Suppr超能文献

翼状胬肉合并结膜松弛症的同步治疗:翼状胬肉切除联合结膜自体移植及巩膜固定术的分析

Simultaneous treatment of pterygium complicated with conjunctivochalasis: analysis of pterygium excision and conjunctival autotransplantation combined with sclera fixation.

作者信息

Yu Xiao-Yi, Jian Zhan-Yu, Wu Wei, Lu Xiao-He

机构信息

Department of Ophthalmology, the first affiliated hospital of Guangzhou University of Chinese Medicine, Guangzhou, Guangdong Province, 510405, China.

Department of Ophthalmology, Zhujiang hospital of southern medical university, Guangzhou, Guangdong Province, 510282, China.

出版信息

BMC Ophthalmol. 2015 Aug 12;15:100. doi: 10.1186/s12886-015-0057-4.

Abstract

BACKGROUND

This prospective study investigated the safety and efficacy of a therapeutic method of treating pterygium complicated with conjunctivochalasis, using pterygium excision and conjunctival autotransplantation combined with sclera fixation, followed by therapeutic contact lens application.

METHODS

Fifty-seven patients (83 eyes) diagnosed as pterygium complicated with conjunctivochalasis, at our hospital from July 2011 to June 2012, were selected. Patients were treated with pterygium excision and conjunctival autotransplantation combined with sclera fixation surgery, then therapeutic bandage contact lenses were applied. The efficacy of simultaneous surgery was evaluated based on vision changes, tear dynamics, and other complications. Histopathological changes were investigated on removed bulbar conjunctival tissue, using hematoxylin eosin (HE) and Masson's trichrome staining.

RESULTS

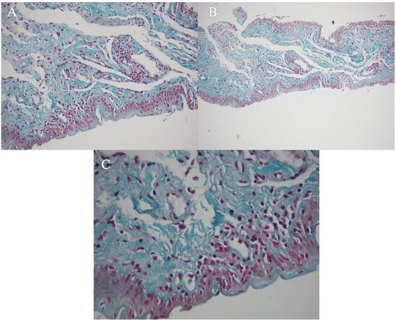
(1) Three months after the operation, the success of simultaneous surgery in the treatment of pterygium was 97.6 %, and the recurrence was 2.4 %. Based on subjective evaluation, the success of the simultaneous treatment of conjunctivochalasis was 95.2 %, and failure was 4.8 %. Based on objective evaluation, the success rate was 94.0 % and the recurrence rate was 6.0 %. (2) Visual acuity of the 83 eyes was significantly improved after surgery, and was statistically significant (X 2 = 10.29, P < 0.05). (3) Three months after surgery, the height and integrity of the tear meniscus, tear film break-up time, and chloramphenicol test results of the 83 eyes were significantly improved and there was a statistically significant difference (X 2 the height and integrity of tear meniscus = 147.24, X 2 tear film break-up time = 81.17, X 2 chloramphenicol test = 17.41, P < 0.01). (4) Complications after the operation such as granulation hyperplasia, constrictive fornix, oculomotor defect, and other complications were not observed. (5) Pathological observations, using HE and Masson's trichrome staining of removed bulbar conjunctival tissue, showed several pathological changes, including obvious squamous epithelial hyperplasia, parakeratosis, basal cell pigmentation, lamina propria hemorrhage, infiltration of lymphocytes, and reduction of elastic fibers and collagen fibers.

CONCLUSION

Pterygium excision and conjunctival autotransplantation, combined with sclera fixation followed by therapeutic contact lens use was safe, effective, and suitable for simultaneous treatment of pterygium complicated with conjunctivochalasis.

摘要

背景

本前瞻性研究探讨了一种治疗翼状胬肉合并结膜松弛症的治疗方法的安全性和有效性,该方法采用翼状胬肉切除联合结膜自体移植并巩膜固定术,随后应用治疗性隐形眼镜。

方法

选取2011年7月至2012年6月在我院诊断为翼状胬肉合并结膜松弛症的57例患者(83只眼)。患者接受翼状胬肉切除联合结膜自体移植并巩膜固定术,然后应用治疗性绷带隐形眼镜。根据视力变化、泪液动力学及其他并发症评估同期手术的疗效。对切除的球结膜组织进行苏木精-伊红(HE)染色和Masson三色染色,研究组织病理学变化。

结果

(1)术后3个月,翼状胬肉同期手术成功率为97.6%,复发率为2.4%。主观评估显示,结膜松弛症同期治疗成功率为95.2%,失败率为4.8%。客观评估显示,成功率为94.0%,复发率为6.0%。(2)83只眼术后视力明显提高,差异有统计学意义(X² = 10.29,P < 0.05)。(3)术后3个月,83只眼的泪液半月皱襞高度及完整性、泪膜破裂时间及氯霉素试验结果均明显改善,差异有统计学意义(X²泪液半月皱襞高度 = 147.24,X²泪膜破裂时间 = 81.17,X²氯霉素试验 = 17.41,P < 0.01)。(4)术后未观察到肉芽组织增生、穹窿缩窄、眼球运动障碍等并发症。(5)对切除的球结膜组织进行HE染色和Masson三色染色的病理观察显示,有多种病理变化,包括明显的鳞状上皮增生、不全角化、基底细胞色素沉着、固有层出血、淋巴细胞浸润以及弹性纤维和胶原纤维减少。

结论

翼状胬肉切除联合结膜自体移植并巩膜固定术,随后应用治疗性隐形眼镜,安全有效,适用于翼状胬肉合并结膜松弛症的同期治疗。

https://cdn.ncbi.nlm.nih.gov/pmc/blobs/0187/4533795/c38cdf8d381e/12886_2015_57_Fig1_HTML.jpg

文献AI研究员

20分钟写一篇综述,助力文献阅读效率提升50倍。

立即体验

用中文搜PubMed

大模型驱动的PubMed中文搜索引擎

马上搜索

文档翻译

学术文献翻译模型,支持多种主流文档格式。

立即体验