• 文献检索
  • 文档翻译
  • 深度研究
  • 学术资讯
  • Suppr Zotero 插件Zotero 插件
  • 邀请有礼
  • 套餐&价格
  • 历史记录
应用&插件
Suppr Zotero 插件Zotero 插件浏览器插件Mac 客户端Windows 客户端微信小程序
定价
高级版会员购买积分包购买API积分包
服务
文献检索文档翻译深度研究API 文档MCP 服务
关于我们
关于 Suppr公司介绍联系我们用户协议隐私条款
关注我们

Suppr 超能文献

核心技术专利:CN118964589B侵权必究
粤ICP备2023148730 号-1Suppr @ 2026

文献检索

告别复杂PubMed语法,用中文像聊天一样搜索,搜遍4000万医学文献。AI智能推荐,让科研检索更轻松。

立即免费搜索

文件翻译

保留排版,准确专业,支持PDF/Word/PPT等文件格式,支持 12+语言互译。

免费翻译文档

深度研究

AI帮你快速写综述,25分钟生成高质量综述,智能提取关键信息,辅助科研写作。

立即免费体验

急性暴露于磷酸三(1,3-二氯-2-丙基)酯(TDCIPP)会导致斑马鱼肝脏炎症并引发肝毒性。

Acute Exposure to Tris(1,3-dichloro-2-propyl) Phosphate (TDCIPP) Causes Hepatic Inflammation and Leads to Hepatotoxicity in Zebrafish.

作者信息

Liu Chunsheng, Su Guanyong, Giesy John P, Letcher Robert J, Li Guangyu, Agrawal Ira, Li Jing, Yu Liqin, Wang Jianghua, Gong Zhiyuan

机构信息

College of Fisheries, Huazhong Agricultural University, Wuhan 430070, China.

Collaborative Innovation Center for Efficient and Health Production of Fisheries in Hunan Province.

出版信息

Sci Rep. 2016 Jan 8;6:19045. doi: 10.1038/srep19045.

DOI:10.1038/srep19045
PMID:26743178
原文链接:https://pmc.ncbi.nlm.nih.gov/articles/PMC4705469/
Abstract

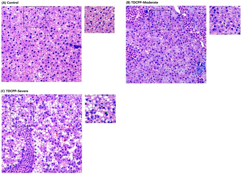
Tris(1,3-dichloro-2-propyl) phosphate (TDCIPP) has been frequently detected in environmental media and has adverse health effect on wildlife and humans. It has been implicated to have hepatotoxicity, but its molecular mechanisms remain unclear. In the present study, adult male zebrafish were exposed to TDCIPP and global hepatic gene expression was examined by RNA-Seq and RT-qPCR in order to understand the molecular mechanisms of TDCIPP-induced hepatotoxicity. Our results indicated that TDCIPP exposure significantly up-regulated the expression of genes involved in endoplasmic reticulum stress and Toll-like receptor (TLR) pathway, implying an inflammatory response, which was supported by up-regulation of inflammation-related biomaker genes. Hepatic inflammation was further confirmed by histological observation of increase of infiltrated neutrophils and direct observation of liver recruitment of neutrophils labeled with Ds-Red fluorescent protein of Tg(lysC:DsRed) zebrafish upon TDCIPP exposure. To further characterize the hepatotoxicity of TDCIPP, the expression of hepatotoxicity biomarker genes, liver histopathology and morphology were examined. The exposure to TDCIPP significantly up-regulated the expression of several biomarker genes for hepatotoxicity (gck, gsr and nqo1) and caused hepatic vacuolization and apoptosis as well as increase of the liver size. Collectively, our results suggest that exposure to TDCIPP induces hepatic inflammation and leads to hepatotoxicity in zebrafish.

