Suppr超能文献

通过RE和B1基因的巢式PCR检测糖尿病患者中的弓形虫

Detection of Toxoplasma gondii in Diabetic Patients Using the Nested PCR Assay via RE and B1 Genes.

作者信息

Mousavi Mohammad, Saravani Ramin, Jafari Modrek Mohammad, Shahrakipour Mahnaz, Sekandarpour Sina

机构信息

Infectious and Tropical Medicine Research Center, Zahedan, IR Iran; Department of Medical Parasitology, School of Medicine, Zahedan University of Medical Sciences, Zahedan, IR Iran.

Cellular and Molecular Research Center, Zahedan University of Medical Sciences, Zahedan, IR Iran; Department of Clinical Biochemistry, School of Medicine, Zahedan University of Medical Sciences, Zahedan, IR Iran.

出版信息

Jundishapur J Microbiol. 2016 Feb 9;9(2):e29493. doi: 10.5812/jjm.29493. eCollection 2016 Feb.

Abstract

BACKGROUND

Toxoplasma gondii is an obligate intracellular protozoan parasite that exists worldwide. Various techniques have been developed for T. gondii detection.

OBJECTIVES

The aim of this study was the detection of T. gondii in diabetic patients with RE and B1 genes and the comparison of these two genes for diagnosis using the nested-PCR assay method.

PATIENTS AND METHODS

DNA samples from 205 diabetic patients who had been referred to the diabetes center of Ali Asghar hospital in Zahedan, Iran, were collected and analyzed using the nested-PCR assay method. Toxoplasma antibody data gathered using the enzyme-linked immunosorbent assay (ELISA) method from a previous study was used to group patients. The data were analyzed using SPSS 18. The chi-square test was used for comparison.

RESULTS

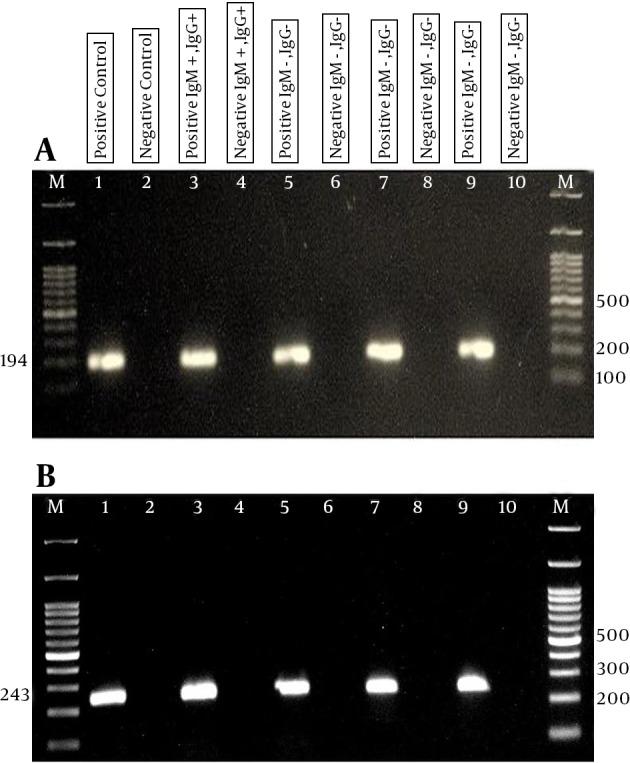
Of the diabetic patients selected, the following results were obtained: 53 (IgG+, IgM+); 20 (IgG-, IgM+); 72 (IgG+, IgM-); and 60 (IgG-, IgM-). The nested-PCR detected the following: in the acute group, 21/53 (39.63%), 30/53 (56.60%) (IgM+, IgG+); in the chronic group, 40/72 (55.56%), 51/72 (70.83%), (IgG+, IgM-); in the false positive group, 18/20 (90%), 17/20 (85%) (IgM+, IgG-); and sero-negative samples of 38/60 (63.33%) and 60/ 41 (77.35%) for RE and B1 genes, respectively. The prevalence of toxoplasmosis showed positive in patients with diabetes in the B1 gene 139 (67.8%) and RE gene 117 (57.1%).

CONCLUSIONS

Our study demonstrated that the B1 gene, more so than the RE gene, showed positive samples and can be used to detect toxoplasmosis, although the B1 gene, in comparison to the RE gene, did not show any superiority of molecular diagnosing capability. Results also showed that toxoplasma molecular detection methods can be used instead of routine serological detection methods in a clinical laboratory testing.

摘要

背景

刚地弓形虫是一种专性细胞内原生动物寄生虫,广泛存在于世界各地。已经开发出各种技术用于检测刚地弓形虫。

目的

本研究旨在检测患有视网膜病变(RE)和B1基因的糖尿病患者中的刚地弓形虫,并使用巢式聚合酶链反应(PCR)检测方法比较这两个基因用于诊断的效果。

患者和方法

收集了205名转诊至伊朗扎黑丹市阿里·阿斯加尔医院糖尿病中心的糖尿病患者的DNA样本,并使用巢式PCR检测方法进行分析。使用酶联免疫吸附测定(ELISA)方法从先前研究中收集的弓形虫抗体数据用于对患者进行分组。数据使用SPSS 18进行分析。采用卡方检验进行比较。

