Suppr超能文献

一种病毒癌蛋白对细胞蛋白激酶A锚定蛋白的功能和结构模拟

Functional and Structural Mimicry of Cellular Protein Kinase A Anchoring Proteins by a Viral Oncoprotein.

作者信息

King Cason R, Cohen Michael J, Fonseca Gregory J, Dirk Brennan S, Dikeakos Jimmy D, Mymryk Joe S

机构信息

Department of Microbiology & Immunology, University of Western Ontario, London, Ontario, Canada.

Department of Oncology, University of Western Ontario, London, Ontario, Canada.

出版信息

PLoS Pathog. 2016 May 3;12(5):e1005621. doi: 10.1371/journal.ppat.1005621. eCollection 2016 May.

Abstract

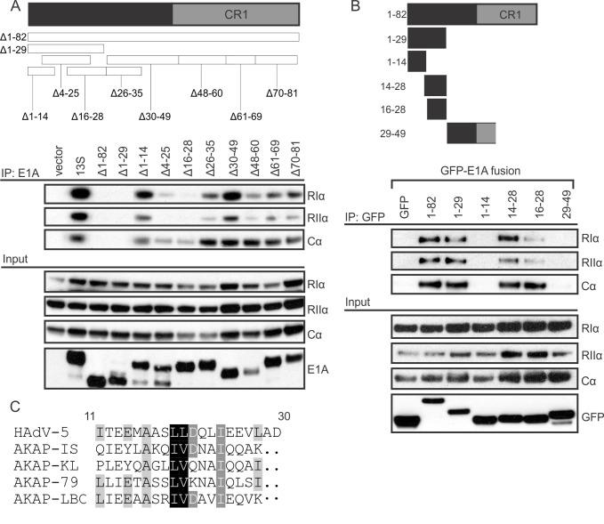
The oncoproteins of the small DNA tumor viruses interact with a plethora of cellular regulators to commandeer control of the infected cell. During infection, adenovirus E1A deregulates cAMP signalling and repurposes it for activation of viral gene expression. We show that E1A structurally and functionally mimics a cellular A-kinase anchoring protein (AKAP). E1A interacts with and relocalizes protein kinase A (PKA) to the nucleus, likely to virus replication centres, via an interaction with the regulatory subunits of PKA. Binding to PKA requires the N-terminus of E1A, which bears striking similarity to the amphipathic α-helical domain present in cellular AKAPs. E1A also targets the same docking-dimerization domain of PKA normally bound by cellular AKAPs. In addition, the AKAP like motif within E1A could restore PKA interaction to a cellular AKAP in which its normal interaction motif was deleted. During infection, E1A successfully competes with endogenous cellular AKAPs for PKA interaction. E1A's role as a viral AKAP contributes to viral transcription, protein expression and progeny production. These data establish HAdV E1A as the first known viral AKAP. This represents a unique example of viral subversion of a crucial cellular regulatory pathway via structural mimicry of the PKA interaction domain of cellular AKAPs.

摘要

小型DNA肿瘤病毒的癌蛋白与大量细胞调节因子相互作用,以夺取对受感染细胞的控制权。在感染过程中,腺病毒E1A会使cAMP信号失调,并将其重新用于激活病毒基因表达。我们发现,E1A在结构和功能上模拟了一种细胞A激酶锚定蛋白(AKAP)。E1A通过与蛋白激酶A(PKA)的调节亚基相互作用,与PKA相互作用并将其重新定位到细胞核,可能是到病毒复制中心。与PKA结合需要E1A的N末端,该末端与细胞AKAP中存在的两亲性α螺旋结构域具有显著相似性。E1A还靶向PKA通常由细胞AKAP结合的相同对接二聚化结构域。此外,E1A内的AKAP样基序可以将PKA相互作用恢复到其正常相互作用基序被删除的细胞AKAP。在感染过程中,E1A成功地与内源性细胞AKAP竞争PKA相互作用。E1A作为病毒AKAP的作用有助于病毒转录、蛋白质表达和子代产生。这些数据确定人腺病毒E1A为首个已知的病毒AKAP。这代表了通过对细胞AKAP的PKA相互作用结构域进行结构模拟来颠覆关键细胞调节途径的病毒的独特例子。

https://cdn.ncbi.nlm.nih.gov/pmc/blobs/beff/4854477/dfa2e7bcd3e2/ppat.1005621.g001.jpg

文献AI研究员

20分钟写一篇综述,助力文献阅读效率提升50倍。

立即体验

用中文搜PubMed

大模型驱动的PubMed中文搜索引擎

马上搜索

文档翻译

学术文献翻译模型,支持多种主流文档格式。

立即体验