• 文献检索
  • 文档翻译
  • 深度研究
  • 学术资讯
  • Suppr Zotero 插件Zotero 插件
  • 邀请有礼
  • 套餐&价格
  • 历史记录
应用&插件
Suppr Zotero 插件Zotero 插件浏览器插件Mac 客户端Windows 客户端微信小程序
定价
高级版会员购买积分包购买API积分包
服务
文献检索文档翻译深度研究API 文档MCP 服务
关于我们
关于 Suppr公司介绍联系我们用户协议隐私条款
关注我们

Suppr 超能文献

核心技术专利:CN118964589B侵权必究
粤ICP备2023148730 号-1Suppr @ 2026

文献检索

告别复杂PubMed语法,用中文像聊天一样搜索,搜遍4000万医学文献。AI智能推荐,让科研检索更轻松。

立即免费搜索

文件翻译

保留排版,准确专业,支持PDF/Word/PPT等文件格式,支持 12+语言互译。

免费翻译文档

深度研究

AI帮你快速写综述,25分钟生成高质量综述,智能提取关键信息,辅助科研写作。

立即免费体验

一名老年患者的上胸椎原发性黏液样脂肪肉瘤

Primary Myxoid Liposarcoma of the Upper Thoracic Spine in an Elderly Patient.

作者信息

Rovlias Aristedis, Balanika Alexia, Nomikos Alexandros, Melissaris Savas

机构信息

Department of Neurosurgery, Asclepeion General Hospital of Voula, Athens, Greece.

Department of Computed Tomography, Asclepeion General Hospital of Voula, Athens, Greece.

出版信息

J Neurosci Rural Pract. 2017 Aug;8(Suppl 1):S120-S122. doi: 10.4103/jnrp.jnrp_99_17.

DOI:10.4103/jnrp.jnrp_99_17
PMID:28936087
原文链接:https://pmc.ncbi.nlm.nih.gov/articles/PMC5602236/
Abstract

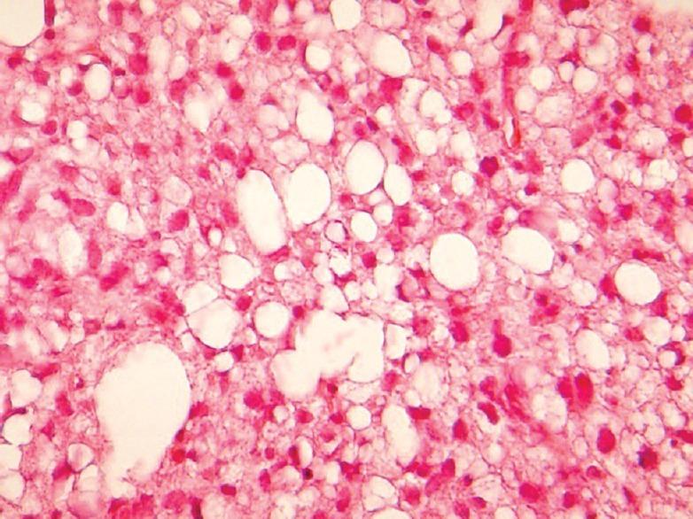
Liposarcoma, one of the most common soft-tissue sarcomas, originates from primitive mesenchymal cells, and its diagnostic criteria have been well established. Myxoid liposarcoma is the second most common histological subtype, occurring more frequently during the fourth and fifth decades of life. There are only a few sporadic published cases of spinal liposarcomas, whatever primary or metastatic. We describe an unusual case of primary myxoid liposarcoma of the thoracic spine in a 79-year-old male, presented with a 2-month history of intractable dorsal pain and progressive weakness of lower limbs. Surgical treatment was performed with wide tumor resection, spinal cord decompression, and posterior instrumentation complemented by radiotherapy. Only one other case has been reported with this spinal localization in the literature. Despite its rarity, myxoid liposarcoma should be considered in the differential diagnosis of primary tumors of the thoracic spine.

