• 文献检索
  • 文档翻译
  • 深度研究
  • 学术资讯
  • Suppr Zotero 插件Zotero 插件
  • 邀请有礼
  • 套餐&价格
  • 历史记录
应用&插件
Suppr Zotero 插件Zotero 插件浏览器插件Mac 客户端Windows 客户端微信小程序
定价
高级版会员购买积分包购买API积分包
服务
文献检索文档翻译深度研究API 文档MCP 服务
关于我们
关于 Suppr公司介绍联系我们用户协议隐私条款
关注我们

Suppr 超能文献

核心技术专利:CN118964589B侵权必究
粤ICP备2023148730 号-1Suppr @ 2026

文献检索

告别复杂PubMed语法,用中文像聊天一样搜索,搜遍4000万医学文献。AI智能推荐,让科研检索更轻松。

立即免费搜索

文件翻译

保留排版,准确专业,支持PDF/Word/PPT等文件格式,支持 12+语言互译。

免费翻译文档

深度研究

AI帮你快速写综述,25分钟生成高质量综述,智能提取关键信息,辅助科研写作。

立即免费体验

利用脑部CT图像自动勾勒中风病灶

Automated delineation of stroke lesions using brain CT images.

作者信息

Gillebert Céline R, Humphreys Glyn W, Mantini Dante

机构信息

Department of Experimental Psychology, University of Oxford, Oxford, UK.

Department of Experimental Psychology, University of Oxford, Oxford, UK ; Department of Health Sciences and Technology, ETH Zürich, Switzerland.

出版信息

Neuroimage Clin. 2014 Mar 21;4:540-8. doi: 10.1016/j.nicl.2014.03.009. eCollection 2014.

DOI:10.1016/j.nicl.2014.03.009
PMID:24818079
原文链接:https://pmc.ncbi.nlm.nih.gov/articles/PMC3984449/
Abstract

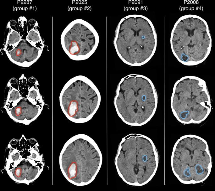
Computed tomographic (CT) images are widely used for the identification of abnormal brain tissue following infarct and hemorrhage in stroke. Manual lesion delineation is currently the standard approach, but is both time-consuming and operator-dependent. To address these issues, we present a method that can automatically delineate infarct and hemorrhage in stroke CT images. The key elements of this method are the accurate normalization of CT images from stroke patients into template space and the subsequent voxelwise comparison with a group of control CT images for defining areas with hypo- or hyper-intense signals. Our validation, using simulated and actual lesions, shows that our approach is effective in reconstructing lesions resulting from both infarct and hemorrhage and yields lesion maps spatially consistent with those produced manually by expert operators. A limitation is that, relative to manual delineation, there is reduced sensitivity of the automated method in regions close to the ventricles and the brain contours. However, the automated method presents a number of benefits in terms of offering significant time savings and the elimination of the inter-operator differences inherent to manual tracing approaches. These factors are relevant for the creation of large-scale lesion databases for neuropsychological research. The automated delineation of stroke lesions from CT scans may also enable longitudinal studies to quantify changes in damaged tissue in an objective and reproducible manner.

摘要

计算机断层扫描(CT)图像被广泛用于识别中风后梗死和出血导致的异常脑组织。目前手动勾勒病变是标准方法,但既耗时又依赖操作人员。为了解决这些问题,我们提出了一种能够自动勾勒中风CT图像中梗死和出血区域的方法。该方法的关键要素是将中风患者的CT图像准确归一化到模板空间,并随后与一组对照CT图像进行逐体素比较,以确定信号强度减低或增高的区域。我们使用模拟病变和实际病变进行的验证表明,我们的方法在重建梗死和出血导致的病变方面是有效的,并且生成的病变图在空间上与专家操作人员手动生成的病变图一致。一个局限性是,相对于手动勾勒,自动方法在靠近脑室和脑轮廓的区域灵敏度降低。然而,自动方法在节省大量时间以及消除手动追踪方法固有的操作人员间差异方面具有诸多优势。这些因素对于创建用于神经心理学研究的大规模病变数据库具有重要意义。从CT扫描中自动勾勒中风病变还可能使纵向研究能够以客观且可重复的方式量化受损组织的变化。