摘要

磷酸三(1,3 - 二氯 - 2 - 丙基)酯(TDCIPP)在环境介质中频繁被检测到,并且对野生动物和人类具有不良健康影响。它被认为具有肝毒性,但其分子机制仍不清楚。在本研究中,成年雄性斑马鱼暴露于TDCIPP,并通过RNA测序(RNA-Seq)和逆转录定量聚合酶链反应(RT-qPCR)检测肝脏整体基因表达,以了解TDCIPP诱导肝毒性的分子机制。我们的结果表明,暴露于TDCIPP显著上调了参与内质网应激和Toll样受体(TLR)途径的基因表达,这意味着存在炎症反应,炎症相关生物标志物基因的上调支持了这一点。通过组织学观察浸润中性粒细胞的增加以及直接观察暴露于TDCIPP后的Tg(lysC:DsRed)斑马鱼肝脏中Ds-Red荧光蛋白标记的中性粒细胞募集,进一步证实了肝脏炎症。为了进一步表征TDCIPP的肝毒性,检测了肝毒性生物标志物基因的表达、肝脏组织病理学和形态学。暴露于TDCIPP显著上调了几种肝毒性生物标志物基因(gck、gsr和nqo1)的表达,并导致肝脏空泡化、细胞凋亡以及肝脏大小增加。总体而言,我们的结果表明,暴露于TDCIPP会诱导斑马鱼肝脏炎症并导致肝毒性。

https://cdn.ncbi.nlm.nih.gov/pmc/blobs/ac44/4705469/202981b4ed7d/srep19045-f5.jpg
https://cdn.ncbi.nlm.nih.gov/pmc/blobs/ac44/4705469/57774639ecf4/srep19045-f1.jpg
https://cdn.ncbi.nlm.nih.gov/pmc/blobs/ac44/4705469/34bfc0e9e793/srep19045-f2.jpg
https://cdn.ncbi.nlm.nih.gov/pmc/blobs/ac44/4705469/3842f5f7b45d/srep19045-f3.jpg
https://cdn.ncbi.nlm.nih.gov/pmc/blobs/ac44/4705469/c49413035228/srep19045-f4.jpg
https://cdn.ncbi.nlm.nih.gov/pmc/blobs/ac44/4705469/202981b4ed7d/srep19045-f5.jpg
https://cdn.ncbi.nlm.nih.gov/pmc/blobs/ac44/4705469/57774639ecf4/srep19045-f1.jpg
https://cdn.ncbi.nlm.nih.gov/pmc/blobs/ac44/4705469/34bfc0e9e793/srep19045-f2.jpg
https://cdn.ncbi.nlm.nih.gov/pmc/blobs/ac44/4705469/3842f5f7b45d/srep19045-f3.jpg
https://cdn.ncbi.nlm.nih.gov/pmc/blobs/ac44/4705469/c49413035228/srep19045-f4.jpg
https://cdn.ncbi.nlm.nih.gov/pmc/blobs/ac44/4705469/202981b4ed7d/srep19045-f5.jpg

