Suppr超能文献

欧洲首例慢性消耗病出现在挪威一头野生驯鹿身上。

First case of chronic wasting disease in Europe in a Norwegian free-ranging reindeer.

作者信息

Benestad Sylvie L, Mitchell Gordon, Simmons Marion, Ytrehus Bjørnar, Vikøren Turid

机构信息

Norwegian Veterinary Institute, P.O. Box 750 Sentrum, 0106, Oslo, Norway.

Canadian Food Inspection Agency, National and OIE Reference Laboratory for Scrapie and CWD, Ottawa Laboratory Fallowfield, Ottawa, ON, Canada.

出版信息

Vet Res. 2016 Sep 15;47(1):88. doi: 10.1186/s13567-016-0375-4.

Abstract

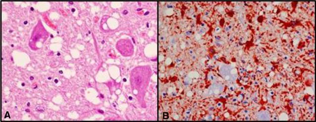
Chronic wasting disease (CWD) is a fatal contagious prion disease in cervids that is enzootic in some areas in North America. The disease has been found in deer, elk and moose in the USA and Canada, and in South Korea following the importation of infected animals. Here we report the first case of CWD in Europe, in a Norwegian free-ranging reindeer in Southern Norway. The origin of the disease is unknown. Until now a low number of cervids, and among them a few reindeer, have been tested for CWD in Norway. Therefore the prevalence of CWD is unknown.

摘要

慢性消耗病(CWD)是一种在鹿科动物中具有致命传染性的朊病毒病,在北美的一些地区呈地方流行性。在美国、加拿大以及韩国,该病已在进口受感染动物后,在鹿、麋鹿和驼鹿中被发现。在此,我们报告了欧洲首例慢性消耗病病例,患病动物是挪威南部一只自由放养的驯鹿。该病的起源不明。到目前为止,挪威仅有少量鹿科动物,其中包括几只驯鹿,接受了慢性消耗病检测。因此,慢性消耗病的流行情况尚不清楚。

https://cdn.ncbi.nlm.nih.gov/pmc/blobs/fb47/5024462/41205d68e9cc/13567_2016_375_Fig1_HTML.jpg

文献AI研究员

20分钟写一篇综述,助力文献阅读效率提升50倍。

立即体验

用中文搜PubMed

大模型驱动的PubMed中文搜索引擎

马上搜索

文档翻译

学术文献翻译模型,支持多种主流文档格式。

立即体验