• 文献检索
  • 文档翻译
  • 深度研究
  • 学术资讯
  • Suppr Zotero 插件Zotero 插件
  • 邀请有礼
  • 套餐&价格
  • 历史记录
应用&插件
Suppr Zotero 插件Zotero 插件浏览器插件Mac 客户端Windows 客户端微信小程序
定价
高级版会员购买积分包购买API积分包
服务
文献检索文档翻译深度研究API 文档MCP 服务
关于我们
关于 Suppr公司介绍联系我们用户协议隐私条款
关注我们

Suppr 超能文献

核心技术专利:CN118964589B侵权必究
粤ICP备2023148730 号-1Suppr @ 2026

文献检索

告别复杂PubMed语法,用中文像聊天一样搜索,搜遍4000万医学文献。AI智能推荐,让科研检索更轻松。

立即免费搜索

文件翻译

保留排版,准确专业,支持PDF/Word/PPT等文件格式,支持 12+语言互译。

免费翻译文档

深度研究

AI帮你快速写综述,25分钟生成高质量综述,智能提取关键信息,辅助科研写作。

立即免费体验

藿香正气口服液对乙酸诱导的感染后肠易激综合征大鼠肠黏膜机械屏障的保护作用。

Protective effect of huoxiang zhengqi oral liquid on intestinal mucosal mechanical barrier of rats with postinfectious irritable bowel syndrome induced by acetic Acid.

机构信息

School of Traditional Chinese Medicine, Southern Medical University, Guangzhou 510515, China ; New Drug Research and Development Center, Guangdong Institute of Traditional Chinese Medicine, Guangzhou 510520, China.

School of Traditional Chinese Medicine, Southern Medical University, Guangzhou 510515, China.

出版信息

Evid Based Complement Alternat Med. 2014;2014:218383. doi: 10.1155/2014/218383. Epub 2014 Aug 28.

DOI:10.1155/2014/218383
PMID:25254052
原文链接:https://pmc.ncbi.nlm.nih.gov/articles/PMC4164314/
Abstract

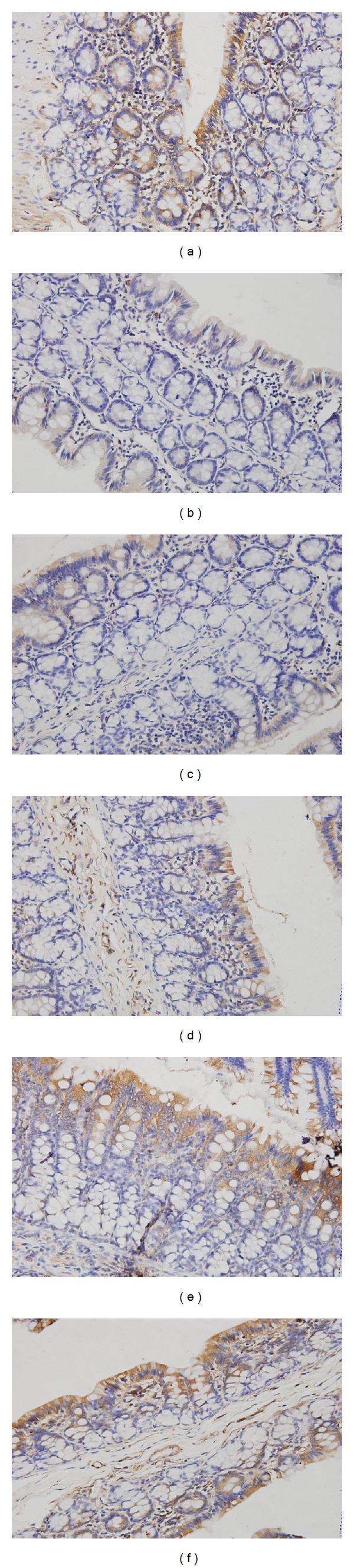
In this study, a rat model with acetic acid-induced PI-IBS was used to study the role of HXZQ oral liquid in repairing the colonic epithelial barrier and reducing intestinal permeability. Pathomorphism of colonic tissue, epithelial ultrastructure, DAO activity in serum, and the protein expression of ZO-1 and occludin were examined to investigate protective effect mechanisms of HXZQ on intestinal mucosa barrier and then present experimental support for its use for prevention and cure of PI-IBS.

