• 文献检索
  • 文档翻译
  • 深度研究
  • 学术资讯
  • Suppr Zotero 插件Zotero 插件
  • 邀请有礼
  • 套餐&价格
  • 历史记录
应用&插件
Suppr Zotero 插件Zotero 插件浏览器插件Mac 客户端Windows 客户端微信小程序
定价
高级版会员购买积分包购买API积分包
服务
文献检索文档翻译深度研究API 文档MCP 服务
关于我们
关于 Suppr公司介绍联系我们用户协议隐私条款
关注我们

Suppr 超能文献

核心技术专利:CN118964589B侵权必究
粤ICP备2023148730 号-1Suppr @ 2026

文献检索

告别复杂PubMed语法,用中文像聊天一样搜索,搜遍4000万医学文献。AI智能推荐,让科研检索更轻松。

立即免费搜索

文件翻译

保留排版,准确专业,支持PDF/Word/PPT等文件格式,支持 12+语言互译。

免费翻译文档

深度研究

AI帮你快速写综述,25分钟生成高质量综述,智能提取关键信息,辅助科研写作。

立即免费体验

对缅甸出现的人G12P[6]和G12P[8]轮状病毒株的全基因组分析。

Whole Genomic Analysis of Human G12P[6] and G12P[8] Rotavirus Strains that Have Emerged in Myanmar.

作者信息

Ide Tomihiko, Komoto Satoshi, Higo-Moriguchi Kyoko, Htun Khaing Win, Myint Yi Yi, Myat Theingi Win, Thant Kyaw Zin, Thu Hlaing Myat, Win Mo Mo, Oo Htun Naing, Htut Than, Wakuda Mitsutaka, Dennis Francis Ekow, Haga Kei, Fujii Yoshiki, Katayama Kazuhiko, Rahman Shofiqur, Nguyen Sa Van, Umeda Kouji, Oguma Keiji, Tsuji Takao, Taniguchi Koki

机构信息

Department of Virology and Parasitology, Fujita Health University School of Medicine, Toyoake, Aichi, Japan.

Nay Pyi Taw General Hospital (Central Myanmar), Nay Pyi Taw, Myanmar.

出版信息

PLoS One. 2015 May 4;10(5):e0124965. doi: 10.1371/journal.pone.0124965. eCollection 2015.

DOI:10.1371/journal.pone.0124965
PMID:25938434
原文链接:https://pmc.ncbi.nlm.nih.gov/articles/PMC4418666/
Abstract

