Suppr超能文献

富血小板血浆对自体神经移植重建的影响。

Effect of platelet-rich plasma on reconstruction with nerve autografts.

作者信息

Teymur Hakan, Tiftikcioglu Yigit Ozer, Cavusoglu Turker, Tiftikcioglu Bedile Irem, Erbas Oytun, Yigitturk Gurkan, Uyanikgil Yigit

机构信息

Department of Plastic and Reconstructive Surgery, Ege University School of Medicine, Izmir, Turkey.

Department of Histology and Embryology, Ege University School of Medicine, Izmir, Turkey; Cord blood, Cell, and Tissue Research and Application Center, Ege University, Izmir, Turkey.

出版信息

Kaohsiung J Med Sci. 2017 Feb;33(2):69-77. doi: 10.1016/j.kjms.2016.11.005. Epub 2016 Dec 29.

Abstract

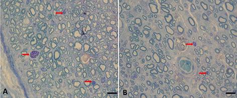
Despite advances in understanding of peripheral nerve injuries and regeneration and advances in surgical techniques, successful outcomes cannot be guaranteed after reconstructive surgery. Platelet-rich plasma (PRP) has been reported to have positive effects on nerve regeneration, as well as on tissue healing. The present study was designed to evaluate the effect of PRP on nerve-grafted defects. Sprague-Dawley rats were divided into four surgery groups (n=7 in each). A 1-cm long nerve defect was created in the upper thigh and then reconstructed using a nerve autograft in all groups. The wet muscle weights, electromyographic findings, and histomorphologic changes were evaluated 10 weeks later. As shown by both the electromyographic (p<0.001) and histomorphologic findings (p<0.001), PRP had more positive effects on nerve gap reconstruction in Group 3 then Group 4 as compared to the control groups. The present study is novel in that it evaluated the regeneration effect of PRP on a large nerve defect reconstructed with a nerve graft rather than primary repair. The results are encouraging for further experimental studies on the role of PRP in nerve healing.

摘要

尽管在周围神经损伤与再生的认识以及外科技术方面取得了进展,但重建手术后仍无法保证获得成功的结果。据报道,富血小板血浆(PRP)对神经再生以及组织愈合具有积极作用。本研究旨在评估PRP对神经移植缺损的影响。将Sprague-Dawley大鼠分为四个手术组(每组n = 7)。在大鼠大腿上部制造一个1厘米长的神经缺损,然后所有组均使用自体神经移植进行重建。10周后评估湿肌肉重量、肌电图结果和组织形态学变化。肌电图(p<0.001)和组织形态学结果(p<0.001)均显示,与对照组相比,第3组中PRP对神经间隙重建的积极作用大于第4组。本研究的新颖之处在于,它评估了PRP对用神经移植而非一期修复重建的大神经缺损的再生作用。这些结果为进一步开展关于PRP在神经愈合中作用的实验研究提供了鼓舞。

https://cdn.ncbi.nlm.nih.gov/pmc/blobs/0e74/11916268/1cc7e96dff60/KJM2-33-69-g006.jpg

文献AI研究员

20分钟写一篇综述,助力文献阅读效率提升50倍。

立即体验

用中文搜PubMed

大模型驱动的PubMed中文搜索引擎

马上搜索

文档翻译

学术文献翻译模型,支持多种主流文档格式。

立即体验