相似文献

1
Acute Exposure to Tris(1,3-dichloro-2-propyl) Phosphate (TDCIPP) Causes Hepatic Inflammation and Leads to Hepatotoxicity in Zebrafish.急性暴露于磷酸三(1,3-二氯-2-丙基)酯(TDCIPP)会导致斑马鱼肝脏炎症并引发肝毒性。
Sci Rep. 2016 Jan 8;6:19045. doi: 10.1038/srep19045.
2
A protective role of autophagy in TDCIPP-induced developmental neurotoxicity in zebrafish larvae.自噬在三氯双酚 P 诱导斑马鱼幼鱼发育神经毒性中的保护作用。
Aquat Toxicol. 2018 Jun;199:46-54. doi: 10.1016/j.aquatox.2018.03.016. Epub 2018 Mar 15.
3
Parental transfer of tris(1,3-dichloro-2-propyl) phosphate and transgenerational inhibition of growth of zebrafish exposed to environmentally relevant concentrations.母体向幼体传递三(1,3-二氯-2-丙基)磷酸酯和斑马鱼在环境相关浓度下暴露所产生的跨代生长抑制。
Environ Pollut. 2017 Jan;220(Pt A):196-203. doi: 10.1016/j.envpol.2016.09.039. Epub 2016 Sep 16.
4
Environmentally Relevant Concentrations of the Flame Retardant Tris(1,3-dichloro-2-propyl) Phosphate Inhibit Growth of Female Zebrafish and Decrease Fecundity.环境相关浓度的阻燃剂三(1,3-二氯-2-丙基)磷酸酯抑制雌性斑马鱼的生长并降低其繁殖力。
Environ Sci Technol. 2015 Dec 15;49(24):14579-87. doi: 10.1021/acs.est.5b03849. Epub 2015 Nov 12.
5
Sub-chronic exposure to Tris(1,3-dichloro-2-propyl) phosphate induces sex-dependent hepatotoxicity in rats.三(1,3-二氯-2-丙基)磷酸酯亚慢性暴露诱导大鼠肝毒性的性别依赖性。
Environ Sci Pollut Res Int. 2019 Nov;26(32):33351-33362. doi: 10.1007/s11356-019-06383-5. Epub 2019 Sep 14.
6
Environmentally relevant concentrations of the flame retardant tris(1,3-dichloro-2-propyl) phosphate change morphology of female zebrafish.环境相关浓度的阻燃剂三(1,3-二氯-2-丙基)磷酸酯改变雌性斑马鱼的形态。
Chemosphere. 2018 Dec;212:358-364. doi: 10.1016/j.chemosphere.2018.08.083. Epub 2018 Aug 18.
7
Tris(1,3-dichloro-2-propyl) phosphate disrupts axonal growth, cholinergic system and motor behavior in early life zebrafish.磷酸三(1,3-二氯-2-丙基)酯破坏斑马鱼幼体的轴突生长、胆碱能系统和运动行为。
Aquat Toxicol. 2017 Nov;192:7-15. doi: 10.1016/j.aquatox.2017.09.003. Epub 2017 Sep 5.
8
Progression of liver tumor was promoted by tris(1,3-dichloro-2-propyl) phosphate through the induction of inflammatory responses in kras transgenic zebrafish.三(1,3-二氯-2-丙基)磷酸通过诱导 Kras 转基因斑马鱼的炎症反应促进肝肿瘤的进展。
Environ Pollut. 2019 Dec;255(Pt 2):113315. doi: 10.1016/j.envpol.2019.113315. Epub 2019 Oct 3.
9
Parental transfer of nanopolystyrene-enhanced tris(1,3-dichloro-2-propyl) phosphate induces transgenerational thyroid disruption in zebrafish.纳米聚苯乙烯增强的三(1,3-二氯-2-丙基)磷酸酯经亲代传递诱导斑马鱼的跨代甲状腺功能障碍。
Aquat Toxicol. 2021 Jul;236:105871. doi: 10.1016/j.aquatox.2021.105871. Epub 2021 May 19.
10
Neurotoxicological and thyroid evaluations of rats developmentally exposed to tris(1,3-dichloro-2-propyl)phosphate (TDCIPP) and tris(2-chloro-2-ethyl)phosphate (TCEP).对在发育过程中接触磷酸三(1,3-二氯-2-丙基)酯(TDCIPP)和磷酸三(2-氯-2-乙基)酯(TCEP)的大鼠进行神经毒理学和甲状腺评估。
Neurotoxicol Teratol. 2015 Nov-Dec;52(Pt B):236-47. doi: 10.1016/j.ntt.2015.08.004. Epub 2015 Aug 20.