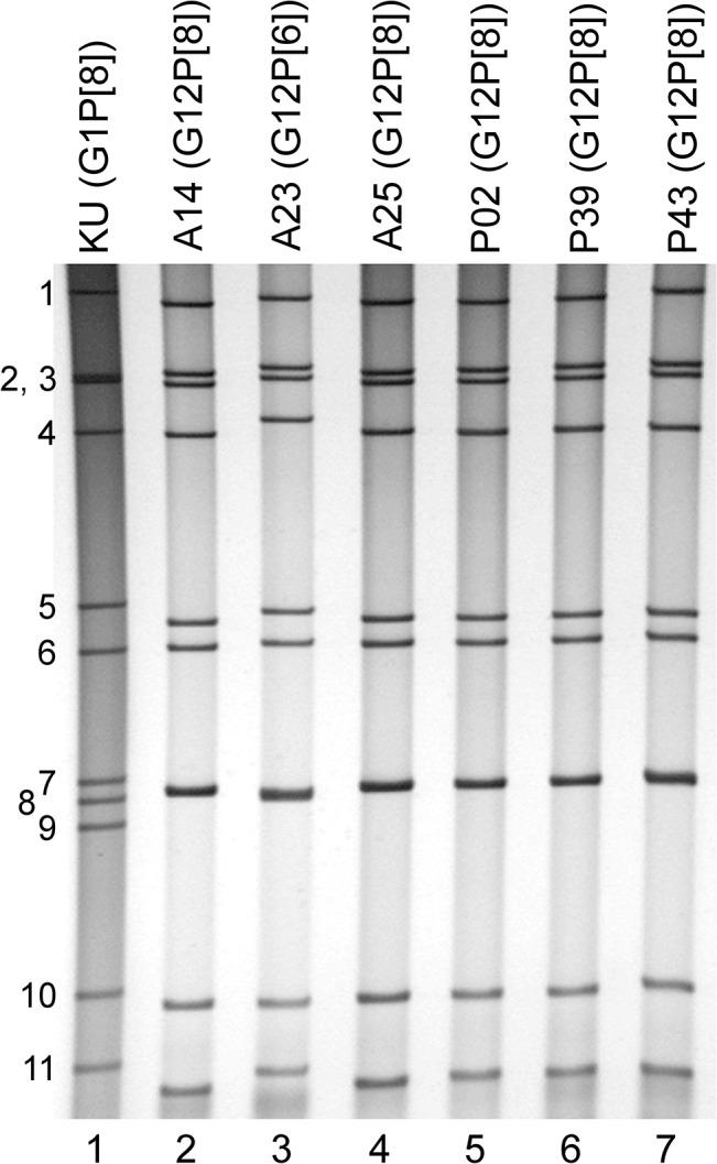
G12 rotaviruses are emerging rotavirus strains causing severe diarrhea in infants and young children worldwide. However, the whole genomes of only a few G12 strains have been fully sequenced and analyzed. In this study, we sequenced and characterized the complete genomes of six G12 strains (RVA/Human-tc/MMR/A14/2011/G12P[8], RVA/Human-tc/MMR/A23/2011/G12P[6], RVA/Human-tc/MMR/A25/2011/G12P[8], RVA/Human-tc/MMR/P02/2011/G12P[8], RVA/Human-tc/MMR/P39/2011/G12P[8], and RVA/Human-tc/MMR/P43/2011/G12P[8]) detected in six stool samples from children with acute gastroenteritis in Myanmar. On whole genomic analysis, all six Myanmarese G12 strains were found to have a Wa-like genetic backbone: G12-P[8]-I1-R1-C1-M1-A1-N1-T1-E1-H1 for strains A14, A25, P02, P39, and P43, and G12-P[6]-I1-R1-C1-M1-A1-N1-T1-E1-H1 for strain A23. Phylogenetic analysis showed that most genes of the six strains examined in this study were genetically related to globally circulating human G1, G3, G9, and G12 strains. Of note is that the NSP4 gene of strain A23 exhibited the closest relationship with the cognate genes of human-like bovine strains as well as human strains, suggesting the occurrence of reassortment between human and bovine strains. Furthermore, strains A14, A25, P02, P39, and P43 were very closely related to one another in all the 11 gene segments, indicating derivation of the five strains from a common origin. On the other hand, strain A23 consistently formed distinct clusters as to all the 11 gene segments, indicating a distinct origin of strain A23 from that of strains A14, A25, P02, P39, and P43. To our knowledge, this is the first report on whole genome-based characterization of G12 strains that have emerged in Myanmar. Our observations will provide important insights into the evolutionary dynamics of spreading G12 rotaviruses in Asia.

摘要

G12轮状病毒是一种正在出现的轮状病毒株,在全球范围内导致婴幼儿严重腹泻。然而,仅有少数G12毒株的全基因组被完全测序和分析。在本研究中,我们对从缅甸急性胃肠炎患儿的6份粪便样本中检测到的6株G12毒株(RVA/Human-tc/MMR/A14/2011/G12P[8]、RVA/Human-tc/MMR/A23/2011/G12P[6]、RVA/Human-tc/MMR/A25/2011/G12P[8]、RVA/Human-tc/MMR/P02/2011/G12P[8]、RVA/Human-tc/MMR/P39/2011/G12P[8]和RVA/Human-tc/MMR/P43/2011/G12P[8])进行了测序和特征分析。通过全基因组分析,发现所有6株缅甸G12毒株均具有类似Wa株的基因骨架:A14、A25、P02、P39和P43毒株为G12-P[8]-I1-R1-C1-M1-A1-N1-T1-E1-H1,A23毒株为G12-P[6]-I1-R1-C1-M1-A1-N1-T1-E1-H1。系统发育分析表明,本研究中检测的6株毒株的大多数基因与全球流行的人G1、G3、G9和G12毒株在遗传上相关。值得注意的是,A23毒株的NSP4基因与类人牛毒株以及人毒株的同源基因关系最为密切,这表明人毒株和牛毒株之间发生了重配。此外,A14、A25、P02、P39和P43毒株在所有11个基因片段上彼此密切相关,表明这5株毒株起源于共同祖先。另一方面,A23毒株在所有11个基因片段上始终形成独特的聚类,表明A23毒株与A14、A25、P02、P39和P43毒株起源不同。据我们所知,这是关于缅甸出现的G12毒株基于全基因组特征分析的首次报告。我们的观察结果将为亚洲传播的G12轮状病毒的进化动态提供重要见解。