摘要

在这项研究中,使用乙酸诱导的 PI-IBS 大鼠模型研究了HXZQ 口服液在修复结肠上皮屏障和降低肠通透性中的作用。检查结肠组织的病理形态、上皮超微结构、血清中 DAO 活性以及 ZO-1 和闭合蛋白的蛋白表达,以研究 HXZQ 对肠黏膜屏障的保护作用机制,为其预防和治疗 PI-IBS 提供实验依据。

https://cdn.ncbi.nlm.nih.gov/pmc/blobs/e963/4164314/374860fa9129/ECAM2014-218383.005.jpg
https://cdn.ncbi.nlm.nih.gov/pmc/blobs/e963/4164314/24fb1d1f9998/ECAM2014-218383.001.jpg
https://cdn.ncbi.nlm.nih.gov/pmc/blobs/e963/4164314/7ee8c9c46e57/ECAM2014-218383.002.jpg
https://cdn.ncbi.nlm.nih.gov/pmc/blobs/e963/4164314/62498bce4200/ECAM2014-218383.003.jpg
https://cdn.ncbi.nlm.nih.gov/pmc/blobs/e963/4164314/2b701aa64a4e/ECAM2014-218383.004.jpg
https://cdn.ncbi.nlm.nih.gov/pmc/blobs/e963/4164314/374860fa9129/ECAM2014-218383.005.jpg
https://cdn.ncbi.nlm.nih.gov/pmc/blobs/e963/4164314/24fb1d1f9998/ECAM2014-218383.001.jpg
https://cdn.ncbi.nlm.nih.gov/pmc/blobs/e963/4164314/7ee8c9c46e57/ECAM2014-218383.002.jpg
https://cdn.ncbi.nlm.nih.gov/pmc/blobs/e963/4164314/62498bce4200/ECAM2014-218383.003.jpg
https://cdn.ncbi.nlm.nih.gov/pmc/blobs/e963/4164314/2b701aa64a4e/ECAM2014-218383.004.jpg
https://cdn.ncbi.nlm.nih.gov/pmc/blobs/e963/4164314/374860fa9129/ECAM2014-218383.005.jpg

相似文献

1
Protective effect of huoxiang zhengqi oral liquid on intestinal mucosal mechanical barrier of rats with postinfectious irritable bowel syndrome induced by acetic Acid.藿香正气口服液对乙酸诱导的感染后肠易激综合征大鼠肠黏膜机械屏障的保护作用。
Evid Based Complement Alternat Med. 2014;2014:218383. doi: 10.1155/2014/218383. Epub 2014 Aug 28.
2
[Effects of Huoxiang Zhengqi Oral Liquid on intestinal barrier function in rats with dampness obstructing spleen-stomach syndrome].[藿香正气口服液对湿阻脾胃证大鼠肠道屏障功能的影响]
Zhongguo Zhong Yao Za Zhi. 2020 May;45(9):2144-2150. doi: 10.19540/j.cnki.cjcmm.20200213.401.
3
The Chinese herbal formula Huoxiang Zhengqi for diarrhea-predominant irritable bowel syndrome (CHAIRS): a study protocol for a double-blinded randomized controlled trial.治疗腹泻型肠易激综合征的中药配方藿香正气(CHAIRS):一项双盲随机对照试验的研究方案
Trials. 2021 Jul 26;22(1):491. doi: 10.1186/s13063-021-05444-w.
4
Chinese Herbal Formula Huoxiang Zhengqi for Dampness Pattern in Atopic Dermatitis and Diarrhea-Predominant Irritable Bowel Syndrome: Rationale and Design of a Master Protocol.中药方剂藿香正气治疗特应性皮炎湿证及腹泻型肠易激综合征:总方案的理论依据与设计
Evid Based Complement Alternat Med. 2021 Oct 4;2021:5125568. doi: 10.1155/2021/5125568. eCollection 2021.
5
MiR-144 Increases Intestinal Permeability in IBS-D Rats by Targeting OCLN and ZO1.微小RNA-144通过靶向闭合蛋白和紧密连接蛋白1增加腹泻型肠易激综合征大鼠的肠道通透性。
Cell Physiol Biochem. 2017;44(6):2256-2268. doi: 10.1159/000486059. Epub 2017 Dec 14.
6
Inhibition of miRNA-29a regulates intestinal barrier function in diarrhea-predominant irritable bowel syndrome by upregulating ZO-1 and CLDN1.抑制miRNA-29a通过上调紧密连接蛋白1(ZO-1)和闭合蛋白1(CLDN1)来调节腹泻型肠易激综合征的肠道屏障功能。
Exp Ther Med. 2020 Dec;20(6):155. doi: 10.3892/etm.2020.9284. Epub 2020 Oct 6.
7
[Effects of Huoxiang Zhengqi liquid on enteric mucosal immune responses in mice with Bacillus dysenteriae and Salmonella typhimurium induced diarrhea].[藿香正气液对痢疾杆菌和鼠伤寒沙门氏菌致泻小鼠肠道黏膜免疫反应的影响]
Zhongguo Zhong Yao Za Zhi. 2007 Nov;32(22):2397-400.
8
Antinociceptive effect of VSL#3 on visceral hypersensitivity in a rat model of irritable bowel syndrome: a possible action through nitric oxide pathway and enhance barrier function.VSL#3 对肠易激综合征大鼠内脏敏感性的抗伤害作用:一种可能通过一氧化氮通路和增强屏障功能发挥作用。
Mol Cell Biochem. 2012 Mar;362(1-2):43-53. doi: 10.1007/s11010-011-1126-5. Epub 2011 Oct 22.
9
[Effect of electroacupuncture on intestinal epithelial mucosal barrier function in rats with diarrhea-predominant irritable bowel syndrome].[电针对腹泻型肠易激综合征大鼠肠上皮黏膜屏障功能的影响]
Zhen Ci Yan Jiu. 2020 May 25;45(5):357-62. doi: 10.13702/j.1000-0607.190285.
10
Modulatory Effects of Huoxiang Zhengqi Oral Liquid on Gut Microbiome Homeostasis Based on Healthy Adults and Antibiotic-Induced Gut Microbial Dysbiosis Mice Model.基于健康成年人及抗生素诱导的肠道微生物失调小鼠模型探究藿香正气口服液对肠道微生物群稳态的调节作用
Front Pharmacol. 2022 Mar 24;13:841990. doi: 10.3389/fphar.2022.841990. eCollection 2022.

