Suppr超能文献

羊胎儿肠内白假丝酵母菌感染诱导黏膜损伤和炎症。

Intra-amniotic Candida albicans infection induces mucosal injury and inflammation in the ovine fetal intestine.

机构信息

School for Mental Health and Neuroscience, Maastricht University, Maastricht, the Netherlands.

Department of Pediatrics, Maastricht University Medical Center, Maastricht, the Netherlands.

出版信息

Sci Rep. 2016 Jul 14;6:29806. doi: 10.1038/srep29806.

Abstract

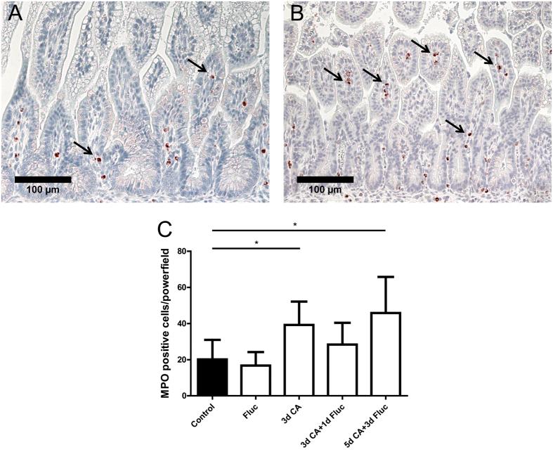
Chorioamnionitis is caused by intrauterine infection with microorganisms including Candida albicans (C.albicans). Chorioamnionitis is associated with postnatal intestinal pathologies including necrotizing enterocolitis. The underlying mechanisms by which intra-amniotic C.albicans infection adversely affects the fetal gut remain unknown. Therefore, we assessed whether intra-amniotic C.albicans infection would cause intestinal inflammation and mucosal injury in an ovine model. Additionally, we tested whether treatment with the fungistatic fluconazole ameliorated the adverse intestinal outcome of intra-amniotic C.albicans infection. Pregnant sheep received intra-amniotic injections with 10(7) colony-forming units C.albicans or saline at 3 or 5 days before preterm delivery at 122 days of gestation. Fetuses were given intra-amniotic and intra-peritoneal fluconazole treatments 2 days after intra-amniotic administration of C.albicans. Intra-amniotic C.albicans caused intestinal colonization and invasive growth within the fetal gut with mucosal injury and intestinal inflammation, characterized by increased CD3(+) lymphocytes, MPO(+) cells and elevated TNF-α and IL-17 mRNA levels. Fluconazole treatment in utero decreased intestinal C.albicans colonization, mucosal injury but failed to attenuate intestinal inflammation. Intra-amniotic C.albicans caused intestinal infection, injury and inflammation. Fluconazole treatment decreased mucosal injury but failed to ameliorate C.albicans-mediated mucosal inflammation emphasizing the need to optimize the applied antifungal therapeutic strategy.

摘要

羊膜腔炎是由包括白色念珠菌(C.albicans)在内的微生物宫内感染引起的。羊膜腔炎与坏死性小肠结肠炎等产后肠道病理有关。羊膜腔内白色念珠菌感染对胎儿肠道产生不利影响的潜在机制尚不清楚。因此,我们评估了羊膜腔内白色念珠菌感染是否会在绵羊模型中引起肠道炎症和黏膜损伤。此外,我们还测试了抗真菌药物氟康唑治疗是否可以改善羊膜腔内白色念珠菌感染的不良肠道结局。怀孕的绵羊在妊娠 122 天前早产前 3 或 5 天接受羊膜腔内注射 10(7)个菌落形成单位白色念珠菌或生理盐水。在羊膜腔内给予白色念珠菌后 2 天,给胎儿进行羊膜内和腹腔内氟康唑治疗。羊膜腔内白色念珠菌导致胎儿肠道内的定植和侵袭性生长,伴有黏膜损伤和肠道炎症,表现为 CD3(+)淋巴细胞、MPO(+)细胞增加,以及 TNF-α 和 IL-17 mRNA 水平升高。宫内氟康唑治疗降低了肠道白色念珠菌定植、黏膜损伤,但未能减轻肠道炎症。羊膜腔内白色念珠菌引起肠道感染、损伤和炎症。氟康唑治疗虽减轻了黏膜损伤,但未能改善白色念珠菌介导的黏膜炎症,这强调了需要优化应用的抗真菌治疗策略。

https://cdn.ncbi.nlm.nih.gov/pmc/blobs/430b/4944185/98b0d26cadad/srep29806-f1.jpg