https://cdn.ncbi.nlm.nih.gov/pmc/blobs/e0b3/3984449/80411343faa9/gr9.jpg
https://cdn.ncbi.nlm.nih.gov/pmc/blobs/e0b3/3984449/aacee070e301/gr1.jpg
https://cdn.ncbi.nlm.nih.gov/pmc/blobs/e0b3/3984449/5d2ab257c93e/gr2.jpg
https://cdn.ncbi.nlm.nih.gov/pmc/blobs/e0b3/3984449/f4ba6b2d8989/gr3.jpg
https://cdn.ncbi.nlm.nih.gov/pmc/blobs/e0b3/3984449/266f139aa0d4/gr4.jpg
https://cdn.ncbi.nlm.nih.gov/pmc/blobs/e0b3/3984449/3ddc102d3a6d/gr5.jpg
https://cdn.ncbi.nlm.nih.gov/pmc/blobs/e0b3/3984449/c639c561511d/gr6.jpg
https://cdn.ncbi.nlm.nih.gov/pmc/blobs/e0b3/3984449/007c3051be67/gr7.jpg
https://cdn.ncbi.nlm.nih.gov/pmc/blobs/e0b3/3984449/e9b05b651813/gr8.jpg
https://cdn.ncbi.nlm.nih.gov/pmc/blobs/e0b3/3984449/80411343faa9/gr9.jpg
https://cdn.ncbi.nlm.nih.gov/pmc/blobs/e0b3/3984449/aacee070e301/gr1.jpg
https://cdn.ncbi.nlm.nih.gov/pmc/blobs/e0b3/3984449/5d2ab257c93e/gr2.jpg
https://cdn.ncbi.nlm.nih.gov/pmc/blobs/e0b3/3984449/f4ba6b2d8989/gr3.jpg
https://cdn.ncbi.nlm.nih.gov/pmc/blobs/e0b3/3984449/266f139aa0d4/gr4.jpg
https://cdn.ncbi.nlm.nih.gov/pmc/blobs/e0b3/3984449/3ddc102d3a6d/gr5.jpg
https://cdn.ncbi.nlm.nih.gov/pmc/blobs/e0b3/3984449/c639c561511d/gr6.jpg
https://cdn.ncbi.nlm.nih.gov/pmc/blobs/e0b3/3984449/007c3051be67/gr7.jpg
https://cdn.ncbi.nlm.nih.gov/pmc/blobs/e0b3/3984449/e9b05b651813/gr8.jpg
https://cdn.ncbi.nlm.nih.gov/pmc/blobs/e0b3/3984449/80411343faa9/gr9.jpg