摘要

脂肪肉瘤是最常见的软组织肉瘤之一,起源于原始间充质细胞,其诊断标准已明确确立。黏液样脂肪肉瘤是第二常见的组织学亚型,在40至50岁之间更为常见。无论原发性还是转移性的脊柱脂肪肉瘤,仅有少数散发性病例报道。我们描述了一例79岁男性胸椎原发性黏液样脂肪肉瘤的罕见病例,该患者有2个月顽固性背痛和下肢进行性无力的病史。手术采用广泛肿瘤切除、脊髓减压和后路内固定,并辅以放疗。文献中仅报道过另一例该脊柱定位的病例。尽管罕见,但在胸椎原发性肿瘤的鉴别诊断中应考虑黏液样脂肪肉瘤。

https://cdn.ncbi.nlm.nih.gov/pmc/blobs/169d/5602236/496320110613/JNRP-8-120-g003.jpg
https://cdn.ncbi.nlm.nih.gov/pmc/blobs/169d/5602236/b9b9c80563bb/JNRP-8-120-g001.jpg
https://cdn.ncbi.nlm.nih.gov/pmc/blobs/169d/5602236/698edf092a03/JNRP-8-120-g002.jpg
https://cdn.ncbi.nlm.nih.gov/pmc/blobs/169d/5602236/496320110613/JNRP-8-120-g003.jpg
https://cdn.ncbi.nlm.nih.gov/pmc/blobs/169d/5602236/b9b9c80563bb/JNRP-8-120-g001.jpg
https://cdn.ncbi.nlm.nih.gov/pmc/blobs/169d/5602236/698edf092a03/JNRP-8-120-g002.jpg
https://cdn.ncbi.nlm.nih.gov/pmc/blobs/169d/5602236/496320110613/JNRP-8-120-g003.jpg

相似文献

1
Primary Myxoid Liposarcoma of the Upper Thoracic Spine in an Elderly Patient.一名老年患者的上胸椎原发性黏液样脂肪肉瘤
J Neurosci Rural Pract. 2017 Aug;8(Suppl 1):S120-S122. doi: 10.4103/jnrp.jnrp_99_17.
2
Intradural involvement of multicentric myxoid liposarcoma.多中心黏液样脂肪肉瘤的硬膜内累及
J Korean Neurosurg Soc. 2010 Sep;48(3):276-80. doi: 10.3340/jkns.2010.48.3.276. Epub 2010 Sep 30.
3
Primary dumbbell-shaped epidural myxoid liposarcoma of the thoracic spine: A case report and review of the literature.胸椎原发性哑铃形硬膜外黏液样脂肪肉瘤:1例报告并文献复习
Oncol Lett. 2016 Feb;11(2):1421-1424. doi: 10.3892/ol.2016.4089. Epub 2016 Jan 8.
4
[Myxoid liposarcoma of the lumbosacral spine. Clinical case report].[腰骶部脊柱黏液样脂肪肉瘤。临床病例报告]
Rev Med Inst Mex Seguro Soc. 2013 Sep-Oct;51(5):588-91.
5
Rare case of metastatic liposarcoma to the thyroid gland and a review of the literature of metastatic sarcomas to the thyroid.罕见的脂肪肉瘤转移至甲状腺病例及对甲状腺转移肉瘤文献的回顾。
Head Neck. 2021 Mar;43(3):E20-E26. doi: 10.1002/hed.26552. Epub 2020 Nov 21.
6
Primary meningeal myxoid liposarcoma with aggressive behavior after recurrence: case report.原发性脑脊膜黏液样脂肪肉瘤伴复发性侵袭性行为:病例报告。
Acta Neurochir (Wien). 2018 Aug;160(8):1557-1561. doi: 10.1007/s00701-018-3598-5. Epub 2018 Jun 19.
7
Primary liposarcoma of the thoracic spine: case report.胸椎原发性脂肪肉瘤:病例报告
Eur Spine J. 2005 Aug;14(6):613-8. doi: 10.1007/s00586-004-0866-2. Epub 2005 Apr 30.
8
Myxoid liposarcoma metastatic to the mandible: First case report and review of the literature.黏液样脂肪肉瘤转移至下颌骨:首例病例报告及文献复习
Oral Oncol. 2022 Jun;129:105900. doi: 10.1016/j.oraloncology.2022.105900. Epub 2022 May 4.
9
Neurological deficit from metastatic low grade liposarcoma.转移性低级别脂肪肉瘤导致的神经功能缺损
J Med Assoc Thai. 2005 Apr;88(4):538-40.
10
Myxoid liposarcoma: local relapse and metastatic pattern in 43 patients.黏液样脂肪肉瘤:43 例患者的局部复发和转移模式。
BMC Cancer. 2018 Mar 20;18(1):304. doi: 10.1186/s12885-018-4226-8.

