Suppr超能文献

用于脑磁共振图像分割的SPM、FSL和Brainsuite的定量比较。

Quantitative Comparison of SPM, FSL, and Brainsuite for Brain MR Image Segmentation.

作者信息

Kazemi K, Noorizadeh N

机构信息

Department of Electrical and Electronics Engineering, Shiraz University of Technology, Shiraz, Iran.

出版信息

J Biomed Phys Eng. 2014 Mar 8;4(1):13-26. eCollection 2014 Mar.

Abstract

BACKGROUND

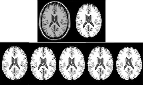
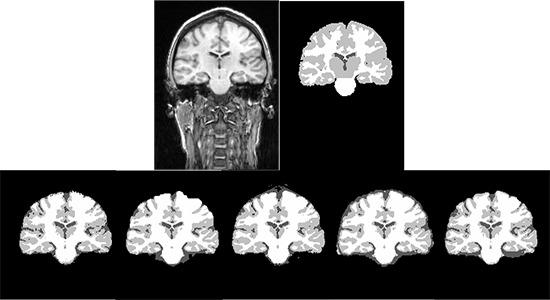
Accurate brain tissue segmentation from magnetic resonance (MR) images is an important step in analysis of cerebral images. There are software packages which are used for brain segmentation. These packages usually contain a set of skull stripping, intensity non-uniformity (bias) correction and segmentation routines. Thus, assessment of the quality of the segmented gray matter (GM), white matter (WM) and cerebrospinal fluid (CSF) is needed for the neuroimaging applications.

METHODS

In this paper, performance evaluation of three widely used brain segmentation software packages SPM8, FSL and Brainsuite is presented. Segmentation with SPM8 has been performed in three frameworks: i) default segmentation, ii) SPM8 New-segmentation and iii) modified version using hidden Markov random field as implemented in SPM8-VBM toolbox.

RESULTS

The accuracy of the segmented GM, WM and CSF and the robustness of the tools against changes of image quality has been assessed using Brainweb simulated MR images and IBSR real MR images. The calculated similarity between the segmented tissues using different tools and corresponding ground truth shows variations in segmentation results.

CONCLUSION

A few studies has investigated GM, WM and CSF segmentation. In these studies, the skull stripping and bias correction are performed separately and they just evaluated the segmentation. Thus, in this study, assessment of complete segmentation framework consisting of pre-processing and segmentation of these packages is performed. The obtained results can assist the users in choosing an appropriate segmentation software package for the neuroimaging application of interest.

摘要

背景

从磁共振(MR)图像中准确分割脑组织是脑图像分析的重要一步。有一些用于脑分割的软件包。这些软件包通常包含一组颅骨剥离、强度非均匀性(偏差)校正和分割程序。因此,对于神经成像应用,需要评估分割后的灰质(GM)、白质(WM)和脑脊液(CSF)的质量。

方法

本文对三种广泛使用的脑分割软件包SPM8、FSL和Brainsuite进行了性能评估。使用SPM8进行分割的框架有三种:i)默认分割,ii)SPM8新分割,iii)使用SPM8-VBM工具箱中实现的隐马尔可夫随机场的修改版本。

结果

使用Brainweb模拟MR图像和IBSR真实MR图像评估了分割后的GM、WM和CSF的准确性以及工具对图像质量变化的鲁棒性。使用不同工具分割的组织与相应的真实情况之间计算出的相似度显示了分割结果的差异。

结论

已有一些研究对GM、WM和CSF分割进行了调查。在这些研究中,颅骨剥离和偏差校正分别进行,并且只评估了分割。因此,在本研究中,对这些软件包由预处理和分割组成的完整分割框架进行了评估。获得的结果可以帮助用户为感兴趣的神经成像应用选择合适的分割软件包。

https://cdn.ncbi.nlm.nih.gov/pmc/blobs/4b68/4258855/43eb4ed00dd3/jbpe-4-13-g001.jpg

文献AI研究员

20分钟写一篇综述,助力文献阅读效率提升50倍。

立即体验

用中文搜PubMed

大模型驱动的PubMed中文搜索引擎

马上搜索

文档翻译

学术文献翻译模型,支持多种主流文档格式。

立即体验