相似文献

3
Fluconazole treatment of intrauterine Candida albicans infection in fetal sheep.
Pediatr Res. 2015 Jun;77(6):740-8. doi: 10.1038/pr.2015.48. Epub 2015 Mar 11.
4
Chronic Intra-Uterine Infection Induces Injury of the Enteric Nervous System in Ovine Fetuses.
Front Immunol. 2020 Mar 17;11:189. doi: 10.3389/fimmu.2020.00189. eCollection 2020.
5
Intrauterine Candida albicans infection elicits severe inflammation in fetal sheep.
Pediatr Res. 2014 Jun;75(6):716-22. doi: 10.1038/pr.2014.35. Epub 2014 Mar 14.
6
Intra-amniotic fluconazole therapy for Candida albicans intra-amniotic infection.
Obstet Gynecol. 2013 Feb;121(2 Pt 2 Suppl 1):452-4. doi: 10.1097/aog.0b013e31827566ca.
8
Multimodal Management of Cervical Insufficiency Complicated by Intra-amniotic Candida albicans Infection.
Am J Perinatol. 2024 May;41(S 01):e1463-e1469. doi: 10.1055/a-2051-2353. Epub 2023 Mar 9.

引用本文的文献

2
Effects of multiple pro-inflammatory stimuli on the ileum of extremely premature ovine fetuses.
Front Immunol. 2023 May 19;14:1150208. doi: 10.3389/fimmu.2023.1150208. eCollection 2023.
4
Prenatal Endotoxin Exposure Induces Fetal and Neonatal Renal Inflammation via Innate and Th1 Immune Activation in Preterm Pigs.
Front Immunol. 2020 Sep 30;11:565484. doi: 10.3389/fimmu.2020.565484. eCollection 2020.
5
Immunobiology of Acute Chorioamnionitis.
Front Immunol. 2020 Apr 16;11:649. doi: 10.3389/fimmu.2020.00649. eCollection 2020.
6
Mechanisms of Fetal T Cell Tolerance and Immune Regulation.
Front Immunol. 2020 Apr 9;11:588. doi: 10.3389/fimmu.2020.00588. eCollection 2020.
7
Postnatal Gut Immunity and Microbiota Development Is Minimally Affected by Prenatal Inflammation in Preterm Pigs.
Front Immunol. 2020 Mar 19;11:420. doi: 10.3389/fimmu.2020.00420. eCollection 2020.
8
CD161 contributes to prenatal immune suppression of IFNγ-producing PLZF+ T cells.
J Clin Invest. 2019 May 30;129(9):3562-3577. doi: 10.1172/JCI125957.
9
The diagnostic performance of the beta-glucan assay in the detection of intra-amniotic infection with Candida species.
J Matern Fetal Neonatal Med. 2019 May;32(10):1703-1720. doi: 10.1080/14767058.2017.1416083. Epub 2017 Dec 27.

本文引用的文献

3
Candida albicans is able to use M cells as a portal of entry across the intestinal barrier in vitro.
Cell Microbiol. 2016 Feb;18(2):195-210. doi: 10.1111/cmi.12495. Epub 2015 Aug 31.
5
Fluconazole treatment of intrauterine Candida albicans infection in fetal sheep.
Pediatr Res. 2015 Jun;77(6):740-8. doi: 10.1038/pr.2015.48. Epub 2015 Mar 11.
6
Infectious causes of necrotizing enterocolitis.
Clin Perinatol. 2015 Mar;42(1):133-54, ix. doi: 10.1016/j.clp.2014.10.012. Epub 2014 Nov 27.
7
Exploring preterm birth as a polymicrobial disease: an overview of the uterine microbiome.
Front Immunol. 2014 Nov 27;5:595. doi: 10.3389/fimmu.2014.00595. eCollection 2014.
8
Antifungal drugs during pregnancy: an updated review.
J Antimicrob Chemother. 2015 Jan;70(1):14-22. doi: 10.1093/jac/dku355. Epub 2014 Sep 8.
9
Candida infections and their prevention.
ISRN Prev Med. 2012 Nov 4;2013:763628. doi: 10.5402/2013/763628. eCollection 2013.
10
Neonatal leukemoid reaction associated with Candida albicans chorioamnionitis.
Pediatr Int. 2014 Apr;56(2):277-9. doi: 10.1111/ped.12259.

文献AI研究员

20分钟写一篇综述,助力文献阅读效率提升50倍。

立即体验

用中文搜PubMed

大模型驱动的PubMed中文搜索引擎

马上搜索

文档翻译

学术文献翻译模型,支持多种主流文档格式。

立即体验