https://cdn.ncbi.nlm.nih.gov/pmc/blobs/797b/4418666/7fe5e36f5743/pone.0124965.g013.jpg
https://cdn.ncbi.nlm.nih.gov/pmc/blobs/797b/4418666/a9640f98b580/pone.0124965.g001.jpg
https://cdn.ncbi.nlm.nih.gov/pmc/blobs/797b/4418666/331eba11b0ff/pone.0124965.g002.jpg
https://cdn.ncbi.nlm.nih.gov/pmc/blobs/797b/4418666/c35052e47fea/pone.0124965.g003.jpg
https://cdn.ncbi.nlm.nih.gov/pmc/blobs/797b/4418666/0428ce34edea/pone.0124965.g004.jpg
https://cdn.ncbi.nlm.nih.gov/pmc/blobs/797b/4418666/5998f19a1e39/pone.0124965.g005.jpg
https://cdn.ncbi.nlm.nih.gov/pmc/blobs/797b/4418666/6cedf60ed351/pone.0124965.g006.jpg
https://cdn.ncbi.nlm.nih.gov/pmc/blobs/797b/4418666/5cc9ffdfdc0d/pone.0124965.g007.jpg
https://cdn.ncbi.nlm.nih.gov/pmc/blobs/797b/4418666/ff5827e8166d/pone.0124965.g008.jpg
https://cdn.ncbi.nlm.nih.gov/pmc/blobs/797b/4418666/72d91fe5426c/pone.0124965.g009.jpg
https://cdn.ncbi.nlm.nih.gov/pmc/blobs/797b/4418666/41160ae2231b/pone.0124965.g010.jpg
https://cdn.ncbi.nlm.nih.gov/pmc/blobs/797b/4418666/a24c80126816/pone.0124965.g011.jpg
https://cdn.ncbi.nlm.nih.gov/pmc/blobs/797b/4418666/1794dd7c604c/pone.0124965.g012.jpg
https://cdn.ncbi.nlm.nih.gov/pmc/blobs/797b/4418666/7fe5e36f5743/pone.0124965.g013.jpg
https://cdn.ncbi.nlm.nih.gov/pmc/blobs/797b/4418666/a9640f98b580/pone.0124965.g001.jpg
https://cdn.ncbi.nlm.nih.gov/pmc/blobs/797b/4418666/331eba11b0ff/pone.0124965.g002.jpg
https://cdn.ncbi.nlm.nih.gov/pmc/blobs/797b/4418666/c35052e47fea/pone.0124965.g003.jpg
https://cdn.ncbi.nlm.nih.gov/pmc/blobs/797b/4418666/0428ce34edea/pone.0124965.g004.jpg
https://cdn.ncbi.nlm.nih.gov/pmc/blobs/797b/4418666/5998f19a1e39/pone.0124965.g005.jpg
https://cdn.ncbi.nlm.nih.gov/pmc/blobs/797b/4418666/6cedf60ed351/pone.0124965.g006.jpg
https://cdn.ncbi.nlm.nih.gov/pmc/blobs/797b/4418666/5cc9ffdfdc0d/pone.0124965.g007.jpg
https://cdn.ncbi.nlm.nih.gov/pmc/blobs/797b/4418666/ff5827e8166d/pone.0124965.g008.jpg
https://cdn.ncbi.nlm.nih.gov/pmc/blobs/797b/4418666/72d91fe5426c/pone.0124965.g009.jpg
https://cdn.ncbi.nlm.nih.gov/pmc/blobs/797b/4418666/41160ae2231b/pone.0124965.g010.jpg
https://cdn.ncbi.nlm.nih.gov/pmc/blobs/797b/4418666/a24c80126816/pone.0124965.g011.jpg
https://cdn.ncbi.nlm.nih.gov/pmc/blobs/797b/4418666/1794dd7c604c/pone.0124965.g012.jpg
https://cdn.ncbi.nlm.nih.gov/pmc/blobs/797b/4418666/7fe5e36f5743/pone.0124965.g013.jpg

