Suppr超能文献

埃及苏伊士运河两个地点的 Cyclope neritea 体内的水、沉积物和组织中的重金属和碳氢化合物浓度及组织病理学影响。

Heavy metals and hydrocarbon concentrations in water, sediments and tissue of Cyclope neritea from two sites in Suez Canal, Egypt and histopathological effects.

机构信息

Department of Zoology, Faculty of Science, Zagazig University, Zagazig, Egypt.

Chemistry Department, Faculty of Science, Suez Canal University, Al-arish, Egypt.

出版信息

J Environ Health Sci Eng. 2015 Mar 10;13:14. doi: 10.1186/s40201-015-0171-5. eCollection 2015.

Abstract

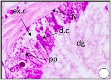
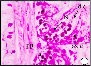
Heavy metals and hydrocarbons are of the most common marine pollutants around the world. The present study aimed to assess the concentration of petroleum hydrocarbons and heavy metals in tissues of the snail cyclope neritea, water and sediments from two sites of the study area (Temsah lake and Suez canal) represent polluted and unpolluted sites respectively. The results showed that, the levels of the heavy metals (Pb, Cd, Co, Mg and Zn) in the polluted area have reached harmful limits recorded globally. Lead in water, sediment and tissue of the snail reached to 0.95 ppm, 4.54 ppm and 7.93 ppm respectively. Cadmium reached 0.31 ppm, 1.15 ppm and 3.08 ppm in the corresponding samples. Cobalt was not detected in water, but it reached 1.42 ppm and 10.36 ppm in the sediment and snails tissue respectively. Magnesium in water, sediment and tissue of the snail reached 3.73 ppm, 9.44 ppm and12.6 ppm respectively. Zinc reached 0.11 ppm, 3.89 ppm and 12.60ppm in the corresponding samples. Meanwhile, hydrocarbons in the polluted area (site1) reached 110.10 μg/L, 980.15 μg/g and 228.00 μg/g in water sediment and digestive gland tissues of the snails respectively. Whereas, hydrocarbons in the unpolluted area (site2) were estimated as 14.20 μg/L, 55.60 μg/g and 22.66 μg/g in water, sediment and tissue of the snails respectively. The combination of histopathological image with monitoring of the metal level in the digestive gland of the present snail provides an important tool for early detection of impending environmental problems and potential public health issues. Petroleum hydrocarbons are toxic to the marine fauna when present above certain limit in the marine water. The major detoxification organ in molluscs is the digestive gland, which has been used as a bioindicator organ for toxicity assessment. The effect of high crude oil on the digestive gland tubules of exposed snails when examined microscopically reveals a series of histological changes which indicates that the cellular compensatory mechanism is activated by hydrocarbons. These changes include vacuolation and presence of pyknotic nuclei.

摘要

重金属和碳氢化合物是全球最常见的海洋污染物。本研究旨在评估石油碳氢化合物和重金属在研究区域两个地点(Temsah 湖和苏伊士运河)的蜗牛环口螺组织、水和沉积物中的浓度,这两个地点分别代表污染和未污染的地点。结果表明,污染地区的重金属(铅、镉、钴、镁和锌)水平已达到全球记录的有害限度。水中的铅、沉积物和蜗牛组织中的铅分别达到 0.95ppm、4.54ppm 和 7.93ppm。镉在相应的样本中达到 0.31ppm、1.15ppm 和 3.08ppm。钴在水中未被检出,但在沉积物和蜗牛组织中分别达到 1.42ppm 和 10.36ppm。水中的镁、沉积物和蜗牛组织中的镁分别达到 3.73ppm、9.44ppm 和 12.6ppm。锌在相应的样本中达到 0.11ppm、3.89ppm 和 12.60ppm。同时,污染区(地点 1)的碳氢化合物在水中、沉积物和蜗牛消化腺组织中的含量分别为 110.10μg/L、980.15μg/g 和 228.00μg/g。而未污染区(地点 2)的碳氢化合物在水中、沉积物和组织中的含量分别为 14.20μg/L、55.60μg/g 和 22.66μg/g。本研究中蜗牛消化腺金属水平监测与组织病理学图像相结合,为早期发现潜在环境问题和公共卫生问题提供了重要工具。当海洋水中的石油碳氢化合物超过一定限度时,对海洋动物区系是有毒的。软体动物的主要解毒器官是消化腺,它已被用作毒性评估的生物指示剂器官。显微镜下观察到暴露的蜗牛消化管小管受到高原油的影响时,会出现一系列组织学变化,表明烃类物质激活了细胞补偿机制。这些变化包括空泡化和出现固缩核。

https://cdn.ncbi.nlm.nih.gov/pmc/blobs/643e/4397874/1031b0390316/40201_2015_171_Fig1_HTML.jpg

文献AI研究员

20分钟写一篇综述,助力文献阅读效率提升50倍。

立即体验

用中文搜PubMed

大模型驱动的PubMed中文搜索引擎

马上搜索

文档翻译

学术文献翻译模型,支持多种主流文档格式。

立即体验