Suppr超能文献

一只15周大的家养短毛小猫因[具体病因未给出]引发脑脓性肉芽肿性脑炎。

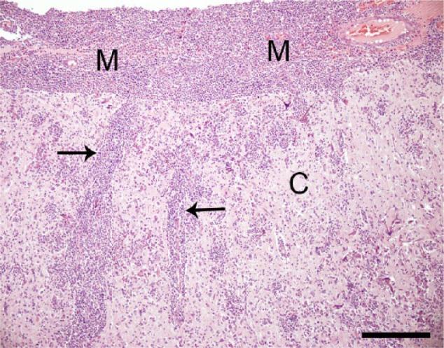
Cerebral pyogranulomatous encephalitis caused by in a 15-week-old domestic shorthair kitten.

作者信息

Russell Elise B, Gunew Marcus N, Dennis Michelle M, Halliday Catriona L

机构信息

The Cat Clinic, Prahran, Australia.

The Cat Clinic, Brisbane, Australia.

出版信息

JFMS Open Rep. 2016 Nov 15;2(2):2055116916677935. doi: 10.1177/2055116916677935. eCollection 2016 Jul-Dec.

Abstract

CASE SUMMARY

A case of cerebral phaeohyphomycosis caused by is described in a 15-week-old domestic shorthair kitten.

RELEVANCE AND NOVEL INFORMATION

Cerebral phaeohyphomycosis is a rare condition in cats caused by dematiaceous fungi. This report describes the clinical and histopathological findings in the youngest case documented in a feline, provides a brief review of aetiology, diagnosis, treatment and prognosis of cerebral phaeohyphomycosis and demonstrates the importance of molecular diagnostics in accurate mycotic species identification.

摘要

病例摘要

本文描述了一例由[具体真菌名称未给出]引起的脑暗色丝孢霉病,患病动物为一只15周大的家养短毛小猫。

相关及新信息

脑暗色丝孢霉病是由暗色真菌引起的猫的一种罕见病症。本报告描述了猫科动物中记录的最年轻病例的临床和组织病理学发现,简要回顾了脑暗色丝孢霉病的病因、诊断、治疗和预后,并证明了分子诊断在准确鉴定真菌种类中的重要性。

https://cdn.ncbi.nlm.nih.gov/pmc/blobs/45fe/5359796/b4cdc6344b1b/10.1177_2055116916677935-fig1.jpg

文献AI研究员

20分钟写一篇综述,助力文献阅读效率提升50倍。

立即体验

用中文搜PubMed

大模型驱动的PubMed中文搜索引擎

马上搜索

文档翻译

学术文献翻译模型,支持多种主流文档格式。

立即体验