相似文献

1
Whole Genomic Analysis of Human G12P[6] and G12P[8] Rotavirus Strains that Have Emerged in Myanmar.对缅甸出现的人G12P[6]和G12P[8]轮状病毒株的全基因组分析。
PLoS One. 2015 May 4;10(5):e0124965. doi: 10.1371/journal.pone.0124965. eCollection 2015.
2
Whole genomic analysis of human G12P[6] and G12P[8] rotavirus strains that have emerged in Kenya: identification of porcine-like NSP4 genes.对肯尼亚出现的人类G12P[6]和G12P[8]轮状病毒株进行全基因组分析:鉴定猪样NSP4基因。
Infect Genet Evol. 2014 Oct;27:277-93. doi: 10.1016/j.meegid.2014.08.002. Epub 2014 Aug 8.
3
Whole genome analyses of African G2, G8, G9, and G12 rotavirus strains using sequence-independent amplification and 454® pyrosequencing.利用无序列依赖性扩增和 454®焦磷酸测序技术对非洲 G2、G8、G9 和 G12 轮状病毒株进行全基因组分析。
J Med Virol. 2011 Nov;83(11):2018-42. doi: 10.1002/jmv.22207.
4
Whole Genome Analysis of African G12P[6] and G12P[8] Rotaviruses Provides Evidence of Porcine-Human Reassortment at NSP2, NSP3, and NSP4.非洲G12P[6]和G12P[8]轮状病毒的全基因组分析为NSP2、NSP3和NSP4基因座上猪-人基因重配提供了证据。
Front Microbiol. 2021 Jan 12;11:604444. doi: 10.3389/fmicb.2020.604444. eCollection 2020.
5
Whole-genome characterisation of G12P[6] rotavirus strains possessing two distinct genotype constellations co-circulating in Blantyre, Malawi, 2008.2008年在马拉维布兰太尔共同流行的具有两种不同基因型组合的G12P[6]轮状病毒株的全基因组特征分析
Arch Virol. 2017 Jan;162(1):213-226. doi: 10.1007/s00705-016-3103-5. Epub 2016 Oct 7.
6
Sequence analysis of the whole genomes of five African human G9 rotavirus strains.对五株非洲人源 G9 轮状病毒全基因组序列的分析。
Infect Genet Evol. 2013 Jun;16:62-77. doi: 10.1016/j.meegid.2013.01.005. Epub 2013 Jan 29.
7
Distinct evolutionary origins of G12P[8] and G12P[9] group A rotavirus strains circulating in Brazil.在巴西流行的G12P[8]和G12P[9] A组轮状病毒株的不同进化起源。
Infect Genet Evol. 2014 Dec;28:385-8. doi: 10.1016/j.meegid.2014.04.007. Epub 2014 Apr 18.
8
Complete genome analyses of G12P[8] rotavirus strains from hospitalized children in Surabaya, Indonesia, 2017-2018.2017-2018 年印度尼西亚泗水住院儿童中 G12P[8]轮状病毒株的全基因组分析。
J Med Virol. 2023 Feb;95(2):e28485. doi: 10.1002/jmv.28485.
9
Complete genome analysis of a rare G12P[6] rotavirus isolated in Thailand in 2012 reveals a prototype strain of DS-1-like constellation.2012 年在泰国分离到的一株罕见 G12P[6]轮状病毒的全基因组分析显示其为 DS-1 样基因型。
Virus Res. 2016 Sep 15;224:38-45. doi: 10.1016/j.virusres.2016.08.002. Epub 2016 Aug 24.
10
Complete genotyping of unusual species A rotavirus G12P[11] and G10P[14] isolates and evidence of frequent in vivo reassortment among the rotaviruses detected in children with diarrhea in Kolkata, India, during 2014.2014年印度加尔各答腹泻儿童中检测到的A组轮状病毒G12P[11]和G10P[14]不寻常毒株的全基因分型以及轮状病毒频繁体内重配的证据
Arch Virol. 2016 Oct;161(10):2773-85. doi: 10.1007/s00705-016-2969-6. Epub 2016 Jul 22.