引用本文的文献

1
Rare primary dedifferentiated liposarcoma of the thoracic spine: A case report and literature review.胸椎罕见原发性去分化脂肪肉瘤:一例报告及文献复习
Brain Spine. 2024 Oct 23;4:103920. doi: 10.1016/j.bas.2024.103920. eCollection 2024.
2
Primary extradural tumors of the spinal column: A comprehensive treatment guide for the spine surgeon based on the 5 Edition of the World Health Organization bone and soft-tissue tumor classification.脊柱原发性硬膜外肿瘤:基于世界卫生组织骨与软组织肿瘤分类第5版的脊柱外科医生综合治疗指南
J Craniovertebr Junction Spine. 2021 Oct-Dec;12(4):336-360. doi: 10.4103/jcvjs.jcvjs_115_21. Epub 2021 Dec 11.

本文引用的文献

1
Primary pleomorphic liposarcoma of the spine. Case report and review of the literature.脊柱原发性多形性脂肪肉瘤。病例报告及文献复习。
Int J Surg Case Rep. 2016;25:114-9. doi: 10.1016/j.ijscr.2016.06.032. Epub 2016 Jun 23.
2
PRIMARY LIPOSARCOMA OF THE LUMBAR SPINE: CASE REPORT.腰椎原发性脂肪肉瘤:病例报告
Rev Bras Ortop. 2015 Nov 16;47(1):124-9. doi: 10.1016/S2255-4971(15)30356-6. eCollection 2012 Jan-Feb.
3
Primary dumbbell-shaped epidural myxoid liposarcoma of the thoracic spine: A case report and review of the literature.
胸椎原发性哑铃形硬膜外黏液样脂肪肉瘤:1例报告并文献复习
Oncol Lett. 2016 Feb;11(2):1421-1424. doi: 10.3892/ol.2016.4089. Epub 2016 Jan 8.
4
Surgical management of spinal liposarcoma: a case series of 7 patients and literature review.脊柱脂肪肉瘤的外科治疗:7例病例系列报道及文献综述
Eur Spine J. 2016 Dec;25(12):4088-4093. doi: 10.1007/s00586-015-4374-3. Epub 2016 Jan 18.
5
Primary pleomorphic liposarcoma of the thoracic epidural space: case report.胸段硬膜外间隙原发性多形性脂肪肉瘤:病例报告
Spine J. 2015 Dec 1;15(12):e71-5. doi: 10.1016/j.spinee.2015.08.059. Epub 2015 Sep 5.
6
Intradural involvement of multicentric myxoid liposarcoma.多中心黏液样脂肪肉瘤的硬膜内累及
J Korean Neurosurg Soc. 2010 Sep;48(3):276-80. doi: 10.3340/jkns.2010.48.3.276. Epub 2010 Sep 30.
7
Primary liposarcoma of the lumbar spine.腰椎原发性脂肪肉瘤
Joint Bone Spine. 2008 Jul;75(4):482-5. doi: 10.1016/j.jbspin.2007.06.017. Epub 2008 May 19.
8
Primary liposarcoma of the thoracic spine: case report.胸椎原发性脂肪肉瘤:病例报告
Eur Spine J. 2005 Aug;14(6):613-8. doi: 10.1007/s00586-004-0866-2. Epub 2005 Apr 30.
9
Liposarcoma in the epidural space.硬膜外间隙脂肪肉瘤
Spine (Phila Pa 1976). 2000 Jul 1;25(13):1733-5. doi: 10.1097/00007632-200007010-00021.