Suppr超能文献

一例黑棘皮病作为鳞状细胞肺癌副肿瘤综合征的病例。

A case of acanthosis nigricans as a paraneoplastic syndrome with squamous cell lung cancer.

作者信息

Karakas Yusuf, Esin Ece, Lacin Sahin, Ceyhan Koray, Heper Aylin Okcu, Yalcin Suayib

机构信息

Medical Oncology Department, Hacettepe University Cancer Institute.

Department of Medical Pathology, Ankara University School of Medicine, Ankara, Turkey.

出版信息

Onco Targets Ther. 2016 Aug 3;9:4815-20. doi: 10.2147/OTT.S95020. eCollection 2016.

Abstract

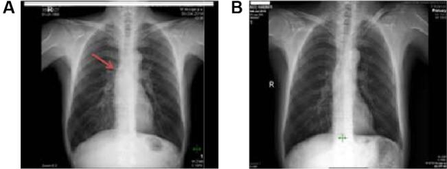
A 55-year-old man presented with oral mucosal ulcers, blackening of both hands, and hyperpigmentation on axillary, anal, and inguinal regions for the last 3 months, which were all progressive. The patient was referred to the oncology department with the diagnosis of acanthosis nigricans for investigation of an underlying malignancy. He was a smoker. A computed tomography scan of thorax revealed enlarged mediastinal lymphadenopathies and a lesion on the left upper lobe. Fine-needle aspiration biopsy of the mediastinal lesion was consistent with squamous cell carcinoma, and biopsies of the skin and oral mucosal lesion also further confirmed the diagnosis of acanthosis nigricans. After docetaxel and cisplatin chemotherapy, a significant improvement in his skin and mucosal lesions was observed with almost complete resolution of the pulmonary lesion and the mediastinal lymph nodes.

摘要

一名55岁男性在过去3个月出现口腔黏膜溃疡、双手变黑以及腋窝、肛门和腹股沟区域色素沉着,且均呈进行性发展。该患者因黑棘皮病被转诊至肿瘤科,以排查潜在恶性肿瘤。他有吸烟史。胸部计算机断层扫描显示纵隔淋巴结肿大及左上叶有一病灶。纵隔病灶的细针穿刺活检结果符合鳞状细胞癌,皮肤及口腔黏膜病灶的活检也进一步证实了黑棘皮病的诊断。多西他赛和顺铂化疗后,其皮肤和黏膜病灶有显著改善,肺部病灶及纵隔淋巴结几乎完全消退。

https://cdn.ncbi.nlm.nih.gov/pmc/blobs/c3f5/4976921/f79a7ee24c2b/ott-9-4815Fig1.jpg

文献AI研究员

20分钟写一篇综述,助力文献阅读效率提升50倍。

立即体验

用中文搜PubMed

大模型驱动的PubMed中文搜索引擎

马上搜索

文档翻译

学术文献翻译模型,支持多种主流文档格式。

立即体验