Suppr超能文献

源自多能生殖系干细胞的血小板衍生生长因子受体-α阳性心脏祖细胞在体外和体内均具有心肌生成能力。

Platelet-derived growth factor receptor-alpha positive cardiac progenitor cells derived from multipotent germline stem cells are capable of cardiomyogenesis in vitro and in vivo.

作者信息

Kim Bang-Jin, Kim Yong-Hee, Lee Yong-An, Jung Sang-Eun, Hong Yeong Ho, Lee Eun-Ju, Kim Byung-Gak, Hwang Seongsoo, Do Jeong Tae, Pang Myung-Geol, Ryu Buom-Yong

机构信息

Department of Animal Science & Technology, Chung-Ang University, Anseong, Republic of Korea.

Department of Cancer Biology, University of Pennsylvania, Philadelphia, Pennsylvania, United States of America.

出版信息

Oncotarget. 2017 May 2;8(18):29643-29656. doi: 10.18632/oncotarget.16772.

Abstract

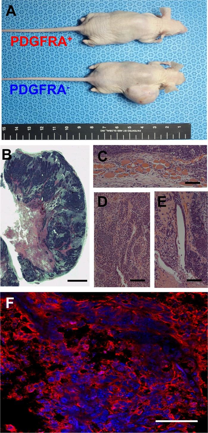
Cardiac cell therapy has the potential to revolutionize treatment of heart diseases, but its success hinders on the development of a stem cell therapy capable of efficiently producing functionally differentiated cardiomyocytes. A key to unlocking the therapeutic application of stem cells lies in understanding the molecular mechanisms that govern the differentiation process. Here we report that a population of platelet-derived growth factor receptor alpha (PDGFRA) cells derived from mouse multipotent germline stem cells (mGSCs) were capable of undergoing cardiomyogenesis in vitro. Cells derived in vitro from PDGFRA positive mGSCs express significantly higher levels of cardiac marker proteins compared to PDGFRA negative mGSCs. Using Pdgfra shRNAs to investigate the dependence of Pdgfra on cardiomyocyte differentiation, we observed that Pdgfra silencing inhibited cardiac differentiation. In a rat myocardial infarction (MI) model, transplantation of a PDGFRAenriched cell population into the rat heart readily underwent functional differentiation into cardiomyocytes and reduced areas of fibrosis associated with MI injury. Together, these results suggest that mGSCs may provide a unique source of cardiac stem/progenitor cells for future regenerative therapy of damaged heart tissue.

摘要

心脏细胞疗法有潜力彻底改变心脏病的治疗方式,但其成功与否取决于能否开发出一种能够有效产生功能分化心肌细胞的干细胞疗法。开启干细胞治疗应用的关键在于了解控制分化过程的分子机制。在此,我们报告从小鼠多能生殖系干细胞(mGSCs)衍生的一群血小板衍生生长因子受体α(PDGFRA)细胞能够在体外进行心肌生成。与PDGFRA阴性的mGSCs相比,从PDGFRA阳性的mGSCs体外衍生的细胞表达的心脏标记蛋白水平显著更高。使用Pdgfra短发夹RNA(shRNAs)来研究Pdgfra对心肌细胞分化的依赖性,我们观察到Pdgfra沉默抑制了心脏分化。在大鼠心肌梗死(MI)模型中,将富含PDGFRA的细胞群移植到大鼠心脏后,这些细胞很容易功能分化为心肌细胞,并减少了与MI损伤相关的纤维化区域。总之,这些结果表明mGSCs可能为未来受损心脏组织的再生治疗提供独特的心脏干/祖细胞来源。

https://cdn.ncbi.nlm.nih.gov/pmc/blobs/bd3c/5444692/4a5bea20acd4/oncotarget-08-29643-g001.jpg

文献AI研究员

20分钟写一篇综述,助力文献阅读效率提升50倍。

立即体验

用中文搜PubMed

大模型驱动的PubMed中文搜索引擎

马上搜索

文档翻译

学术文献翻译模型,支持多种主流文档格式。

立即体验