引用本文的文献

1
Protective Effects of Huo Xiang Zheng Qi Liquid on Infection on C57BL/6 Mice.藿香正气液对C57BL/6小鼠感染的保护作用
Microorganisms. 2024 Aug 6;12(8):1602. doi: 10.3390/microorganisms12081602.
2
Neuropeptide substance P attenuates colitis by suppressing inflammation and ferroptosis via the cGAS-STING signaling pathway.神经肽 P 通过 cGAS-STING 信号通路抑制炎症和铁死亡来减轻结肠炎。
Int J Biol Sci. 2024 Apr 22;20(7):2507-2531. doi: 10.7150/ijbs.94548. eCollection 2024.
3
Huoxiang Zhengqi Oral Liquid Attenuates LPS-Induced Acute Lung Injury by Modulating Short-Chain Fatty Acid Levels and TLR4/NF-B p65 Pathway.

本文引用的文献

1
Alocasia cucullata exhibits strong antitumor effect in vivo by activating antitumor immunity.海芋通过激活抗肿瘤免疫在体内显示出强大的抗肿瘤作用。
PLoS One. 2013 Sep 25;8(9):e75328. doi: 10.1371/journal.pone.0075328. eCollection 2013.
2
Kampo medicines for gastrointestinal tract disorders: a review of basic science and clinical evidence and their future application.胃肠道疾病的汉方药:基础科学和临床证据的综述及其未来应用。
J Gastroenterol. 2013 Apr;48(4):452-62. doi: 10.1007/s00535-013-0788-z. Epub 2013 Mar 16.
3
Diarrhoea-predominant irritable bowel syndrome: an organic disorder with structural abnormalities in the jejunal epithelial barrier.
藿香正气口服液通过调节短链脂肪酸水平和 TLR4/NF-B p65 通路减轻 LPS 诱导的急性肺损伤。
Biomed Res Int. 2023 Feb 17;2023:6183551. doi: 10.1155/2023/6183551. eCollection 2023.
4
Abdominal Massage Improves the Symptoms of Irritable Bowel Syndrome by Regulating Mast Cells via the Trypase-PAR2-PKC Pathway in Rats.腹部按摩通过胰蛋白酶-PAR2-PKC 通路调节肥大细胞改善大鼠肠易激综合征症状。
Pain Res Manag. 2022 Sep 28;2022:8331439. doi: 10.1155/2022/8331439. eCollection 2022.
5
The Chinese Herbal Formula Huoxiang Zhengqi Dropping Pills Prevents Acute Intestinal Injury Induced by Heatstroke by Increasing the Expression of Claudin-3 in Rats.中药配方藿香正气滴丸通过增加大鼠Claudin-3的表达预防中暑诱导的急性肠损伤。
Evid Based Complement Alternat Med. 2022 Jul 31;2022:9230341. doi: 10.1155/2022/9230341. eCollection 2022.
6
Modulatory Effects of Huoxiang Zhengqi Oral Liquid on Gut Microbiome Homeostasis Based on Healthy Adults and Antibiotic-Induced Gut Microbial Dysbiosis Mice Model.基于健康成年人及抗生素诱导的肠道微生物失调小鼠模型探究藿香正气口服液对肠道微生物群稳态的调节作用
Front Pharmacol. 2022 Mar 24;13:841990. doi: 10.3389/fphar.2022.841990. eCollection 2022.
7
Suppression of PTRF Alleviates Post-Infectious Irritable Bowel Syndrome via Downregulation of the TLR4 Pathway in Rats.抑制 PTRF 通过下调大鼠 TLR4 信号通路减轻感染后肠易激综合征