引用本文的文献

1
Whole Genome Analysis of African G12P[6] and G12P[8] Rotaviruses Provides Evidence of Porcine-Human Reassortment at NSP2, NSP3, and NSP4.非洲G12P[6]和G12P[8]轮状病毒的全基因组分析为NSP2、NSP3和NSP4基因座上猪-人基因重配提供了证据。
Front Microbiol. 2021 Jan 12;11:604444. doi: 10.3389/fmicb.2020.604444. eCollection 2020.
2
Whole-Genome Analyses Identifies Multiple Reassortant Rotavirus Strains in Rwanda Post-Vaccine Introduction.全基因组分析鉴定卢旺达疫苗接种后出现多种重组轮状病毒株。
Viruses. 2021 Jan 12;13(1):95. doi: 10.3390/v13010095.
3
The origins of G12P[6] rotavirus strains detected in Lebanon.

本文引用的文献

1
CONFIDENCE LIMITS ON PHYLOGENIES: AN APPROACH USING THE BOOTSTRAP.系统发育树的置信区间:一种使用自展法的方法。
Evolution. 1985 Jul;39(4):783-791. doi: 10.1111/j.1558-5646.1985.tb00420.x.
2
Whole genomic analysis of porcine G10P[5] rotavirus strain P343 provides evidence for bovine-to-porcine interspecies transmission.猪G10P[5]轮状病毒株P343的全基因组分析为牛到猪的种间传播提供了证据。
Vet Microbiol. 2014 Dec 5;174(3-4):577-583. doi: 10.1016/j.vetmic.2014.09.033. Epub 2014 Oct 14.
3
Community based case-control study of rotavirus gastroenteritis among young children during 2008-2010 reveals vast genetic diversity and increased prevalence of G9 strains in Kolkata.
黎巴嫩检出的 G12P[6]轮状病毒株的起源。
J Gen Virol. 2021 Mar;102(3). doi: 10.1099/jgv.0.001535. Epub 2020 Dec 17.
4
Diversity of rotavirus genotypes circulating in children < 5 years of age hospitalized for acute gastroenteritis in India from 2005 to 2016: analysis of temporal and regional genotype variation.2005年至2016年印度因急性胃肠炎住院的5岁以下儿童中轮状病毒基因型的多样性:时间和区域基因型变异分析
BMC Infect Dis. 2020 Oct 9;20(1):740. doi: 10.1186/s12879-020-05448-y.
5
Whole Genome Analysis of Selected Human Group A Rotavirus Strains Revealed Evolution of DS-1-Like Single- and Double-Gene Reassortant Rotavirus Strains in Pakistan During 2015-2016.对选定的人类A组轮状病毒株进行全基因组分析揭示了2015 - 2016年期间巴基斯坦类似DS - 1的单基因和双基因重配轮状病毒株的进化情况。
Front Microbiol. 2019 Nov 14;10:2641. doi: 10.3389/fmicb.2019.02641. eCollection 2019.
6
Evolutionary Analysis of the and RNA-Dependent RNA Polymerase Regions of Human Norovirus GII.P17-GII.17 in 2013-2017.2013 - 2017年人类诺如病毒GII.P17 - GII.17的衣壳蛋白和RNA依赖性RNA聚合酶区域的进化分析
Front Microbiol. 2019 Sep 27;10:2189. doi: 10.3389/fmicb.2019.02189. eCollection 2019.
7
Molecular characterization of human group A rotavirus genotypes circulating in Rawalpindi, Islamabad, Pakistan during 2015-2016.2015-2016 年巴基斯坦拉瓦尔品第-伊斯兰堡流行的人 A 群轮状病毒基因型的分子特征。
PLoS One. 2019 Jul 30;14(7):e0220387. doi: 10.1371/journal.pone.0220387. eCollection 2019.
8
Group A rotavirus surveillance before vaccine introduction in Italy, September 2014 to August 2017.意大利 2014 年 9 月至 2017 年 8 月疫苗引入前 A 组轮状病毒监测。