相似文献

1
Automated delineation of stroke lesions using brain CT images.利用脑部CT图像自动勾勒中风病灶
Neuroimage Clin. 2014 Mar 21;4:540-8. doi: 10.1016/j.nicl.2014.03.009. eCollection 2014.
2
Automated cerebral infarct volume measurement in follow-up noncontrast CT scans of patients with acute ischemic stroke.急性缺血性脑卒中患者随访时非增强 CT 扫描的自动脑梗死体积测量。
AJNR Am J Neuroradiol. 2013 Aug;34(8):1522-7. doi: 10.3174/ajnr.A3463. Epub 2013 Mar 7.
3
Quantifying the accuracy of automated structure segmentation in 4D CT images using a deformable image registration algorithm.使用可变形图像配准算法量化4D CT图像中自动结构分割的准确性。
Med Phys. 2008 Apr;35(4):1251-60. doi: 10.1118/1.2839120.
4
Decomposing the Hounsfield unit: probabilistic segmentation of brain tissue in computed tomography.分解 Hounsfield 单位:计算机断层扫描中脑组织的概率分割。
Clin Neuroradiol. 2012 Mar;22(1):79-91. doi: 10.1007/s00062-011-0123-0. Epub 2012 Jan 21.
5
Development and validation of intracranial thrombus segmentation on CT angiography in patients with acute ischemic stroke.急性缺血性脑卒中患者CT血管造影颅内血栓分割的开发与验证
PLoS One. 2014 Jul 17;9(7):e101985. doi: 10.1371/journal.pone.0101985. eCollection 2014.
6
Comparison of manual, semi- and fully automated heart segmentation for assessing global left ventricular function in multidetector computed tomography.多排螺旋计算机断层扫描中手动、半自动和全自动心脏分割用于评估左心室整体功能的比较。
Invest Radiol. 2009 Aug;44(8):476-82. doi: 10.1097/RLI.0b013e3181aaf4e1.
7
Accuracy of automated software-guided detection of significant coronary artery stenosis by CT angiography: comparison with invasive catheterisation.CT 血管造影术自动软件引导检测显著冠状动脉狭窄的准确性:与有创导管检查的比较。
Eur Radiol. 2013 May;23(5):1218-25. doi: 10.1007/s00330-012-2717-6. Epub 2012 Dec 4.
8
Semiautomatic segmentation of liver metastases on volumetric CT images.基于容积CT图像的肝脏转移瘤半自动分割
Med Phys. 2015 Nov;42(11):6283-93. doi: 10.1118/1.4932365.
9
Smoothing lung segmentation surfaces in three-dimensional X-ray CT images using anatomic guidance.利用解剖学引导在三维X射线CT图像中平滑肺部分割表面
Acad Radiol. 2005 Dec;12(12):1502-11. doi: 10.1016/j.acra.2005.08.008.
10
Automatic model-guided segmentation of the human brain ventricular system from CT images.基于模型的自动分割人脑脑室系统的 CT 图像
Acad Radiol. 2010 Jun;17(6):718-26. doi: 10.1016/j.acra.2010.02.013.

引用本文的文献

1
Tissue Is the Issue: A Systematic Review of Methods for the Determination of Infarct Volume in Acute Ischaemic Stroke.组织是关键:急性缺血性卒中梗死体积测定方法的系统评价
Brain Sci. 2025 May 28;15(6):583. doi: 10.3390/brainsci15060583.
2
Artificial intelligence in medical imaging: From task-specific models to large-scale foundation models.医学影像中的人工智能:从特定任务模型到大规模基础模型。
Chin Med J (Engl). 2025 Mar 20;138(6):651-663. doi: 10.1097/CM9.0000000000003489. Epub 2025 Feb 26.
3
[F]FDG PET/CT versus [F]FDG PET/MRI in the diagnosis of lymph node metastasis in nasopharyngeal carcinoma: a systematic review and meta-analysis.