Front Pharmacol. 2021 Oct 7;12:724410. doi: 10.3389/fphar.2021.724410. eCollection 2021.
8
Virtual Screening of Cablin Patchouli Herb as a Treatment for Heat Stress: A Study Based on Network Pharmacology, Molecular Docking, and Experimental Verification.广藿香治疗热应激的虚拟筛选:基于网络药理学、分子对接和实验验证的研究
Evid Based Complement Alternat Med. 2021 Mar 10;2021:8057587. doi: 10.1155/2021/8057587. eCollection 2021.
9
Pharmacological activities and mechanisms of action of Pogostemon cablin Benth: a review.广藿香的药理活性及作用机制综述
Chin Med. 2021 Jan 7;16(1):5. doi: 10.1186/s13020-020-00413-y.
10
Nitrate Is Crucial for the Proliferation of Gut Caused by H9N2 AIV Infection and Effective Regulation by Chinese Herbal Medicine Ageratum-Liquid.硝酸盐对H9N2禽流感病毒感染引起的肠道增殖至关重要,且受中药藿香液有效调控。
Front Microbiol. 2020 Oct 30;11:555739. doi: 10.3389/fmicb.2020.555739. eCollection 2020.
腹泻型肠易激综合征:一种以空肠上皮屏障结构异常为特征的器质性疾病。
Gut. 2013 Aug;62(8):1160-8. doi: 10.1136/gutjnl-2012-302093. Epub 2012 May 25.
4
[Mechanism of huoxiang zhengqi extract for regulating the intestinal motility in rat model of diarrhea-predominant irritable bowel syndrome].[藿香正气提取物对腹泻型肠易激综合征大鼠模型肠道动力的调节机制]
Zhongguo Zhong Xi Yi Jie He Za Zhi. 2011 Jul;31(7):941-5.
5
Systematic review of animal models of post-infectious/post-inflammatory irritable bowel syndrome.感染后/炎症后肠易激综合征动物模型的系统评价。
J Gastroenterol. 2011 Feb;46(2):164-74. doi: 10.1007/s00535-010-0321-6. Epub 2010 Sep 17.
6
Effectiveness of trimebutine maleate on modulating intestinal hypercontractility in a mouse model of postinfectious irritable bowel syndrome.马来酸曲美布汀对感染后肠易激综合征模型小鼠肠道高反应性的调节作用。
Eur J Pharmacol. 2010 Jun 25;636(1-3):159-65. doi: 10.1016/j.ejphar.2010.03.037. Epub 2010 Apr 2.
7
Soluble intercellular adhesion molecule-1, D-lactate and diamine oxidase in patients with inflammatory bowel disease.炎症性肠病患者的可溶性细胞间黏附分子-1、D-乳酸和二胺氧化酶
World J Gastroenterol. 2009 Aug 21;15(31):3916-9. doi: 10.3748/wjg.15.3916.
8
The tight junction in inflammatory disease: communication breakdown.在炎症性疾病中紧密连接:通讯中断。
Curr Opin Pharmacol. 2009 Dec;9(6):715-20. doi: 10.1016/j.coph.2009.06.022. Epub 2009 Jul 24.
9
Occludin phosphorylation in regulation of epithelial tight junctions.闭合蛋白磷酸化在上皮紧密连接调节中的作用
Ann N Y Acad Sci. 2009 May;1165:62-8. doi: 10.1111/j.1749-6632.2009.04054.x.
10
Postinfectious irritable bowel syndrome.感染后肠易激综合征
Gastroenterology. 2009 May;136(6):1979-88. doi: 10.1053/j.gastro.2009.02.074. Epub 2009 May 7.