• 文献检索
  • 文档翻译
  • 深度研究
  • 学术资讯
  • Suppr Zotero 插件Zotero 插件
  • 邀请有礼
  • 套餐&价格
  • 历史记录
应用&插件
Suppr Zotero 插件Zotero 插件浏览器插件Mac 客户端Windows 客户端微信小程序
定价
高级版会员购买积分包购买API积分包
服务
文献检索文档翻译深度研究API 文档MCP 服务
关于我们
关于 Suppr公司介绍联系我们用户协议隐私条款
关注我们

Suppr 超能文献

核心技术专利:CN118964589B侵权必究
粤ICP备2023148730 号-1Suppr @ 2026

文献检索

告别复杂PubMed语法,用中文像聊天一样搜索,搜遍4000万医学文献。AI智能推荐,让科研检索更轻松。

立即免费搜索

文件翻译

保留排版,准确专业,支持PDF/Word/PPT等文件格式,支持 12+语言互译。

免费翻译文档

深度研究

AI帮你快速写综述,25分钟生成高质量综述,智能提取关键信息,辅助科研写作。

立即免费体验

高迁移率族蛋白B1(HMGB1)参与酒精性肝病(ALD)的发病机制。

High mobility group box-1 (HMGB1) participates in the pathogenesis of alcoholic liver disease (ALD).

作者信息

Ge Xiaodong, Antoine Daniel J, Lu Yongke, Arriazu Elena, Leung Tung-Ming, Klepper Arielle L, Branch Andrea D, Fiel Maria Isabel, Nieto Natalia

机构信息

Division of Liver Diseases, Department of Medicine and Icahn School of Medicine at Mount Sinai, New York, New York 10029.

Medical Research Council Centre for Drug Safety Science, Molecular and Clinical Pharmacology, University of Liverpool, Sherrington Buildings, Ashton Street, Liverpool L69 3GE, United Kingdom.

出版信息

J Biol Chem. 2014 Aug 15;289(33):22672-22691. doi: 10.1074/jbc.M114.552141. Epub 2014 Jun 13.

DOI:10.1074/jbc.M114.552141
PMID:24928512
原文链接:https://pmc.ncbi.nlm.nih.gov/articles/PMC4132775/
Abstract

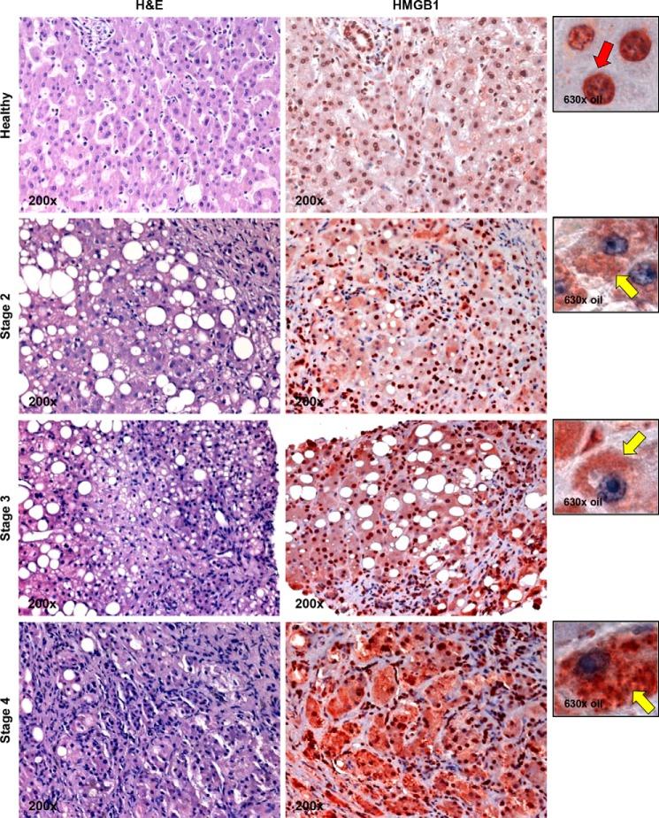
Growing clinical and experimental evidence suggests that sterile inflammation contributes to alcoholic liver disease (ALD). High mobility group box-1 (HMGB1) is highly induced during liver injury; however, a link between this alarmin and ALD has not been established. Thus, the aim of this work was to determine whether HMGB1 contributes to the pathogenesis of ALD. Liver biopsies from patients with ALD showed a robust increase in HMGB1 expression and translocation, which correlated with disease stage, compared with healthy explants. Similar findings were observed in chronic ethanol-fed wild-type (WT) mice. Using primary cell culture, we validated the ability of hepatocytes from ethanol-fed mice to secrete a large amount of HMGB1. Secretion was time- and dose-dependent and responsive to prooxidants and antioxidants. Selective ablation of Hmgb1 in hepatocytes protected mice from alcohol-induced liver injury due to increased carnitine palmitoyltransferase-1, phosphorylated 5'AMP-activated protein kinase-α, and phosphorylated peroxisome proliferator-activated receptor-α expression along with elevated LDL plus VLDL export. Native and post-translationally modified HMGB1 were detected in humans and mice with ALD. In liver and serum from control mice and in serum from healthy volunteers, the lysine residues within the peptides containing nuclear localization signals (NLSs) 1 and 2 were non-acetylated, and all cysteine residues were reduced. However, in livers from ethanol-fed mice, in addition to all thiol/non-acetylated isoforms of HMGB1, we observed acetylated NLS1 and NLS2, a unique phosphorylation site in serine 35, and an increase in oxidation of HMGB1 to the disulfide isoform. In serum from ethanol-fed mice and from patients with ALD, there was disulfide-bonded hyperacetylated HMGB1, disulfide-bonded non-acetylated HMGB1, and HMGB1 phosphorylated in serine 35. Hepatocytes appeared to be a major source of these HMGB1 isoforms. Thus, hepatocyte HMGB1 participates in the pathogenesis of ALD and undergoes post-translational modifications (PTMs) that could condition its toxic effects.