本文引用的文献

1
Medical image analysis methods in MR/CT-imaged acute-subacute ischemic stroke lesion: Segmentation, prediction and insights into dynamic evolution simulation models. A critical appraisal.MR/CT 影像急性-亚急性缺血性脑卒中病灶的医学影像分析方法:分割、预测和对动态演变模拟模型的深入了解。批判性评价。
Neuroimage Clin. 2012 Oct 17;1(1):164-78. doi: 10.1016/j.nicl.2012.10.003. eCollection 2012.
2
Parietal substrates for dimensional effects in visual search: evidence from lesion-symptom mapping.顶叶在视觉搜索中对维度效应的作用:来自病变-症状映射的证据。
Brain. 2013 Mar;136(Pt 3):751-60. doi: 10.1093/brain/awt003. Epub 2013 Feb 11.
3
[F]氟代脱氧葡萄糖正电子发射断层扫描/计算机断层扫描(FDG PET/CT)与[F]氟代脱氧葡萄糖正电子发射断层扫描/磁共振成像(FDG PET/MRI)在鼻咽癌淋巴结转移诊断中的比较:一项系统评价和荟萃分析
Front Med (Lausanne). 2024 Oct 16;11:1450526. doi: 10.3389/fmed.2024.1450526. eCollection 2024.
4
A 25-Year Retrospective of the Use of AI for Diagnosing Acute Stroke: Systematic Review.25 年来 AI 用于诊断急性中风的回顾:系统评价。
J Med Internet Res. 2024 Sep 10;26:e59711. doi: 10.2196/59711.
5
Taxonomy of Acute Stroke: Imaging, Processing, and Treatment.急性中风的分类:成像、处理与治疗
Diagnostics (Basel). 2024 May 19;14(10):1057. doi: 10.3390/diagnostics14101057.
6
Novel artificial intelligence-based hypodensity detection tool improves clinician identification of hypodensity on non-contrast computed tomography in stroke patients.新型基于人工智能的低密度检测工具可提高临床医生对中风患者非增强计算机断层扫描中低密度的识别能力。
Front Neurol. 2024 Feb 15;15:1359775. doi: 10.3389/fneur.2024.1359775. eCollection 2024.
7
Stroke-GFCN: ischemic stroke lesion prediction with a fully convolutional graph network.中风-全卷积图网络:基于全卷积图网络的缺血性中风病变预测
J Med Imaging (Bellingham). 2023 Jul;10(4):044502. doi: 10.1117/1.JMI.10.4.044502. Epub 2023 Jul 17.
8
A comparison of lesion mapping analyses based on CT versus MR imaging in stroke.基于 CT 与 MR 成像的脑卒中病灶定位分析比较。
Neuropsychologia. 2023 Jun 6;184:108564. doi: 10.1016/j.neuropsychologia.2023.108564. Epub 2023 Apr 15.
9
Automated estimation of ischemic core volume on noncontrast-enhanced CT via machine learning.通过机器学习在非增强CT上自动估计缺血核心体积
Interv Neuroradiol. 2025 Feb;31(1):32-41. doi: 10.1177/15910199221145487. Epub 2022 Dec 26.
10
Automatic identification of early ischemic lesions on non-contrast CT with deep learning approach.采用深度学习方法在非增强CT上自动识别早期缺血性病变。
Sci Rep. 2022 Oct 27;12(1):18054. doi: 10.1038/s41598-022-22939-x.
Age-specific CT and MRI templates for spatial normalization.
特定年龄的 CT 和 MRI 模板用于空间标准化。
Neuroimage. 2012 Jul 16;61(4):957-65. doi: 10.1016/j.neuroimage.2012.03.020. Epub 2012 Mar 13.
4
Analysis of automated methods for spatial normalization of lesioned brains.损伤大脑的空间标准化自动化方法分析。
Neuroimage. 2012 Apr 2;60(2):1296-306. doi: 10.1016/j.neuroimage.2012.01.094. Epub 2012 Jan 28.
5
The neural correlates of inner speech defined by voxel-based lesion-symptom mapping.基于体素的病灶-症状映射定义的内言语的神经相关性。
Brain. 2011 Oct;134(Pt 10):3071-82. doi: 10.1093/brain/awr232.
6
Manual, semi-automated, and automated delineation of chronic brain lesions: a comparison of methods.手动、半自动和自动勾画慢性脑病变:方法比较。
Neuroimage. 2011 Jun 15;56(4):2038-46. doi: 10.1016/j.neuroimage.2011.04.014. Epub 2011 Apr 14.
7
Comparing a single case to a control sample: testing for neuropsychological deficits and dissociations in the presence of covariates.将单个病例与对照样本进行比较:在存在协变量的情况下测试神经心理缺陷和分离。
Cortex. 2011 Nov-Dec;47(10):1166-78. doi: 10.1016/j.cortex.2011.02.017. Epub 2011 Mar 5.
8
Ventricle Boundary in CT: Partial Volume Effect and Local Thresholds.CT中的心室边界:部分容积效应与局部阈值
Int J Biomed Imaging. 2010;2010:674582. doi: 10.1155/2010/674582. Epub 2010 May 17.
9
Evaluation of volume-based and surface-based brain image registration methods.基于体积和基于表面的脑图像配准方法的评估。
Neuroimage. 2010 May 15;51(1):214-20. doi: 10.1016/j.neuroimage.2010.01.091. Epub 2010 Feb 1.
10
A method for automatic detection and classification of stroke from brain CT images.一种从脑部CT图像中自动检测和分类中风的方法。
Annu Int Conf IEEE Eng Med Biol Soc. 2009;2009:3581-4. doi: 10.1109/IEMBS.2009.5335289.