引用本文的文献

1
Molecular Mechanism of Indoor Exposure to Airborne Halogenated Flame Retardants TCIPP (Tris(1,3-Dichloro-2-Propyl) Phosphate) and TCEP Tris(2-chloroethyl) Phosphate and Their Hazardous Effects on Biological Systems.室内空气中卤代阻燃剂三(1,3-二氯-2-丙基)磷酸酯(TCIPP)和三(2-氯乙基)磷酸酯(TCEP)的暴露及其对生物系统的危害作用的分子机制
Metabolites. 2024 Dec 10;14(12):697. doi: 10.3390/metabo14120697.
2
Exposure to tris (1,3-dichloro-2-propyl) phosphate affects the embryonic cardiac development of .暴露于磷酸三(1,3 - 二氯 - 2 - 丙基)酯会影响……的胚胎心脏发育。 (原文此处不完整)
Heliyon. 2024 Feb 1;10(3):e25554. doi: 10.1016/j.heliyon.2024.e25554. eCollection 2024 Feb 15.
3

本文引用的文献

1
Stimulation of hepatocarcinogenesis by neutrophils upon induction of oncogenic kras expression in transgenic zebrafish.在转基因斑马鱼中诱导致癌性kras表达后,中性粒细胞对肝癌发生的刺激作用。
J Hepatol. 2015 Aug;63(2):420-8. doi: 10.1016/j.jhep.2015.03.024. Epub 2015 Mar 28.
2
Liquid chromatography-electrospray-tandem mass spectrometry method for determination of organophosphate diesters in biotic samples including Great Lakes herring gull plasma.用于测定包括五大湖银鸥血浆在内的生物样品中有机磷酸二酯的液相色谱-电喷雾串联质谱法。
J Chromatogr A. 2014 Dec 29;1374:85-92. doi: 10.1016/j.chroma.2014.11.022. Epub 2014 Nov 26.
3
Environmentally relevant concentrations of tris (2-chloroethyl) phosphate (TCEP) induce hepatotoxicity in zebrafish (Danio rerio): a whole life-cycle assessment.
环境相关浓度的三(2-氯乙基)磷酸酯(TCEP)诱导斑马鱼(Danio rerio)产生肝毒性:全生命周期评估。
Fish Physiol Biochem. 2023 Dec;49(6):1421-1433. doi: 10.1007/s10695-023-01265-7. Epub 2023 Nov 11.
4
Competition for H2A.Z underlies the developmental impacts of repetitive element de-repression.竞争 H2A.Z 是重复元件去抑制的发育影响的基础。
Development. 2023 Nov 1;150(21). doi: 10.1242/dev.202338. Epub 2023 Nov 8.
5
Tris(1,3-dichloro-2-propyl) phosphate disrupts the trajectory of cytosine methylation within developing zebrafish embryos.三(1,3-二氯-2-丙基)磷酸盐破坏了斑马鱼胚胎发育过程中胞嘧啶甲基化的轨迹。
Environ Res. 2022 Aug;211:113078. doi: 10.1016/j.envres.2022.113078. Epub 2022 Mar 4.
6
Liver-Based Probabilistic Risk Assessment of Exposure to Organophosphate Esters via Dust Ingestion Using a Physiologically Based Toxicokinetic (PBTK) Model.使用基于生理的毒代动力学(PBTK)模型对通过粉尘摄入有机磷酸酯进行基于肝脏的概率风险评估。
Int J Environ Res Public Health. 2021 Nov 26;18(23):12469. doi: 10.3390/ijerph182312469.
7
Flame Retardants-Mediated Interferon Signaling in the Pathogenesis of Nonalcoholic Fatty Liver Disease.阻燃剂介导的非酒精性脂肪性肝病发病机制中的干扰素信号。
Int J Mol Sci. 2021 Apr 20;22(8):4282. doi: 10.3390/ijms22084282.
8
Dietary Inclusion of Black Soldier Fly () Larvae Meal and Paste Improved Gut Health but Had Minor Effects on Skin Mucus Proteome and Immune Response in Atlantic Salmon ().饲料中添加黑水虻幼虫粉和糊状物可改善大西洋鲑鱼的肠道健康,但对皮肤黏液蛋白组和免疫反应的影响较小。