摘要

越来越多的临床和实验证据表明,无菌性炎症会导致酒精性肝病(ALD)。高迁移率族蛋白B1(HMGB1)在肝脏损伤期间被高度诱导;然而,这种警报素与ALD之间的联系尚未确立。因此,这项工作的目的是确定HMGB1是否参与ALD的发病机制。与健康肝组织相比,ALD患者的肝活检显示HMGB1表达和转位显著增加,且与疾病阶段相关。在慢性乙醇喂养的野生型(WT)小鼠中也观察到了类似的结果。使用原代细胞培养,我们验证了乙醇喂养小鼠的肝细胞分泌大量HMGB1的能力。分泌具有时间和剂量依赖性,并且对促氧化剂和抗氧化剂有反应。肝细胞中Hmgb1的选择性缺失可保护小鼠免受酒精诱导的肝损伤,这是由于肉碱棕榈酰转移酶-1、磷酸化的5'-AMP激活蛋白激酶-α和磷酸化的过氧化物酶体增殖物激活受体-α表达增加以及低密度脂蛋白(LDL)和极低密度脂蛋白(VLDL)输出升高所致。在患有ALD的人类和小鼠中检测到了天然和翻译后修饰的HMGB1。在对照小鼠的肝脏和血清以及健康志愿者的血清中,含有核定位信号(NLS)1和2的肽段内的赖氨酸残基未被乙酰化,所有半胱氨酸残基均处于还原状态。然而,在乙醇喂养小鼠的肝脏中,除了所有硫醇/未乙酰化的HMGB1异构体之外,我们还观察到乙酰化的NLS1和NLS2、丝氨酸35处的一个独特磷酸化位点以及HMGB1氧化为二硫键异构体的增加。在乙醇喂养小鼠和ALD患者的血清中,存在二硫键结合的高乙酰化HMGB1、二硫键结合的未乙酰化HMGB1以及丝氨酸35处磷酸化的HMGB1。肝细胞似乎是这些HMGB1异构体的主要来源。因此,肝细胞HMGB1参与ALD的发病机制,并经历可能影响其毒性作用的翻译后修饰(PTM)。

