
8
Hypoglycaemic activity of ethyl acetate fraction of the leaf extract of Telfairia occidentalis.西非葫芦树叶提取物乙酸乙酯部位的降血糖活性
Pak J Pharm Sci. 2010 Jul;23(3):341-3.
9
Hypoglycemic and antihyperglycemic effects of diethyl ether fraction isolated from the aqueous extract of the leaves of Cogniauxia podoleana Baillon in normal and alloxan-induced diabetic rats.从波氏锥药木叶片水提取物中分离得到的乙醚部位对正常及四氧嘧啶诱导糖尿病大鼠的降血糖和抗高血糖作用
J Ethnopharmacol. 2004 Jun;92(2-3):229-32. doi: 10.1016/j.jep.2004.02.017.
10
Changes in nitrogenous and other chemical constituents, protein fractions and in vitro protein digestibility of germinating fluted pumpkin (Telfairia occidentalis Hook) seed.发芽的非洲角瓜(Telfairia occidentalis Hook)种子中含氮及其他化学成分、蛋白质组分和体外蛋白质消化率的变化
Plant Foods Hum Nutr. 1999;53(4):333-42. doi: 10.1023/a:1008049712256.

引用本文的文献

1
Comparative assessment of seed polypeptides toward the protection of human skin cells against oxidative stress-induced aging.种子多肽对保护人类皮肤细胞免受氧化应激诱导衰老的比较评估。
Front Nutr. 2023 Jan 4;9:1091499. doi: 10.3389/fnut.2022.1091499. eCollection 2022.
2
fruit: A review of its phytochemistry, pharmacology, and promising traditional uses.水果:对其植物化学、药理学及潜在传统用途的综述。
Front Nutr. 2022 Sep 16;9:927361. doi: 10.3389/fnut.2022.927361. eCollection 2022.
3
A Treatment to Cure Diabetes Using Plant-Based Drug Discovery.

本文引用的文献

1
Characterisation and functional properties of watermelon (Citrullus lanatus) seed proteins.西瓜(Citrullus lanatus)籽蛋白的特性和功能性质。
J Sci Food Agric. 2011 Jan 15;91(1):113-21. doi: 10.1002/jsfa.4160. Epub 2010 Sep 7.
2
Diabetes in sub-Saharan Africa.撒哈拉以南非洲的糖尿病问题。
Lancet. 2010 Jun 26;375(9733):2254-66. doi: 10.1016/S0140-6736(10)60550-8.
3
Metabolic syndrome, aging, physical inactivity, and incidence of type 2 diabetes in general African population.一般非洲人群中的代谢综合征、衰老、身体活动不足与 2 型糖尿病的发病。
一种利用基于植物的药物发现来治愈糖尿病的疗法。
Evid Based Complement Alternat Med. 2022 May 9;2022:8621665. doi: 10.1155/2022/8621665. eCollection 2022.
4
Contrasting Metabolic Fingerprints and Seed Protein Profiles of and Fruits from Feral Plants Sampled in Central Mexico.墨西哥中部野生植物中[具体植物名称1]和[具体植物名称2]果实的代谢指纹图谱与种子蛋白质谱对比
Plants (Basel). 2021 Nov 13;10(11):2451. doi: 10.3390/plants10112451.
5
Alleviates Chronic Unpredictable Mild Stress via Modulation of Apoptosis, Neurogenesis, and Gliosis in Rat Hippocampus.通过调节大鼠海马细胞凋亡、神经发生和神经胶质增生缓解慢性不可预测轻度应激。
Oxid Med Cell Longev. 2021 Jul 10;2021:6662649. doi: 10.1155/2021/6662649. eCollection 2021.
6
Plant-Derived Bioactive Peptides: A Treatment to Cure Diabetes.植物源生物活性肽:一种治疗糖尿病的方法。
Int J Pept Res Ther. 2020;26(2):955-968. doi: 10.1007/s10989-019-09899-z. Epub 2019 Jul 22.
7
Antidiabetic Potential of Medicinal Plants and Their Active Components.药用植物及其活性成分的降血糖潜力。
Biomolecules. 2019 Sep 30;9(10):551. doi: 10.3390/biom9100551.
8
Medicinal Plants Used for the Traditional Management of Diabetes in the Eastern Cape, South Africa: Pharmacology and Toxicology.南非东开普省用于传统糖尿病治疗的药用植物:药理学和毒理学。
Molecules. 2018 Oct 25;23(11):2759. doi: 10.3390/molecules23112759.
9
Amino acid composition, antioxidant and functional properties of protein hydrolysates from Cucurbitaceae seeds.葫芦科种子蛋白水解物的氨基酸组成、抗氧化及功能特性
J Food Sci Technol. 2017 Dec;54(13):4162-4172. doi: 10.1007/s13197-017-2855-6. Epub 2017 Oct 12.
10
Cucurbitaceae Seed Protein Hydrolysates as a Potential Source of Bioactive Peptides with Functional Properties.葫芦科种子蛋白水解物作为具有功能特性的生物活性肽的潜在来源。
Biomed Res Int. 2017;2017:2121878. doi: 10.1155/2017/2121878. Epub 2017 Oct 17.
Diab Vasc Dis Res. 2010 Jan;7(1):28-39. doi: 10.1177/1479164109346362. Epub 2009 Oct 28.
4
Oral glucose tolerance test (OGTT) in normal control and glucose induced hyperglycemic rats with Coccinia cordifolia l. and Catharanthus roseus L.正常对照组以及使用心叶栝楼和长春花诱导血糖升高的大鼠的口服葡萄糖耐量试验(OGTT)
Pak J Pharm Sci. 2009 Oct;22(4):402-4.
5
Hypoglycemic effect of the seed extract of Telfairia occidentalis in rat.西非油瓜种子提取物对大鼠的降血糖作用
Pak J Biol Sci. 2007 Feb 1;10(3):498-501. doi: 10.3923/pjbs.2007.498.501.
6
[Storage proteins from seeds of Pinus pinea L].[来自意大利石松种子的贮藏蛋白]
C R Biol. 2007 May;330(5):402-9. doi: 10.1016/j.crvi.2007.03.011. Epub 2007 May 9.
7
Hypoglycaemic and hypotensive effects of Momordica charantia Linn (Cucurbitaceae) whole-plant aqueous extract in rats.苦瓜(葫芦科)全株水提取物对大鼠的降血糖和降压作用。
Cardiovasc J S Afr. 2006 Sep-Oct;17(5):227-32.
8
Insulin treatment in type 1 diabetes.1型糖尿病的胰岛素治疗。
Endocr Pract. 2006 Jan-Feb;12 Suppl 1:105-9. doi: 10.4158/EP.12.S1.105.
9
Hepatoprotective property of ethanolic and aqueous extracts of fluted pumpkin (Telfairia occidentalis) leaves against garlic-induced oxidative stress.槽籽南瓜(Telfairia occidentalis)叶乙醇提取物和水提取物对大蒜诱导的氧化应激的保肝特性
J Med Food. 2005 Winter;8(4):560-3. doi: 10.1089/jmf.2005.8.560.
10
Isolation of cucurmoschin, a novel antifungal peptide abundant in arginine, glutamate and glycine residues from black pumpkin seeds.从黑南瓜籽中分离出葫芦苦瓜素,一种富含精氨酸、谷氨酸和甘氨酸残基的新型抗真菌肽。
Peptides. 2003 Jul;24(7):969-72. doi: 10.1016/s0196-9781(03)00191-8.