Front Immunol. 2021 Feb 25;12:599530. doi: 10.3389/fimmu.2021.599530. eCollection 2021.
9
Roots and stems of extract induced developmental toxicity in zebrafish embryos/larvae through apoptosis and oxidative stress.提取物的根和茎通过细胞凋亡和氧化应激诱导斑马鱼胚胎/幼鱼发育毒性。
Pharm Biol. 2020 Dec;58(1):1294-1301. doi: 10.1080/13880209.2020.1859553.
10
Longer commutes are associated with increased human exposure to tris(1,3-dichloro-2-propyl) phosphate.通勤时间延长会导致人体接触三(1,3-二氯-2-丙基)磷酸酯的量增加。
Environ Int. 2020 Mar;136:105499. doi: 10.1016/j.envint.2020.105499. Epub 2020 Jan 28.
Development of a convenient in vivo hepatotoxin assay using a transgenic zebrafish line with liver-specific DsRed expression.
利用具有肝脏特异性DsRed表达的转基因斑马鱼品系开发一种便捷的体内肝毒素检测方法。
PLoS One. 2014 Mar 13;9(3):e91874. doi: 10.1371/journal.pone.0091874. eCollection 2014.
4
Tris(1,3-dichloro-2-propyl) phosphate perturbs the expression of genes involved in immune response and lipid and steroid metabolism in chicken embryos.磷酸三(1,3-二氯-2-丙基)酯扰乱鸡胚中参与免疫反应和脂质及类固醇代谢的基因表达。
Toxicol Appl Pharmacol. 2014 Mar 1;275(2):104-12. doi: 10.1016/j.taap.2013.12.020. Epub 2014 Jan 7.
5
Endoplasmic reticulum stress influences bronchial asthma pathogenesis by modulating nuclear factor κB activation.内质网应激通过调节核因子 κB 的激活影响支气管哮喘的发病机制。
J Allergy Clin Immunol. 2013 Dec;132(6):1397-408. doi: 10.1016/j.jaci.2013.08.041. Epub 2013 Oct 23.
6
Genome-wide identification of molecular pathways and biomarkers in response to arsenic exposure in zebrafish liver.全基因组鉴定斑马鱼肝脏暴露于砷后的分子途径和生物标志物。
PLoS One. 2013 Jul 29;8(7):e68737. doi: 10.1371/journal.pone.0068737. Print 2013.
7
Toxicogenomic responses of zebrafish embryos/larvae to tris(1,3-dichloro-2-propyl) phosphate (TDCPP) reveal possible molecular mechanisms of developmental toxicity.斑马鱼胚胎/幼鱼对三(1,3-二氯-2-丙基)磷酸酯(TDCPP)的毒代基因组反应揭示了发育毒性的可能分子机制。
Environ Sci Technol. 2013 Sep 17;47(18):10574-82. doi: 10.1021/es401265q. Epub 2013 Aug 27.
8
New details on organophosphate flame retardants: exposure in men appears stable over time.有机磷酸酯类阻燃剂的新细节:男性接触情况随时间推移似乎保持稳定。
Environ Health Perspect. 2013 May;121(5):a168. doi: 10.1289/ehp.121-a168.
9
In Ovo effects of two organophosphate flame retardants--TCPP and TDCPP--on pipping success, development, mRNA expression, and thyroid hormone levels in chicken embryos.胚胎期两种有机磷酸酯阻燃剂——磷酸三(2-氯丙基)酯(TCPP)和磷酸三(2,3-二氯丙基)酯(TDCPP)对鸡胚出壳成功率、发育、mRNA 表达和甲状腺激素水平的影响。
Toxicol Sci. 2013 Jul;134(1):92-102. doi: 10.1093/toxsci/kft100. Epub 2013 Apr 29.
10
Effects of TDCPP or TPP on gene transcriptions and hormones of HPG axis, and their consequences on reproduction in adult zebrafish (Danio rerio).TDCPP 或 TPP 对 HPG 轴基因转录和激素的影响,及其对成年斑马鱼(Danio rerio)生殖的影响。
Aquat Toxicol. 2013 Jun 15;134-135:104-11. doi: 10.1016/j.aquatox.2013.03.013. Epub 2013 Mar 27.