https://cdn.ncbi.nlm.nih.gov/pmc/blobs/2dfe/4132775/a333fe0488ee/zbc0351491580008.jpg
https://cdn.ncbi.nlm.nih.gov/pmc/blobs/2dfe/4132775/6ec7f2967ec9/zbc0351491580001.jpg
https://cdn.ncbi.nlm.nih.gov/pmc/blobs/2dfe/4132775/dba2d03db150/zbc0351491580002.jpg
https://cdn.ncbi.nlm.nih.gov/pmc/blobs/2dfe/4132775/dae9617f38e4/zbc0351491580003.jpg
https://cdn.ncbi.nlm.nih.gov/pmc/blobs/2dfe/4132775/3e400d09fb5a/zbc035149158004a.jpg
https://cdn.ncbi.nlm.nih.gov/pmc/blobs/2dfe/4132775/f301a70f6312/zbc035149158005a.jpg
https://cdn.ncbi.nlm.nih.gov/pmc/blobs/2dfe/4132775/198bbfe9f4c1/zbc035149158006a.jpg
https://cdn.ncbi.nlm.nih.gov/pmc/blobs/2dfe/4132775/5fa2692241d5/zbc0351491580007.jpg
https://cdn.ncbi.nlm.nih.gov/pmc/blobs/2dfe/4132775/a333fe0488ee/zbc0351491580008.jpg
https://cdn.ncbi.nlm.nih.gov/pmc/blobs/2dfe/4132775/6ec7f2967ec9/zbc0351491580001.jpg
https://cdn.ncbi.nlm.nih.gov/pmc/blobs/2dfe/4132775/dba2d03db150/zbc0351491580002.jpg
https://cdn.ncbi.nlm.nih.gov/pmc/blobs/2dfe/4132775/dae9617f38e4/zbc0351491580003.jpg
https://cdn.ncbi.nlm.nih.gov/pmc/blobs/2dfe/4132775/3e400d09fb5a/zbc035149158004a.jpg
https://cdn.ncbi.nlm.nih.gov/pmc/blobs/2dfe/4132775/f301a70f6312/zbc035149158005a.jpg
https://cdn.ncbi.nlm.nih.gov/pmc/blobs/2dfe/4132775/198bbfe9f4c1/zbc035149158006a.jpg
https://cdn.ncbi.nlm.nih.gov/pmc/blobs/2dfe/4132775/5fa2692241d5/zbc0351491580007.jpg
https://cdn.ncbi.nlm.nih.gov/pmc/blobs/2dfe/4132775/a333fe0488ee/zbc0351491580008.jpg