Euro Surveill. 2019 Apr;24(15). doi: 10.2807/1560-7917.ES.2019.24.15.1800418.
9
Porcine Rotaviruses: Epidemiology, Immune Responses and Control Strategies.猪轮状病毒:流行病学、免疫反应及防控策略
Viruses. 2017 Mar 18;9(3):48. doi: 10.3390/v9030048.
10
Full Genome Characterization of Novel DS-1-Like G8P[8] Rotavirus Strains that Have Emerged in Thailand: Reassortment of Bovine and Human Rotavirus Gene Segments in Emerging DS-1-Like Intergenogroup Reassortant Strains.泰国出现的新型DS-1样G8P[8]轮状病毒株的全基因组特征:新兴的DS-1样基因间重组株中牛和人轮状病毒基因片段的重配
PLoS One. 2016 Nov 1;11(11):e0165826. doi: 10.1371/journal.pone.0165826. eCollection 2016.
2008 - 2010年期间在加尔各答开展的一项针对幼儿轮状病毒肠胃炎的社区病例对照研究显示,存在大量基因多样性,且G9毒株的流行率有所上升。
PLoS One. 2014 Nov 17;9(11):e112970. doi: 10.1371/journal.pone.0112970. eCollection 2014.
4
Dominance of emerging G9 and G12 genotypes and polymorphism of VP7 and VP4 of rotaviruses from Bhutanese children with severe diarrhea prior to the introduction of vaccine.在引入疫苗之前,不丹患有严重腹泻儿童中轮状病毒新兴G9和G12基因型的优势以及VP7和VP4的多态性
PLoS One. 2014 Oct 20;9(10):e110795. doi: 10.1371/journal.pone.0110795. eCollection 2014.
5
Whole genomic analysis of human G12P[6] and G12P[8] rotavirus strains that have emerged in Kenya: identification of porcine-like NSP4 genes.对肯尼亚出现的人类G12P[6]和G12P[8]轮状病毒株进行全基因组分析:鉴定猪样NSP4基因。
Infect Genet Evol. 2014 Oct;27:277-93. doi: 10.1016/j.meegid.2014.08.002. Epub 2014 Aug 8.
6
Identification of novel Ghanaian G8P[6] human-bovine reassortant rotavirus strain by next generation sequencing.通过下一代测序鉴定新型加纳G8P[6]人-牛重组轮状病毒株
PLoS One. 2014 Jun 27;9(6):e100699. doi: 10.1371/journal.pone.0100699. eCollection 2014.
7
Comparison of pathogenicities and nucleotide changes between porcine and bovine reassortant rotavirus strains possessing the same genotype constellation in piglets and calves.在仔猪和犊牛中具有相同基因型组合的猪和牛重配轮状病毒株之间的致病性和核苷酸变化比较。
Vet Microbiol. 2014 Aug 6;172(1-2):51-62. doi: 10.1016/j.vetmic.2014.04.010. Epub 2014 Apr 28.
8
Molecular analysis of non structural rotavirus group A enterotoxin gene of bovine origin from India.来自印度的牛源A组轮状病毒非结构肠毒素基因的分子分析
Infect Genet Evol. 2014 Jul;25:20-7. doi: 10.1016/j.meegid.2014.04.004. Epub 2014 Apr 16.
9
Complete genotype constellation of human rotavirus group A circulating in Thailand, 2008-2011.2008 - 2011年在泰国流行的A组人轮状病毒的完整基因型组合
Infect Genet Evol. 2014 Jan;21:295-302. doi: 10.1016/j.meegid.2013.11.020. Epub 2013 Dec 1.
10
MEGA6: Molecular Evolutionary Genetics Analysis version 6.0.MEGA6:分子进化遗传学分析版本 6.0。
Mol Biol Evol. 2013 Dec;30(12):2725-9. doi: 10.1093/molbev/mst197. Epub 2013 Oct 16.