Suppr超能文献

口腔鳞状细胞癌组织学分级中基底膜层粘连蛋白的免疫组织化学表达:一项半定量分析。

Immunohistochemical expression of basement membrane laminin in histological grades of oral squamous cell carcinoma: A semiquantitative analysis.

作者信息

Shruthy R, Sharada P, Swaminathan Uma, Nagamalini Br

机构信息

Department of Oral and Maxillofacial Pathology, Sharavathi Dental College and Hospital, Shimoga, Karnataka, India.

出版信息

J Oral Maxillofac Pathol. 2013 May;17(2):185-9. doi: 10.4103/0973-029X.119755.

Abstract

BACKGROUND AND OBJECTIVES

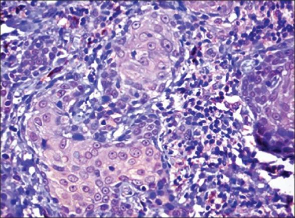
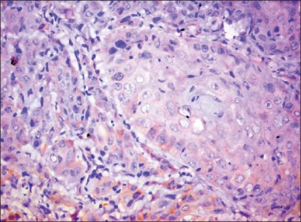
To determine the immunohistochemical (IHC) localization of basement membrane component laminin in histological grades of oral squamous cell carcinoma (OSCC). The purpose of this study was to demonstrate the loss of continuity of the basement membrane in OSCC using an antibody directed against laminin using advanced polymer staining system.

MATERIALS AND METHODS

A total of 30 cases of OSCC: 10 cases of well differentiated squamous cell carcinom (WDSCC), 10 cases of moderately differentiated squamous cell carcinoma (MDSCC), and 10 cases of poorly differentiated squamous cell carcinoma (PDSCC) were subjected to heat-induced antigen retrieval method using ethylene-di-amine-tetraacetic acid buffer in a microwave oven. Then the sections were stained with anti-laminin polyclonal antibody and visualized using super sensitive polymer horseradish peroxidase detection system. In each case, the integrity of the basement membrane laminin was assessed by using statistical analysis.

RESULTS

Statistical analysis showed a decreased distribution of laminin from WDSCC to MDSCC to PDSCC (P value 0.0573). The intracytoplasmic staining of laminin gradually increased from WDSCC to MDSCC to PDSCC (P value 0.0198).

INTERPRETATION AND CONCLUSION

WDSCC cases showed more laminin expression in basement membrane around the tumor islands and less loss of continuity compared to MDSCC and PDSCC cases suggesting a greater enzymatic degradation of basement membrane components in MDSCC and PDSCC than WDSCC. The loss of structural basement membrane laminin and the presence of laminin in the tumor cells of PDSCC cases suggest that laminin helps in tumor invasion. The expression of laminin in the basement membrane may be a useful parameter to evaluate tumor histologic differentiation and aggressiveness.

摘要

背景与目的

确定基底膜成分层粘连蛋白在口腔鳞状细胞癌(OSCC)组织学分级中的免疫组化(IHC)定位。本研究的目的是使用针对层粘连蛋白的抗体和先进的聚合物染色系统,证明OSCC中基底膜连续性的丧失。

材料与方法

共30例OSCC病例,其中高分化鳞状细胞癌(WDSCC)10例、中分化鳞状细胞癌(MDSCC)10例、低分化鳞状细胞癌(PDSCC)10例,在微波炉中使用乙二胺四乙酸缓冲液进行热诱导抗原修复。然后用抗层粘连蛋白多克隆抗体对切片进行染色,并使用超敏聚合物辣根过氧化物酶检测系统进行显色。在每个病例中,通过统计分析评估基底膜层粘连蛋白的完整性。

结果

统计分析显示,从WDSCC到MDSCC再到PDSCC,层粘连蛋白的分布减少(P值为0.0573)。从WDSCC到MDSCC再到PDSCC,层粘连蛋白的胞内染色逐渐增加(P值为0.0198)。

解读与结论

与MDSCC和PDSCC病例相比,WDSCC病例在肿瘤岛周围的基底膜中层粘连蛋白表达更多,连续性丧失更少,这表明MDSCC和PDSCC中基底膜成分的酶促降解比WDSCC更大。PDSCC病例中基底膜层粘连蛋白结构的丧失以及肿瘤细胞中层粘连蛋白的存在表明层粘连蛋白有助于肿瘤侵袭。基底膜中层粘连蛋白的表达可能是评估肿瘤组织学分化和侵袭性的一个有用参数。

https://cdn.ncbi.nlm.nih.gov/pmc/blobs/49b3/3830224/c9d4460522c7/JOMFP-17-185-g001.jpg

文献检索

告别复杂PubMed语法,用中文像聊天一样搜索,搜遍4000万医学文献。AI智能推荐,让科研检索更轻松。

立即免费搜索

文件翻译

保留排版,准确专业,支持PDF/Word/PPT等文件格式,支持 12+语言互译。

免费翻译文档

深度研究

AI帮你快速写综述,25分钟生成高质量综述,智能提取关键信息,辅助科研写作。

立即免费体验