相似文献

1
High mobility group box-1 (HMGB1) participates in the pathogenesis of alcoholic liver disease (ALD).高迁移率族蛋白B1(HMGB1)参与酒精性肝病(ALD)的发病机制。
J Biol Chem. 2014 Aug 15;289(33):22672-22691. doi: 10.1074/jbc.M114.552141. Epub 2014 Jun 13.
2
Post-translational modifications drive the effects of HMGB1 in alcohol-associated liver disease.翻译后修饰驱动HMGB1在酒精性肝病中的作用。
Hepatol Commun. 2024 Oct 17;8(11). doi: 10.1097/HC9.0000000000000549. eCollection 2024 Nov 1.
3
Signalling via the osteopontin and high mobility group box-1 axis drives the fibrogenic response to liver injury.通过骨桥蛋白和高迁移率族蛋白B1轴发出的信号驱动了对肝损伤的纤维化反应。
Gut. 2017 Jun;66(6):1123-1137. doi: 10.1136/gutjnl-2015-310752. Epub 2016 Jan 27.
4
A Protein Complex of Liver Origin Activates a Pro-inflammatory Program That Drives Hepatic and Intestinal Injury in Alcohol-Associated Liver Disease.一种源自肝脏的蛋白质复合物激活促炎程序,导致酒精相关性肝病中的肝和肠道损伤。
Cell Mol Gastroenterol Hepatol. 2024;18(3):101362. doi: 10.1016/j.jcmgh.2024.05.010. Epub 2024 May 23.
5
Hepatocyte-derived macrophage migration inhibitory factor mediates alcohol-induced liver injury in mice and patients.肝细胞衍生的巨噬细胞迁移抑制因子介导酒精引起的小鼠和患者的肝损伤。
J Hepatol. 2017 Nov;67(5):1018-1025. doi: 10.1016/j.jhep.2017.06.014. Epub 2017 Jun 22.
6
High mobility group box-1 release from HO-injured hepatocytes due to sirt1 functional inhibition.由于 SIRT1 功能抑制,HO 损伤的肝细胞中高迁移率族蛋白 B1 的释放。
World J Gastroenterol. 2019 Sep 28;25(36):5434-5450. doi: 10.3748/wjg.v25.i36.5434.
7
Hepatocyte free cholesterol lipotoxicity results from JNK1-mediated mitochondrial injury and is HMGB1 and TLR4-dependent.肝细胞游离胆固醇脂毒性是由 JNK1 介导的线粒体损伤引起的,并且依赖于 HMGB1 和 TLR4。
J Hepatol. 2014 Dec;61(6):1376-84. doi: 10.1016/j.jhep.2014.07.024. Epub 2014 Jul 24.
8
Sirtuin 1 alleviates alcoholic liver disease by inhibiting HMGB1 acetylation and translocation.Sirtuin 1 通过抑制 HMGB1 乙酰化和易位缓解酒精性肝病。
PeerJ. 2023 Nov 27;11:e16480. doi: 10.7717/peerj.16480. eCollection 2023.
9
Hepatocyte high-mobility group box 1 protects against steatosis and cellular stress during high fat diet feeding.肝细胞高迁移率族蛋白 B1 可防止高脂肪饮食喂养期间的脂肪变性和细胞应激。
Mol Med. 2020 Nov 25;26(1):115. doi: 10.1186/s10020-020-00227-6.
10
Involvement of the nuclear high mobility group B1 peptides released from injured hepatocytes in murine hepatic fibrogenesis.受损肝细胞释放的核高迁移率族蛋白B1肽参与小鼠肝纤维化形成过程。
Biochim Biophys Acta. 2014 Sep;1842(9):1720-32. doi: 10.1016/j.bbadis.2014.06.017. Epub 2014 Jun 23.

引用本文的文献

1
HMGB1 as an emerging key modulator of bone remodeling: a narrative review.HMGB1作为骨重塑的新兴关键调节因子:一篇叙述性综述
Stem Cell Res Ther. 2025 Aug 8;16(1):438. doi: 10.1186/s13287-025-04543-8.
2
Involvement of role of HMGB1-NLRP3 pathway in systemic disorders.HMGB1-NLRP3通路在全身系统性疾病中的作用
Front Cell Dev Biol. 2025 Jul 4;13:1600596. doi: 10.3389/fcell.2025.1600596. eCollection 2025.
3
Phytochemicals Targeting Inflammatory Pathways in Alcohol-Induced Liver Disease: A Mechanistic Review.针对酒精性肝病炎症通路的植物化学物质:一项机制综述

