Suppr超能文献

氧张力调节人内皮细胞中血小板衍生生长因子-B链基因的表达。

Oxygen tension regulates the expression of the platelet-derived growth factor-B chain gene in human endothelial cells.

作者信息

Kourembanas S, Hannan R L, Faller D V

机构信息

Dana Farber Cancer Institute, Boston, MA 02115.

出版信息

J Clin Invest. 1990 Aug;86(2):670-4. doi: 10.1172/JCI114759.

Abstract

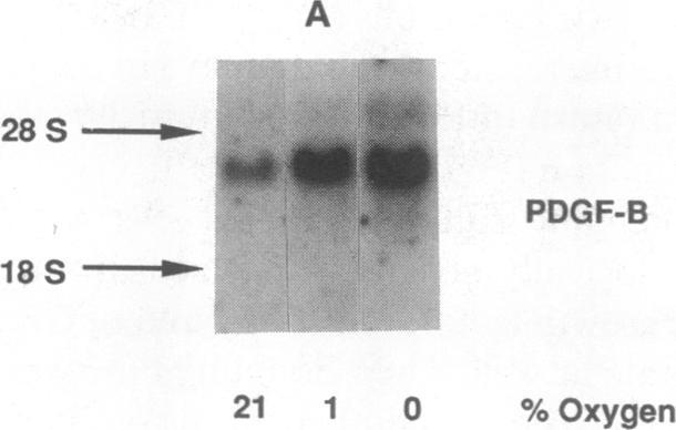
Hypoxic states are associated with abnormal proliferation and constriction of the smooth muscle cells surrounding the distal vessels of the lung. In hypoxic as well as in normal states, the endothelial cell layer may play a key role in controlling smooth muscle tone by secreting a number of vasoactive agents. Platelet-derived growth factor (PDGF), produced by endothelial cells, is a major growth factor for vascular smooth muscle cells and a powerful vasoconstrictor. It consists of a disulfide-linked dimer of two related peptides, A and B, that are products of two different genes. We found that hypoxic conditions (0-3% oxygen environments) significantly increased PDGF-B mRNA in cultured human umbilical vein endothelial cells by enhancing the transcriptional rate of this gene. This increase was inversely proportional to oxygen tension and was reversible upon reexposure of cells to a 21% oxygen atmosphere. mRNA levels of PDGF-A were not affected nor was the overall rate of cellular gene transcription increased in response to hypoxia. These studies indicate that endothelial cells are not only capable of sensing oxygen tension, but are also able to discriminate and respond to even small differences in oxygen tension resulting in dramatic upregulation of the PDGF-B chain gene.

摘要

缺氧状态与肺远端血管周围平滑肌细胞的异常增殖和收缩有关。在缺氧和正常状态下,内皮细胞层可能通过分泌多种血管活性物质在控制平滑肌张力方面发挥关键作用。内皮细胞产生的血小板衍生生长因子(PDGF)是血管平滑肌细胞的主要生长因子,也是一种强大的血管收缩剂。它由两个相关肽A和B通过二硫键连接的二聚体组成,这两个肽是两个不同基因的产物。我们发现,缺氧条件(0 - 3%氧气环境)通过提高该基因的转录速率,显著增加了培养的人脐静脉内皮细胞中PDGF - B mRNA的水平。这种增加与氧张力成反比,并且在细胞重新暴露于21%氧气气氛后是可逆的。PDGF - A的mRNA水平不受影响,并且细胞基因转录的总体速率也不会因缺氧而增加。这些研究表明,内皮细胞不仅能够感知氧张力,而且还能够区分并对氧张力的微小差异做出反应,从而导致PDGF - B链基因的显著上调。

https://cdn.ncbi.nlm.nih.gov/pmc/blobs/25d8/296775/d691bad25c96/jcinvest00074-0299-a.jpg

文献检索

告别复杂PubMed语法,用中文像聊天一样搜索,搜遍4000万医学文献。AI智能推荐,让科研检索更轻松。

立即免费搜索

文件翻译

保留排版,准确专业,支持PDF/Word/PPT等文件格式,支持 12+语言互译。

免费翻译文档

深度研究

AI帮你快速写综述,25分钟生成高质量综述,智能提取关键信息,辅助科研写作。

立即免费体验