结果

在所选择的糖尿病患者中,获得了以下结果:53例(IgG阳性,IgM阳性);20例(IgG阴性,IgM阳性);72例(IgG阳性,IgM阴性);60例(IgG阴性,IgM阴性)。巢式PCR检测结果如下:在急性组中,21/53(39.63%),30/53(56.60%)(IgM阳性,IgG阳性);在慢性组中,40/72(55.56%),51/72(70.83%)(IgG阳性,IgM阴性);在假阳性组中,18/20(90%),17/20(85%)(IgM阳性,IgG阴性);RE基因和B1基因的血清阴性样本分别为38/60(63.33%)和60/41(77.35%)。糖尿病患者中弓形虫病的患病率在B1基因中为139例(67.8%)呈阳性,在RE基因中为117例(57.1%)呈阳性。

结论

我们的研究表明,B1基因比RE基因显示出更多的阳性样本,可用于检测弓形虫病,尽管与RE基因相比,B1基因在分子诊断能力上没有显示出任何优势。结果还表明,弓形虫分子检测方法可在临床实验室检测中替代常规血清学检测方法。

https://cdn.ncbi.nlm.nih.gov/pmc/blobs/27e8/4842229/3d6675636ea8/jjm-09-02-29493-g001.jpg

相似文献

1
Detection of Toxoplasma gondii in Diabetic Patients Using the Nested PCR Assay via RE and B1 Genes.
Jundishapur J Microbiol. 2016 Feb 9;9(2):e29493. doi: 10.5812/jjm.29493. eCollection 2016 Feb.
2
Comparison of the RE and B1 gene for detection of Toxoplasma gondii infection in children with cancer.
Parasitol Int. 2014 Feb;63(1):37-41. doi: 10.1016/j.parint.2013.08.005. Epub 2013 Aug 28.
6
Detection of Toxoplasma gondii B1 Gene and IgM in IgG Seropositive Pregnant Women.
Clin Lab. 2019 Jan 1;65(1). doi: 10.7754/Clin.Lab.2018.180425.
7
Serum IgG Anti- Antibody Concentrations Do Not Correlate Nested PCR Results in Blood Donors.
Front Cell Infect Microbiol. 2020 Jan 14;9:461. doi: 10.3389/fcimb.2019.00461. eCollection 2019.
8
Prevalence of and Among Myositis Patients in the Southwest of Iran.
Infect Disord Drug Targets. 2021;21(1):43-48. doi: 10.2174/1871526520666191231123159.
9
Molecular diagnosis of Toxoplasma gondii infection in Libya.
BMC Infect Dis. 2016 Apr 16;16:157. doi: 10.1186/s12879-016-1491-5.

引用本文的文献

2
Study of toxoplasmosis and toxocariasis in patients suffering from ophthalmic disorders using serological and molecular methods.
Int Ophthalmol. 2020 Sep;40(9):2151-2157. doi: 10.1007/s10792-020-01393-6. Epub 2020 May 18.
5
Advances in serological, imaging techniques and molecular diagnosis of Toxoplasma gondii infection.
Infection. 2018 Jun;46(3):303-315. doi: 10.1007/s15010-017-1111-3. Epub 2018 Jan 12.
7
Association of gene polymorphism with the risk of type 2 diabetes.
Biomed Rep. 2017 Jul;7(1):85-89. doi: 10.3892/br.2017.916. Epub 2017 May 22.
8
Association of (rs55703767), (rs17576)and (rs6609533) gene polymorphisms with susceptibility to type 2 diabetes.
Biomed Rep. 2017 Mar;6(3):329-334. doi: 10.3892/br.2017.856. Epub 2017 Feb 9.

本文引用的文献

2
Serologic Detection of Anti Toxoplasma gondii Infection in Diabetic Patients.
Iran Red Crescent Med J. 2013 Aug;15(8):701-3. doi: 10.5812/ircmj.5303. Epub 2013 Aug 5.
3
Comparison of the RE and B1 gene for detection of Toxoplasma gondii infection in children with cancer.
Parasitol Int. 2014 Feb;63(1):37-41. doi: 10.1016/j.parint.2013.08.005. Epub 2013 Aug 28.
6
Acute primary toxoplasmosis in travelers returning from endemic countries.
J Travel Med. 2012 Jan-Feb;19(1):57-60. doi: 10.1111/j.1708-8305.2011.00564.x. Epub 2011 Oct 12.
7
Prospective study of congenital toxoplasmosis screening with use of IgG avidity and multiplex nested PCR methods.
J Clin Microbiol. 2011 Jul;49(7):2552-6. doi: 10.1128/JCM.02092-10. Epub 2011 May 4.
8
Genetic diversity of Toxoplasma gondii isolates in Egyptian feral cats reveals new genotypes.
J Parasitol. 2010 Dec;96(6):1112-4. doi: 10.1645/GE-2608.1. Epub 2010 Aug 20.
10
Comparison of the AF146527 and B1 repeated elements, two real-time PCR targets used for detection of Toxoplasma gondii.
J Clin Microbiol. 2010 Feb;48(2):591-2. doi: 10.1128/JCM.01113-09. Epub 2009 Nov 25.

文献AI研究员

20分钟写一篇综述,助力文献阅读效率提升50倍。

立即体验

用中文搜PubMed

大模型驱动的PubMed中文搜索引擎

马上搜索

文档翻译

学术文献翻译模型,支持多种主流文档格式。

立即体验