本文引用的文献

1
A systematic nomenclature for the redox states of high mobility group box (HMGB) proteins.HMGB 蛋白氧化还原态的系统命名法。
Mol Med. 2014 Mar 24;20(1):135-7. doi: 10.2119/molmed.2014.00022.
2
JAK/STAT1 signaling promotes HMGB1 hyperacetylation and nuclear translocation.JAK/STAT1 信号通路促进 HMGB1 的乙酰化和核转位。
Proc Natl Acad Sci U S A. 2014 Feb 25;111(8):3068-73. doi: 10.1073/pnas.1316925111. Epub 2014 Jan 27.
3
Hepatocyte-specific high-mobility group box 1 deletion worsens the injury in liver ischemia/reperfusion: a role for intracellular high-mobility group box 1 in cellular protection.
Pharmaceuticals (Basel). 2025 May 11;18(5):710. doi: 10.3390/ph18050710.
4
Decoding the Liver-Heart Axis in Cardiometabolic Diseases.解读心脏代谢疾病中的肝心轴
Circ Res. 2025 May 23;136(11):1335-1362. doi: 10.1161/CIRCRESAHA.125.325492. Epub 2025 May 22.
5
Immunological mechanisms and emerging therapeutic targets in alcohol-associated liver disease.酒精性肝病中的免疫机制及新兴治疗靶点
Cell Mol Immunol. 2025 May 21. doi: 10.1038/s41423-025-01291-w.
6
Life-threatening risk factors contribute to the development of diseases with the highest mortality through the induction of regulated necrotic cell death.危及生命的风险因素通过诱导程序性坏死性细胞死亡,促成了死亡率最高的疾病的发展。
Cell Death Dis. 2025 Apr 11;16(1):273. doi: 10.1038/s41419-025-07563-7.
7
Alcohol Use Disorder and Alcohol-Associated Liver Disease: New Definitions, Screening, and Treatment.酒精使用障碍与酒精相关肝病:新定义、筛查与治疗
Gastroenterol Hepatol (N Y). 2024 Nov;20(11):662-671.
8
Cell-to-cell and organ-to-organ crosstalk in the pathogenesis of alcohol-associated liver disease.酒精性肝病发病机制中的细胞间和器官间串扰。
eGastroenterology. 2024 Oct;2(4). doi: 10.1136/egastro-2024-100104. Epub 2024 Dec 9.
9
High Mobility Group Box 1 (HMGB1): Molecular Signaling and Potential Therapeutic Strategies.高迁移率族蛋白B1(HMGB1):分子信号传导与潜在治疗策略
Cells. 2024 Nov 23;13(23):1946. doi: 10.3390/cells13231946.
10
Emerging Roles of High-mobility Group Box-1 in Liver Disease.高迁移率族蛋白B1在肝脏疾病中的新作用
J Clin Transl Hepatol. 2024 Dec 28;12(12):1043-1056. doi: 10.14218/JCTH.2024.00317. Epub 2024 Oct 22.
肝特异性高迁移率族蛋白 B1 缺失加重肝缺血/再灌注损伤:细胞内高迁移率族蛋白 B1 在细胞保护中的作用。
Hepatology. 2014 May;59(5):1984-1997. doi: 10.1002/hep.26976. Epub 2014 Apr 1.
4
Osteopontin binding to lipopolysaccharide lowers tumor necrosis factor-α and prevents early alcohol-induced liver injury in mice.骨桥蛋白与脂多糖结合可降低肿瘤坏死因子-α并预防小鼠早期酒精性肝损伤。
Hepatology. 2014 Apr;59(4):1600-16. doi: 10.1002/hep.26931. Epub 2014 Mar 1.
5
Carbenoxolone blocks endotoxin-induced protein kinase R (PKR) activation and high mobility group box 1 (HMGB1) release.卡波氯铵阻断内毒素诱导的蛋白激酶 R(PKR)激活和高迁移率族蛋白 B1(HMGB1)释放。
Mol Med. 2013 Jul 24;19(1):203-11. doi: 10.2119/molmed.2013.00064.
6
Protein phosphatase 2A dephosphorylates phosphoserines in nucleocytoplasmic shuttling and secretion of high mobility group box 1.蛋白磷酸酶 2A 使核质穿梭和高迁移率族蛋白 1 分泌中的磷酸丝氨酸去磷酸化。
J Biochem. 2013 Sep;154(3):299-308. doi: 10.1093/jb/mvt056. Epub 2013 Jun 18.
7
Effect of lipopolysaccharide administration on the number, phenotype and content of nuclear molecules in blood microparticles of normal human subjects.脂多糖给药对正常人体血液微颗粒中核分子的数量、表型和含量的影响。
Scand J Immunol. 2013 Aug;78(2):205-13. doi: 10.1111/sji.12076.
8
Regulation of HMGB1 release by inflammasomes.炎性小体调控 HMGB1 的释放。
Protein Cell. 2013 Mar;4(3):163-7. doi: 10.1007/s13238-012-2118-2. Epub 2013 Mar 13.
9
Mouse model of chronic and binge ethanol feeding (the NIAAA model).慢性和 binge 乙醇喂养的小鼠模型(NIAAA 模型)。
Nat Protoc. 2013 Mar;8(3):627-37. doi: 10.1038/nprot.2013.032. Epub 2013 Feb 28.
10
TLR activation regulates damage-associated molecular pattern isoforms released during pyroptosis.TLR 激活调节细胞焦亡过程中释放的损伤相关分子模式异构体。
EMBO J. 2013 Jan 9;32(1):86-99. doi: 10.1038/emboj.2012.328. Epub 2012 Dec 7.